|
東芝メディカルシステムズ(株)は,世界の先進的臨床機関が参加して非造影MRA技術の臨床的有用性を検証する多施設合同臨床評価研究をサポートする。
米国,フランス,中国,日本の4カ国の施設が参加,非造影MRAと従来の画像診断モダリティの臨床的有用性に関する比較検討評価を行う研究活動で,活動は2011年初頭から開始され,約1年間かけて逐次成果を発信する計画。
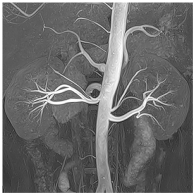
非造影MRAは造影剤を使わずに血管を描出できるため,患者さんにやさしい検査・診断法として関心が高まっている。特に,腎臓に疾患のある患者さんにMR用造影剤が副作用を引き起こす可能性があるとされる問題(NSF)が米国で報じられて以降,注目を集めている。 東芝の非造影MRA技術はすでに全世界1000台以上の装置で実施可能な定評ある技術で,平成21年度には全国発明表彰発明賞を受賞するなど,世界に先駆けて研究開発と実用化が進んでいる。日本放射線医学会大会や日本磁気共鳴医学会(JSMRM),さらには北米放射線学会や国際磁気共鳴学会(ISMRM)など最先端の学術の場においても,国内東芝MRI使用施設の先生方からの研究発表が多数蓄積されており,臨床の現場においては日常検査の一環として定着が急速に進んでいる。
しかしながら,単一人種,限られた地域におけるこれまでの研究開発や臨床評価では,適応の限界やさまざまなバイアス要因を考慮する必要がある。国境を越えた地球規模での医療貢献を広く成し遂げるためには,より国際的で多施設・多人種かつ大規模集団での臨床評価をデザインし,統計的にもより高い信頼性を確保する必要がある。本取り組みは,このような視点にもとづいて新たに計画された非造影MRAの国際的多施設合同臨床評価研究である。
本臨床評価研究は,米国デューク大学医療センター客員准教授 Timothy Albert,MD が主席研究者として主導し,日本を代表して東京大学大学院医学系研究科放射線診断学の先生方がメンバーとして参加,そのほかフランス,中国からも多数のMDが参画する。
今回は,非造影MRAの臨床応用アプリケーションの中から,1.5テスラ装置に搭載されたTime-SLIP法とDSAやCT,超音波など従来の画像診断法との症例比較検討を重ねることで,非造影MRAの有用性と効果を検証する予定。
東芝からは,米国の研究開発セクションTMRU,臨床アプリケーションの国際企画推進セクションCARCが全面支援するなど,全世界規模の注力を行う。

腎動脈の非造影MRA画像
|