|
東芝メディカルシステムズ(株)は, 機能を向上させた超音波診断装置の最上位機種Aplio 500の販売を開始する。超音波の断面画像とCTやMRIで撮影したボリューム画像を同期して表示させる「Smart Fusion」の機能を拡張し,正確な診断や治療を支援する画像を提供する。
本製品は4月13日(金)〜15日(日)パシフィコ横浜で開催される国際医用画像総合展 ITEM2012にて展示される。
被ばくのない超音波診断は診断からフォローアップまで幅広い臨床領域で用いられている。近年,がん検診の確定診断のための生検やRFA治療のための穿刺のガイドなど,超音波診断のリアルタイム性を生かした用途への需要が広まっている。
しかしながら超音波による小さな病変検出には検査者の技量に依存する部分が大きいため,CTやMRIにより病変を検出できても,超音波では検出しづらいケースがあった。そこで東芝は検査環境に依存せず正確な診断をサポートするためのSmart Fusion機能を開発した。
●Smart Fusion機能について
Smart Fusion機能は既得のCTやMRI画像の情報を利用し,超音波診断画像のリアルタイムな動きに連動させ,病変検出をサポートする機能。磁場発生ユニットと,超音波プローブに取り付けた磁気センサより,磁場空間における超音波プローブの位置,角度をリアルタイムで検出する。この検出した位置,角度情報を用いて,超音波プローブが描出しているものと同じ断面を超音波診断装置の画像表示器に表示する。
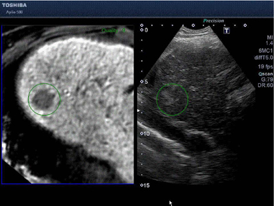
肝細胞がんのスクリーニングに有用とされている,EOB・プリモビスト造影剤を用いたMRI検査により病変が検出された場合も,そのMRI画像データを利用して,超音波ガイド下で穿刺することが可能となる。(図1)

図1 EOB・プリモビスト造影剤を用いたMRI検査により検出された病変のFusion画像
DPCによる包括支払い制度を導入している医療機関にとって,穿刺位置確認のためだけのCT検査が不要となるため,病院経営に寄与するだけでなく,不要な被ばくを減らすことにより患者さんにとってもやさしい医療を提供できる。
CT/MRI画像からは病変周囲の詳細情報を得ることができるので,穿刺の安全性が向上し質の高い医療を提供する。
●装置の特長
超音波スキャンを妨げないセンサ取り付け位置
超音波プローブの位置情報を得るための磁気センサは,プローブ操作の妨げにならない場所に取り付けますので,通常の検査と同じプローブ操作でスキャンすることができる。
また穿刺アダプタは従来のものがそのまま使える。
オールインワンシステム
磁場発生ユニットは,本体にマウントされているので,別々に運ぶ必要がない。必要な場所ですばやく本機能を使用することができる。
簡単な位置合わせ手順
以下のステップにより超音波画像(画面右側に表示)とCT/MRI画像(画面左側に表示)とを連動させることができる。
(1) 超音波画像がAxial断面を表示するようにプローブを固定してSET
(2) プローブの動きに合わせてCT/MRI画像の断面が動くようになるので,生体内で目印となる構造物のCT/MRI画像,超音波画像のそれぞれに対してカーソルを合わせてSET。
また患者さんの動きによる再位置合わせも簡単にできる。
高精細な超音波画質
新しくなった新Aplioシリーズはプラットフォームを一新し,Precision Imaging,ApliPure™,などの東芝独自のイメージング技術により,高精細な超音波画像を提供する。 |