ホーム
取材報告
ITEM 2012 国際医用画像総合展
ザイオソフト/アミン ブースインフォメーション
お問い合わせ先: ザイオソフト株式会社 / アミン株式会社 TEL 03‐5427-1903 |
|||
![]()
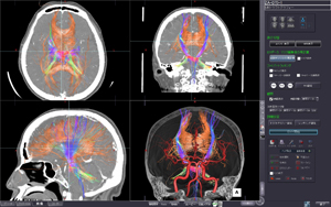
モダリティの進化に伴い,その膨大な情報を診断に生かすためにも,今後ワークステーションに求められるテーマは,情報の「定量化」であると考えています。ITEM2012のザイオソフト/アミンブースでは,「定量化」そして「マルチクリニカル・マルチモダリティ・マルチフュージョン」をテーマに,診療科やモダリティ,また環境を問わず活用できる最新解析アプリケーションを実機にてご紹介いたします。さらに進化を続けるziostation2をぜひブースで体験してください。
![]()



■ziostation2 最新バージョン2.1
今回ITEMで初めて紹介されるziostation2の最新バージョンでは,従来から定評のある脳血流解析に加え,膵血流など体幹部の解析も可能にした「CT/MR血流解析」,「CTボリューム血流解析」,Dual Energy CT装置のデータを用いて抽出したい物質のCT値の範囲を指定しボリューム情報を分離する「D.E.デコンポジション」,神経線維の走行解析を行い,さらにMRAやCTAともフュージョン可能な「MRトラクトグラフィー」などを新たに搭載しました。より幅広い分野の検査をサポートします。 このほか,次期バージョンで搭載予定のMR心臓検査画像から右心室の機能解析を行う「MR右心機能解析」や 心壁の局所的な壁運動の異常を解析する「MRストレイン解析」なども紹介します。
■超四次元画像 PhyZiodynamics
モダリティの進化に対応し,次世代のWSに求められるテーマを追求してザイオソフトが開発した基幹技術であるPhyZiodynamicsは,その高度な処理能力のもたらす高度な補完技術と精度の高いトラッキング/レジストレーションにより,従来技術では不可能であった緻密で正確な動態観察を実現しました。ザイオソフトではPhyZiodynamicsで生成された動態画像を超四次元画像として位置づけています。そしてこの優れた技術は動態観察のみならず,ziostation2を支える要素技術として様々なアプリケーションに応用されています。ぜひブースでその最新のテクノロジーを体感してください。
■拡張性の高い画像配信ソリューション
一時的なデータストレージやデータ解析結果を院内配信すると共に,Webブラウザやモバイル端末から2D/3D画像処理や閲覧ができる配信ソリューションをラインナップ。院内外を問わず,画像診断を行える配信ネットワーク構築を実現するソリューションを提案します。
![]()
第71回 日本医学放射線学会総会 ランチョンセミナー9
4月13日(金)12:00 〜12:50
「New Horizon of 4D Imaging 〜超四次元画像PhyZiodynamics テクノロジーによる定量解析の可能性〜」
| 司会: | 望月 輝一 先生 / 愛媛大学大学院 医学系研究科 医学専攻 生体画像応用医学分野 教授 |
| 演題・演者: | 「PhyZiodynamicsの特徴と展望」 小林 泰之 先生 / 聖マリアンナ医科大学 放射線医学画像診断部門 講師 「PhyZiodynamicsによる虚血心筋や心同期性障害の定量化の試み」 長尾 充展 先生 / 九州大学大学院 医学研究室 分子イメージング・診断学講座 准教授 |