|
GEヘルスケアグループの世界中核拠点の1つであるGEヘルスケア・ジャパン(株)は,一般X線撮影並みの低被ばくと従来機を上回る高画質を両立させたCT(コンピューター断層撮影装置)用画像再構成技術「Veo™(ヴェオ)」を,全国の研究機関,ならびに大学病院や地域基幹病院などの大・中規模施設を主対象に提供開始する。
Veoは,米ゼネラル・エレクトリック(GE)がこれまで培ってきた技術の粋を結集して開発した独自の画像構成技術。通常のレントゲン撮影と同等の低被ばくと現行のCTを上回る高画質という相反する要素を両立させ,被ばく量を現行機種(GEヘルスケア製最上位機種「Discovery CT750 HD」)の約9割減の1ミリシーベルト(mSv)以下と,一般のX線撮影と同レベルまで低減しながら,高分解能で高画質撮影を可能にしている。
CT検査では避けられない被ばくを一般X線撮影と同レベルまで削減することで,患者の負担を飛躍的に軽減するほか,低被ばくながら病変部の位置を従来のCT以上に正確に描出できるため,これまで被ばく量の関係でCT検査が難しかった骨盤や肝臓・膵臓・腎臓内の腫瘍の早期発見への貢献が期待される。また,小児や妊婦など被ばく量の制限が厳しい患者への応用も期待されている。

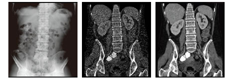
同一被ばく量(0.7ミリシーベルト)で撮影した腹部画像
左:一般X線装置 中央:Veo非搭載CT 右:Veo搭載CT
●Veoの仕組み:ノイズパターンのみならずシステムモデルまで組み込んだ新概念の逐次近似再構成法
Veoでは,従来のCTでは除外されていた患者の位置やX線焦点の大きさ,X線検出器のセルサイズ,画像ボクセルサイズ,そしてそれらをつなぐX線の幾何学的陰影など,撮影時に発生する物理現象を数学的にモデル化し,独自の高度な逐次近似再構成の演算プロセスに組み込み,さらに様々なノイズモデルを加味して精緻に再構成する。そのため,現在では再構成の完了までに60分以上かかる。
従来のCTでは,このようなX線焦点サイズやX線検出器のセルサイズなどを全く考慮していないため,秒間数十枚単位で高速計算できる反面,再構成時にボケが発生しやすくなるという課題があった。これまでは,再構成関数によって画像の分解能を改善し,ボケの解消に努めてきましたが,分解能とノイズは高分解能になればノイズもアップするというトレードオフの関係にあり,さらなる低被ばく撮影や画質改善には限界があった。
Veoでは,独自開発の極めて複雑かつ精密な再構成を行うことでこの課題を克服,多様な撮影条件において正確かつ迅速な読影を可能にした。

画像再構成のイメージ図(左:Veo非搭載CT/右:Veo搭載CT)
●その他の特長1 関数の概念をなくし,一度の再構成であらゆる組織を描出可能に
従来のCTでは,筋肉・臓器などの軟部組織や骨,肺といった検査する部位や組織ごとに撮影データを分け,異なる再構成関数にもとづいて,個別に画像を再構成する必要があった。Veoではこの関数の概念をCT画像再構成において初めてなくし,すべての部位・組織を1つの画像に集約する。再構成した画像はウインドのレベルとワイズ(コントラスト)の調整だけで,筋肉などの軟部組織から骨組織までクリアに描出可能。

再構成画像(左:Veo非搭載CT/右:Veo搭載CT)
通常のCTでは上記3画像を別々に再構成する必要があるが,Veoでは1回のみ
●その他の特長2 ASiRとの併用で多彩な読影ニーズに対応
Veoは,CTで初めてガーネットを使用した「Gemstone」検出器を搭載し,医療機関からのニーズが最も高いスライスごとの分解能の大幅な向上を実現した世界初(2008年10月発売時)のハイデフィニション・マルチスライスCT「Discovery CT750 HD」(2008年10月発売)に搭載できる。同装置には,最速35枚/秒での統計学的逐次近似高速画像再構成が可能な「エイサー(ASiR)」を標準搭載しており,読影医はニーズに応じて最低60分かかるVeoでの高精細な画像再構成とルーチンで使用可能なASiRを使い分けることで,より効率的かつ効果的な読影が可能。
Veoのシステム本体は,全112コアのCPU,168GBのメモリを搭載した高性能サーバーで,Discovery CT750 HDとの接続が可能。再構成が夜間や祝休日にかかることを考慮し,24時間/365日の安定稼働に向け,不具合が起こった場合でもシステムを停止させることなく修理可能な仕様にしているほか,電源ユニットの冗長化も図っている。
Veoは米ゼネラル・エレクトリック(GE)が2009年5月に立ち上げた医療に関するビジネス戦略「ヘルシーマジネーション(healthymagination)」の厳しい認証審査をクリアした製品で,既に欧州で販売を開始したほか,国内でも慶應義塾大学病院,東京大学病院,東京女子医科大学東医療センター,大阪大学病院,近畿大学病院,三重大学病院の6施設に先行導入されている。 |