AZE
Virtual Placeシリーズの
オプションとして
新ソフトウエア2種を発売
(2004/9/1)



■ (株)AZE マーケティング部:梁田
03-5209-7051
http://www.aze.co.jp



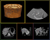
(株)AZEは,Virtual Placeシリーズのオプションとして,新ソフトウエア「疑似超音波(CTUS)」と「マルチアングル・マルチスライス」の2種を発売した。「疑似超音波」は,CT画像を再構成することで,擬似的に超音波画像をつくるソフト。通常の超音波画像よりも空間分解能に優れ,空気の影響を受けないため細部まで認識しやすい画像が得られる。位置関係の把握が容易で,教育用としての実用性も期待できる。一方の「マルチアングル・マルチスライス」は,曲がった腰椎など角度を認識して,自動的に直交断面を探して平面画像として表示。椎体のCT検査での画像処理時間の削減を実現する。