次世代の画像解析ソフトウェア(AZE)
2018年8月号
No.196 Computed DWIを用いた急性期脳幹梗塞の検出能向上
橋本 大(社会医療法人孝仁会 釧路孝仁会記念病院診療放射線科)
はじめに
MRI検査におけるDWI画像は,急性期脳梗塞の診断に有用なことは広く知られている。しかし,急性期脳梗塞の中でも,脳幹部の梗塞巣は発症から検査までが短時間で行われた場合,検出しづらい症例がある。そこで,臨床例として2016年4月から2017年10月に当院を受診した脳幹梗塞症例の,発症後受診するまでの時間と初診時に梗塞巣が明確でなく梗塞疑いと診断された症例をそれぞれ調査した。また,当院では2017年4月に「AZE VirtualPlace 新」(AZE社製)を導入し,computed DWI(以下,cDWI)の作成が可能となったため,これを用いて梗塞巣の検出能向上を試みた。
cDWIについて
cDWIは,2つ以上のb値を用いて仮想のb値の画像を作成する手法である。当院ではルーチン検査で撮像するDWI b=1000s/mm2を用い,b=0,1000s/mm2の2つから作成している。作成は特殊な撮像をする必要もなく,簡便な後処理を行うことでいつでも可能である。注意点として,擬似的にb値を大きくするにつれて高輝度ノイズと呼ばれるcDWI特有の現象が発生する。しかし,作成時にb値をスライダーバーで変化させる際,リアルタイムで観察できるため,所見と高輝度ノイズを見分けることは可能だと考える(図1)。また,高輝度ノイズはフィルタで閾値を設定し,除去することができる(図2)。
図1 cDWI作成画面
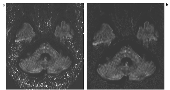
図2 フィルタによる高輝度ノイズの除去
a:cDWI=3000s/mm2フィルタなし
b:cDWI=3000s/mm2フィルタあり
症 例
臨床例は88例で,発症後受診するまでの平均時間は45.8時間であり,74例では梗塞巣が明確に視認でき,平均時間は49.2時間だった。梗塞疑いとなった症例は14例で,発症後平均13.3時間であり,明らかに受診するまでの時間が短いと診断がつきにくかった。また,脳幹梗塞は部位によって症状が多岐にわたるためか,受診するまでの時間が長い傾向があった。
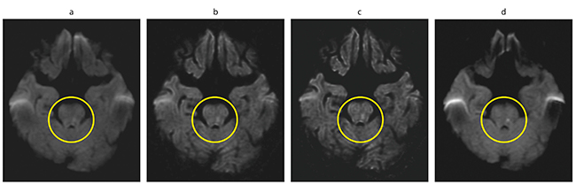
cDWIを用いた症例を提示する。79歳,女性,症状はろれつが回らない,嘔吐である。実測のDWI(以下,aDWI)b=1000s/mm2とcDWI b=2000s/mm2,cDWI b=3000s/mm2,翌日にフォローアップしたaDWIを比較した(図3)。cDWI b=2000s/mm2,cDWI b=3000s/mm2を作成することで梗塞巣が明瞭になった。このように,梗塞巣が明確でなく,梗塞疑いの診断を受けた14例中11件でフォローアップの梗塞巣と一致し,cDWIによる診断能向上が確認できた。
図3 症例でのaDWIとcDWIの比較
a:aDWI=1000s/mm2
b:cDWI=2000s/mm2
c:cDWI=3000s/mm2
d:翌日 aDWI=1000s/mm2
おわりに
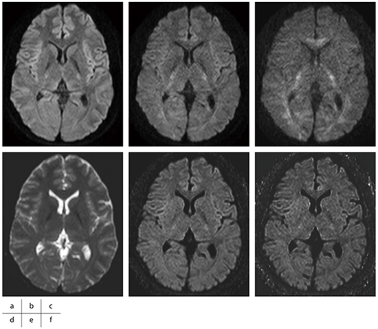
aDWIではb値を大きくするほどSNRの低下,歪みが強くなるといったデメリットがあるが,cDWIではSNRを担保しつつ,歪みにも影響しない(図4)。また,cDWIは後処理のみで作成が可能なため,追加撮像や加算回数を増加させる必要もなく,患者に負担をかけずに病巣の検出能向上に用いることができる。非常に実用的な画像処理であり,早期の診断へつなげるため,今後も積極的な作成を考えている。
図4 aDWIのSNR,歪みの比較
a:aDWI=1000s/mm2
b:aDWI=2000s/mm2
c:aDWI=3000s/mm2
d:aDWI=0s/mm2
e:cDWI=2000s/mm2
f:cDWI=3000s/mm2
●参考文献
1)Takahara, T., et al. : Diffusion weighted whole body imaging with background body signal suppression(DWIBS) ; Technical improvement using free breathing, STIR and high resolution 3D display. Radiat. Med., 22・4, 275〜282, 2004.
2)高原太郎 : Ziostation2上で動作するComputed DWI用プロトコルの開発. INNERVISION, 29・9, 111〜114, 2014.
【使用MRI装置】
Achieva 3.0T(フィリップス社製)
【使用ワークステーション】
AZE VirtualPlace 新(AZE社製)
