Vol.7 スライスからキューブへ − 膵がん診療における3Dイメージの活用

WEB REPORTインナービジョン誌掲載記事TOPに戻る  


日本超音波医学会第81回学術集会が5月23〜25日の3日間にわたって開催された。24日(土)に行われたGEYMS共催のランチョンセミナーでは,大阪府立成人病センター検診部長の田中幸子氏が,「スライスからキューブへ − 膵がん診療における3Dイメージの活用」と題して講演を行った。 田中 幸子 氏
大阪府立成人病センター検診部長
田中 幸子 氏
工藤 正俊 氏
座長: 近畿大学医学部消化器内科学教授
工藤 正俊 氏
  会場風景
会場風景
日本超音波医学会第81回学術集会GEYMSブース
日本超音波医学会第81回学術集会
GEYMSブース



 腹部超音波検査では,最大断面とその直交断面を得ることで,病変のほぼ全貌が表示できると考えられている。しかし,実際には2断面だけで全体像を把握することは困難であり,正確な診断を行うためにはボリュームデータが必要である。また最近では,コントラストエンハンスメントによる安定した画像が得られるようになってきた。本講演では,LOGIQ7とメカニカル3Dコンベックスプローブを用いた,3Dイメージとコントラストエンハンスメントによる膵がん診療への挑戦をテーマにお話する。

 

超音波診断における3Dイメージの有用性

 膵臓の超音波診断にボリュームデータによる3Dイメージを用いることで,(1) 腫瘍や嚢胞などの体積計算,(2) 主膵管と嚢胞との交通の有無の確認,(3) 嚢胞や主膵管の内腔面の凹凸の評価が可能になる。われわれはこれを,“VirtualSonographic Cystoscopy”,もしくは,“Virtual Sonographic Endoscopy”と呼んでいる。また当院では,造影超音波と3Dを組み合わせることで,Mural Nodule(壁在結節)とデプリの鑑別を行っている。

●腫瘍や嚢胞の体積計算
 通常,2Dで腫瘍や嚢胞の体積計算を行う場合は,縦,横,厚みの3方向を計測して割り出しているが,計測位置がずれると数値が大きく変化してしまうことがある。一方,3Dでは,プローブのスイープ角の中に嚢胞がすべて納まるように設定すると,5秒以内で3Dの断面像として表示される。嚢胞のみをボリュームレンダリング(VR)表示することも可能であり(図1),エコーレベルのコントラストが十分に得られる症例では,例えばがんの化学療法や放射線治療後の経過観察などにおいて,体積の変化が視覚的に判断できるようになる。また,VR表示された嚢胞は,回転させてさまざまな方向から観察可能であり,嚢胞を取り出して内腔面の凹凸を見ることもできる。

●主膵管と嚢胞の交通の有無の確認
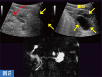
 主膵管と交通のある嚢胞は,IPMN(膵管内乳頭粘液性腫瘍),いわゆる前がん病変の可能性が高く,膵がん診断における重要な目安となる。図2では,多房性嚢胞が膵体尾部に認められ,主膵管もわずかに見えているが,交通の有無についてははっきりしない。しかし,MRCPで交通が認められたため,その部分を3Dで確認すると,交通が明瞭に描出された(図3)。

●嚢胞と主膵管の内腔面の評価
 通常,主膵管の内腔面を見るためには,膵管鏡を用いた侵襲的な検査が必要であり,また,嚢胞の内腔まで観察することは難しい。しかし,病変部を3DでVR表示すれば,嚢胞の外側から内側に視点を移動させていくだけで,平滑な内腔面であるとの評価が可能である(図4,5)。
  図6はIPMC( 膵管内乳頭粘液性腺癌)混合型の症例で,主膵管と分枝膵管の両方に結節が見られる。ノイズが多く嚢胞部分が不明瞭だが,ソナゾイド造影を行うと投与後20 〜 30秒程度で膵実質が最も強く濃染され,その後コントラストに優れた3Dイメージが得られた。これをVR表示して内腔面を観察すると,大きな結節以外にもたくさんの凹凸が見られた(図7)。IPMCは良悪性境界病変も多いため,嚢胞内腔面の凹凸が良好に認識できることは,非常に大きなメリットと考えている。当院では,ERCPや切除手術などで確定診断がついた15mm以上の嚢胞性病変を持つ77症例について,嚢胞の内腔面の状態を3Dイメージのパターンで分類した。その結果,内腔面が平滑なT〜V型には悪性病変は1例も含まれていなかった。3Dイメージを用いることで病変の客観的な評価が可能になり,良悪性の鑑別にも役立つと期待している。

図1
図1
【画像をクリックすると拡大表示します 】


図2
図2
【画像をクリックすると拡大表示します 】


図3
図3
【画像をクリックすると拡大表示します 】


図4
図4
【画像をクリックすると拡大表示します 】


図5
図5
【画像をクリックすると拡大表示します 】


図6
図6
【画像をクリックすると拡大表示します 】


図7
図7
【画像をクリックすると拡大表示します 】


▲ページトップへ

コントラストエンハンスメント&3D

 単純超音波像で膵がんによって主膵管が閉塞し,尾側膵管の著明な拡張を伴っていることが認められた症例に造影超音波を行ったところ,拡張した膵管の中にチラチラとかなり強い染まりが見られた。VR表示で膵管の中にIPMCが認められ,IPMC由来の浸潤癌であることがわかった(図8)。

図8
図8
【画像をクリックすると拡大表示します 】


▲ページトップへ

まとめ

 がんによる年次死亡率の推移を見ると,この40年,膵がんは増加の一途をたどり,5年相対生存率もほとんど向上していない。しかし,ステージ1というきわめて早期に発見された膵がんだけを見ると,5年相対生存率は58.5%である。これは膵がん患者の1.6%にすぎないが,生存率の向上には早期発見が重要な鍵となることがわかる。

 膵がん病巣を最初に発見した診断法をまとめると,膵頭部,膵尾部のいずれも超音波が最も多く,そのほとんどが,症状がまったくない状態で偶然に発見されている。われわれは,1998年から膵臓に軽い異常のある人に対し定期検診による追跡調査を行っているが,その結果,膵管が拡張しておらず嚢胞もない人に比べて,主膵管が軽度拡張している人は3倍,嚢胞がある人は3.8倍,主膵管が拡張し嚢胞もある人は27.5倍も,将来膵がんを発症する危険性が高いことがわかってきた。嚢胞と膵管をより詳細に正確に観察できる超音波の3Dイメージによって,患者さんにやさしい膵がんの早期診断をめざしていきたい。

▲ページトップへ

*GE横河メディカルシステム ランチョンセミナー(2008年5月24日)より抜粋

●お問い合わせ先
GE横河メディカルシステム株式会社
〒191-8503 東京都日野市旭が丘4-7-127 TEL 0120-202-021(カスタマー・コールセンター)
http://www.gehealthcare.co.jp