ホーム の中の取材報告の中の 2009の中のTOPIC 2009で,ザイオソフトの「zioTerm」を使用した“CT for PCI Learning Center”が開催

取材報告

2009
TOPIC 2009で,ザイオソフトの「zioTerm」を使用した
“CT for PCI Learning Center”が開催


会場風景
会場風景

山崎慶太氏(大阪大学)
山崎慶太氏
(大阪大学)

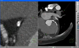
Slab MIPでは蛇行した血管を素早く観察できる。
Slab MIPでは蛇行した血管を
素早く観察できる。

 7月16日(木)〜18日(土)の3日間,セルリアンタワー東急ホテル(東京・渋谷)において,日本循環器学会,日本心血管インターベンション治療学会,日本心血管画像動態学会,日本心臓病学会などが後援するTOPIC 2009が開催された。TOPICは,Tokyo Percutaneous cardiovascular Intervention Conferenceの略で,インターベンションの進歩の追究,薬剤溶出ステント(DES)の安全性・有効性の再確認,臨床医の指導・教育という3つを大きなテーマとしている。カテーテル治療の現状と将来を見据えたセッションを中心に,血管造影装置以外のイメージングモダリティの活用にも踏み込んでおり,CTの活用をテーマとしたハンズオンセミナー“CT for PCI Learning Center”〔協力:ザイオソフト(株)〕なども開催された。

 CT for PCI Learning Centerは,角辻 暁氏(大阪大学/野崎・名古屋・大垣徳洲会病院)がCourse Directorを務め,山崎慶太氏(大阪大学),奥津匡暁氏(野崎徳洲会病院),亀谷良介氏(名古屋徳洲会総合病院),黒田 忠氏(大阪大学)をインストラクターとして,3日間で計9コマが実施された。ハンズオンセミナーでは,ザイオソフト社のソフトウエア「zioTerm」を使用。同社では今年3月から,2D画像処理が可能なzioTermをインターネット経由で無償で配布している。2D,MPR,3Dの機能に加え,血管の観察に適した“Slab MIP”などの機能も搭載されている。Slab MIPはシンプルな操作方法で,初めてでも短時間で操作を習得することができる。

 16日16時からのセミナーでは,山崎慶太氏がインストラクターを務め,最初にzioTermの簡単な操作法を練習した上で,1)Slab MIP法の基礎,2)冠動脈のスクリーニング―冠動脈長軸・短軸画像評価,3)症例検討―プラークの検出,プラークの分布・質的評価,石灰化の評価,ステント内評価,CTO(慢性完全閉塞病変)の評価をテーマに,実臨床で役立つワークステーションの活用法を実践した。初めは操作にとまどいを見せていた参加者も,15分もすると画像の回転,拡大,CT値の違いで組織を色分けできるカラーマップなどの操作を習得し,いくつかの症例を対象に,実際に血管内がどのように評価できるかなどについて,PCIの画像と比較しながら確認した。


●問い合わせ先
ザイオソフト(株)
マーケティング部
TEL 03-5427-1903(代)
http://www.zio.co.jp