ホーム
取材報告
RSNA2011スペシャル 取材レポート
RSNA2011: AZE(アゼ) - ネットワーク型WSの新製品「PHOENIX」を発表
RSNA2011 |
RSNA2011 [第2日目:11月28日(月)] |
AZEは,同社が3D PACSと位置づけるネットワーク型ワークステーション「AZE VirtualPlace PHOENIX」を発表した。
PHOENIXは,高額なPACSを導入していない中小規模の病院でも運用可能なシステムとして開発され,3D解析機能を搭載し,大容量のシンスライスサーバとしても利用できるようになっている。
また,クラスタリング技術を用いて2台のサーバを大容量の1台のサーバとして利用する新機能“Twin Access”(メモリ:48ギガ以上)により,5000枚程度の画像処理であれば,クライアントを同時に8〜9台を稼働させることができる。PHOENIXは,クライアントにはWindowsとMac両方のPCを利用でき,処理スピードが速い。
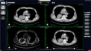
特徴的な機能のひとつに,位置ズレの補正や非剛体の重ね合わせも可能な,独自開発のレジストレーションがある。ボタンひとつで現在の画像と過去画像を重ね合わせて表示することができ,疾患の経時的変化の把握,計測ができる。複数モダリティの画像やスライス厚の異なる画像,また異なる装置メーカーの画像もレジストレーションが可能である。さらに,患者主体のレポート作成機能により,複数モダリティの画像をボリュームデータとして,自由なレイアウトで一画面に表示することも可能となり,医師の読影や診断業務を支援する。
PHOENIXは,レジストレーションビューアとしての側面が強く,画像処理機能を絞り込んでいるが,ボタンひとつでリンクさせた現行のVirtualPlaceに切り替えることで,より高度な画像処理が可能となる。
![]() AZE VirtualPlace PHOENIXによる過去画像とのレジストレーション |
![]() AZE VirtualPlace PHOENIXの同一患者画像比較画面 |
●多様な機能と画像処理技術

新しい機能として,VirtualPlaceを根本杏林堂のインジェクタと接続連携させる機能も発表された。これは,VirtualPlaceで観察している画像から,簡単な操作でインジェクタ側に造影プロトコール情報を見に行くことができるもので,造影剤ショックの有無の確認もでき,統計運用を行うことができる。
また,VirtualPlaceの画像処理技術の新開発や高度化が進んでいる。なかでも,心臓解析機能は大幅に改良され,表示方法の改善,追従精度の向上などが図られるとともに,フルオート解析(Aze Auto Analyzer:AAA)を実装し,画像の転送から処理・表示に至るまでの完全自動化が実現した。ほかにも,T1/T2マッピング,肺結節の自動抽出機能,血管解析機能などが新しく追加されている。
![]() 肺結節の自動抽出機能 |
![]() 血管解析機能 |
■関連リンク