|
(株)フィリップス エレクトロニクス ジャパンは,去年の北米放射線学会で発表した新型MRI装置「Ingenia 3.0T」の国内第1号機が,東海大学医学部付属病院で稼動を開始したことを発表した。この装置はアジア太平洋地域で初めての稼働で全世界でも5台目となる。
「Ingenia」はMRI装置で世界で初めてフルデジタル化を実現した装置。従来のMRI装置は,体内から発信した微弱な信号をRFコイルで検出しアナログケーブルで送り,アナログからデジタルに変換し画像化していた。その間,アナログケーブルで信号伝送されており,アナログ伝送による信号ロスが起きていた。「Ingenia」は,アナログ・デジタル変換器(ADC)がRFコイル内に内蔵され,コイルから先はデジタル化された信号を光ケーブルで伝送するため,完全にデジタル化することで信号ロスがなくなった。ADCがRFコイル内に内蔵され即座にデジタル変換されることは,MRI装置において理想的な形になる。その結果,SNR(信号強度比)が最大40%向上し,画質の向上と検査のスピードアップにつながる。
フィリップスでは今回の第1号機を皮切りに,「Ingenia 3.0T」および「Ingenia 1.5T」を大学病院などの研究機関および官公庁管轄の総合病院を中心に販売していく。「Ingenia 3.0T」および「Ingenia 1.5T」の今年度の販売目標台数はそれぞれ約40台,希望販売価格は「Ingenia 3.0T」は18億円,「Ingenia 1.5T」は10億円(税込,構成により異なる)を予定している。
●「Ingenia3.0T/1.5T」の主な特長
SNR(信号強度比)が最大で40%向上
従来のMRI装置は,コイルからアナログ・デジタル変換器(ADC)までの間は,アナログケーブルで信号が伝送されていた。「dStream」はADCがコイルに内蔵され,MR信号がコイル内で即座にデジタル変換されることで,アナログケーブルによる信号減衰がなくなり,SNRが従来と比べて最大40%向上する。
70cmボアで高い磁場の均一性
ガントリーは70cmボアでありながら静磁場の均一性を高め,最大FOVは最大55cmあり,一度に広範囲を撮像することができる。
チャンネルフリーで容易な拡張性
コイル技術が進歩するたびにRF受信チャンネルのバージョンアップを心配する必要がない。信号のデジタル化はRFコイル内で行われるので,使用できるチャンネル数は,システムではなくコイルによって決まる。大がかりなシステムのバージョンアップを必要とせず容易に拡張できるため,ライフサイクルコストの低減と経済性の向上につながる。
東海大学医学部付属病院専門診療学系 教授 今井裕氏は,「当院はまだ3.0T MRI装置が普及していない2007年に「Achieva 3.0T X-series」(アチーバ 3.0テスラ Xシリーズ)を導入しました。導入した当初は,1.5Tと3.0Tを臨床別に使い分けていましたが,「MultiTransmit」(マルチトランスミット)を導入してからは上腹部領域と乳腺領域の画質が画期的に向上しました。近年,MRI装置の適応領域における検査需要の増大に加えて,さまざまな領域で MRI装置 が役割を担いつつあり,「Ingenia 3.0T」を導入することで,従来装置よりすぐれた臨床情報と検査の効率化を図りたいと考えています」と本MRI装置の有用性を述べている。
(株)フィリップス エレクトロニクス ジャパン 代表取締役社長 ダニー・リスバーグ氏は,「「Ingenia」に新しく搭載された「dStream」は,SNRの向上に加えて日常業務の効率化とスムーズなワークフローと操作性の向上を実現し,デジタル化のパワーが持つ真価を余すところなく発揮します。フィリップスは,MRI装置のラインナップに「Ingenia」を加えることにより,画質の向上に加え,運用効率の改善,ワークフローの向上など,さまざまな側面からお客様をサポートして参ります」と述べている。

頭部・腹部用dStreamコイル

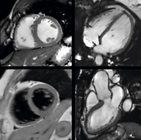
Ingeniaで撮影した心臓のシネおよび
Black Bloodイメージング |
 |
Ingeniaで撮影した全身DWIBS(ペットライクイメージング)(MultiTransmit使用) |
|