|
シーメンス・ジャパン(株)は,2012年2月21日, MRIとPETの画像を同時に撮影できる,世界初の統合型全身MR-PETシステム「Biograph mMR(バイオグラフエムエムアール)」の薬事承認を取得した。
「Biograph mMR」は,主に脳疾患や心疾患,乳腺疾患などの診断に使われる3テスラMRIと,主にがんの診断に用いられるPETの二つの異なる方式による画像を同時に撮影できるため,より豊富な生体情報の統合を画像診断において実現する。
従来は,MRIとPETは別々に撮影されていたため,二回の撮影で身体の位置を完全に一致させることが難しく,さらに人体の組織は呼吸や代謝の影響などにより常に変化しているため,両者の画像は時相のずれや位置のずれが発生していた。しかし,「Biograph mMR」では,MRIとPETの画像を同時に得ることができるため,両者の画像が完全に一致し,解剖学的情報と機能的情報を重ね合わせて視覚化することが可能になる。これにより,がんや脳疾患などのより正確な診断や,治療方針の決定に大きく貢献できる事が期待されている。
このMR-PETをひとつのガントリに統合するシステムの技術は,シーメンスが世界で初めて開発に成功したもの。本機構実現のためには,PET検出器への磁場による影響と設置スペースが課題となっていたが,シーメンスでは小型の半導体検出素子の開発や光ファイバーによる信号伝達技術により,これらの課題を解決し,2010年11月には「Biograph mMR」の1号機がドイツ・ミュンヘン工科大学に導入されている。
シーメンス・ジャパンでは今回の薬事承認を受け,先端医療施設や大学研究機関などへの導入を目指していく。「Biograph mMR」の年間販売台数は20台程度を予定している。
●主な特長
■世界で唯一の同時撮影機構
従来のCTとPET装置とのハイブリッドシステムであるPET・CTシステムは,画像診断においてその有用性が認知され,活用も進んでいるが,PETとCTそれぞれのデータ収集を別々に行った後に画像の重ね合わせを行う機構となっている。これに対し「Biograph
mMR」は,MRI受信コイルとPET検出器が同心円上に設置されているため,磁気共鳴信号(MRI)とガンマ線(PET)の集積・代謝情報を同時に取得することができる。
このため,MRIによる形態・機能情報とPETによる細胞レベルの活動・代謝情報という二つの異なる診断情報を,同じタイミング,同じ位置で撮影することができ,病変の機序を同時に評価することが可能になる。この同時撮影の機構を持つのは,臨床用診断装置としては「Biograph mMR」が世界で唯一の存在(2012年2月29日現在)。
■がん診断や脳機能研究への応用
既に研究発表において,本システムを用いたがん診断において高い有用性が海外において多数報告されている。CT画像では評価の難しい領域におけるMR画像の有効性とPET画像のがん細胞の活動評価をあわせることで,従来診断の難しい領域においても正確な評価が行える。例えば,骨盤部の検査において,撮影のタイミングが異なると,排尿の影響により膀胱の大きさが変化するために周囲の位置情報が変化するが,「Biograph mMR」では,MRIとPETの撮影の時間差がないために,空間的にも完全に一致した形態情報が得られ,リンパ節等の微小病変の位置関係まで正確に一致した情報が得られる。
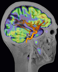
さらに脳機能研究への応用にも期待が高まっている。機能的MRI(functional MRI),およびPETは,ともに脳機能解析へ重要な役割を果たしているが,この二つのデータを同時収集した研究評価は現在のところ特殊な実験装置による動物実験に限られている。今後「Biograph mMR」が脳機能研究における新たな診断ツールになると期待されている。同様に脳神経疾患においても,PET代謝情報に加え,MRIの豊富な画像コントラストや血流(MRアンギオグラフィ),神経線維走行(トラクトグラフィ)を一度の検査で実施でき,形態情報,物理的情報,生化学的情報が総合的に得られ,包括的な診断情報を,短時間の検査ワークフローで得ることができる。
■低被ばく性の実現
MR検査が電離放射線を使用しないため,「Biograph mMR」が行うMR-PET検査は従来のPET・CT検査に比べて放射線被ばくを低減することができる。特にPET・CT検査を繰り返す必要がある疾患や,被ばくの影響が懸念される小児検査において重要となる被ばく低減に大きく寄与する。ミュンヘン工科大学病院の核医学部門教授であるMarkus Schweiger氏は,次のように語っている。「我々は,疾患のかなり早期の段階における診断目的へ,この装置の臨床試験を開始しました。「Biograph mMR」は,疾患の進行度の評価や,患者ごとのオーダーメイド治療計画作成ための情報収集を目的に使用しています。さらに,トータルでの放射線被ばくを低減できることもあり,長期的な悪性腫瘍治療のフォローアップに使用する計画もあります。」
■世界での稼働状況
「Biograph mMR」は,2011年5月24日に欧州の安全規格CEマーキングを,2011年6月8日には米国の医療機器承認FDA 510(k)の認可を受け,全世界で25台以上を受注,既に15台が稼動している。
■参考:「Biograph mMR」で撮影された画像

1. 完全な全身同時撮影が行えるため,病変の広がりを詳細に評価することが可能

2. 脳血管の血流状態と腫瘍の活動性が同時収集でき,より正確な評価が可能

3. MR画像から得られる解剖学的情報だけでなく,同時に得られるPET画像から病変組織の詳細な代謝情報を把握することが可能
|