GEヘルスケア・ジャパン(株)は,GEヘルスケアの医療ITシステム「Centricity (セントリシティ)」ブランドの医用画像管理システム(PACS)「Centricity PACS 3.2(セントリシティ・パックス3.2 )」と,同PACSにオプション搭載可能なウェブベースの画像配信システム「Centricity WebDX 2.0(セントリシティ・ウェブディーエックス2.0)」を,大学病院や地域基幹病院などの大規模病院の放射線部門および医療情報部門を主対象に発売する。
Centricity PACS 3.2とCentricity WebDX 2.0は,GEヘルスケアが本年11月末に打ち出した世界規模のイメージングITビジョン「One desktop, One patient, One community」にもとづく医療用ITシステムの第一弾。
Centricity PACS 3.2は,国内外の数々の医療機関の声を反映して開発されたGEヘルスケアの最新PACS。海外主要国に比べた読影医一人当たりの読影数の多さや,読影医と連携する臨床医の画像参照要請の高度化といった国内の特殊事情に対応し,読影医の生産性や画像参照効率の向上ほか,遠隔診断支援など施設間の連携体制の構築支援に寄与するシステムである。
具体的には,CTやMRIの撮影画像を同一患者の過去の画像と比較する際に表示サイズを自動調節するサイズシンク(FOV同期),使用頻度の高い機能に対するショートカットキー,医療カンファレンス(症例検討会)などに役立つユーザーごとのブックマーク機能など,国内の顧客ニーズの高かった機能を搭載している。また,2,000枚を超える最新CTの断層像を3秒以内に表示可能な,業界でも高い水準を誇る画像圧縮・高速転送技術を搭載するなど,装置のデジタル化とフィルムレス運用の進展に伴って画像データ量が急増する環境においても,高い利便性や迅速な画像表示を実現し,読影医の診断効率を向上させる。
さらに,医療施設内にある汎用端末への画像配信が可能なCentricity WebDX 2.0をオプション搭載することで,院内の様々な端末からもウェブ環境での画像参照が可能となるほか,画像参照時の使い勝手を向上する。またCentricity WebDX 2.0には,3D画像作成機能や,GEヘルスケア製PACSで初めて,高精細な血管像の描出を実現するデジタルサブトラクション(DSA)機能を搭載,特に脳神経外科領域の診断支援に貢献する。
加えてCentricity PACS 3.2は,施設をまたいだ地域医療連携やますます重要性の高まるチーム医療の整備に相応しい柔軟なシステム構成を有している。施設間でのシステム冗長化や撮影画像の共有,遠隔画像診断支援に対応するほか,同社製の統合参照ソリューション「Centricity CDS/iDIR」と組み合わせて,撮影画像から各種ドキュメントまで患者の様々な形式の診療情報を統合管理し,総合的な診療サポートが可能。

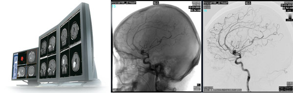
最左:Centricity PACS 3.2のワークステーション 右2枚:Centricity PACS3.2で再構成した頭部血管のDSA画像
●Centricity PACS 3.2の主な特長
- 優れた効率性:大規模なフィルムレス運用を支える快適なプラットフォーム
- 2,000枚のCT画像をオリジナル画像で3秒以内に表示
- CTやMRIの撮影画像を同一患者の過去の画像と比較する際に,表示サイズを自動調節するサイズシンク(FOV同期)を搭載。撮影装置ごとに表示・非表示を設定でき,ユーザーごとの利便性を向上
- 医療機関とGEヘルスケアのプロフェッショナル・サービス・スペシャリストとの協力で,顧客ニーズに合ったユーザーごとのブックマークフォルダーを作成可能。カンファレンスなどの準備作業の効率化に貢献
- 使用頻度の高い機能に対しショートカットキーを割り当て
- 卓越した柔軟性:地域連携・チーム医療のための柔軟なシステム構成
- 施設間でのシステム冗長化,アーカイブ共有,遠隔画像診断支援に対応。また,重要性の高まるチーム医療,総合的診療をサポートするような統合画像参照も付設可能
- 高い信頼性:長期間,安心して利用可能な信頼性
- 24時間365日,常にオンラインで保守・監視を実施。また,データベースサーバーを二重化し,画像送受信の負荷分散を行うことで,障害時の影響を最低限に抑える設計を採用
●Centricity WebDX 2.0の主な特長
- 完全ウェブベース:院内のみならず,院外からでもアクセス可能
- One desktop:画像表示だけでなく,従来別端末で手掛けていた業務が1つの端末デスクトップ上で操作可能
- 高いセキュリティー:現時点で最新のウェブテクノロジーとアプリケーションによるアクセス管理で暗号化技術SSL(Secure Socket Layer)を採用することで高いセキュリティーを確保
|