Vol.9 Signa HDxtとHNSコイルで確実に世の中変わる!! 横浜栄共済病院放射線科 高橋光幸

TOPに戻る


当院は、紹介患者様、救急の患者様に対し、依頼があれば当日にMRI検査を施行している。それに対応するため、2008年2月に1台のMRIをリプレースした。新たに導入したのは1.5T MRI 「Signa HDx(ver.14)」である。その後、2009年6月には、Head Neck Spine コイル(以下、HNSコイル)とともに、「Signa HDxt(ver.15)」にバージョンアップした。HDxtのxtは、eXtended Technologyという意味で、IDEAL、Cubeという最新アプリケーションが使用可能である。IDEALは3point dixon法とField Mapを用い、水画像、脂肪画像、in-phase、out of phaseの4種の計算画像を作り出す。まさに、磁場の不均一を克服した最初のMR装置と言える。さらに、Variable Flip Angle 3D FSE法であるCubeによって、3DでT2強調像、プロトン密度強調画像が撮像できるようになった。Cubeは、Flip Angle(FA)を調整し、デザインされたT1、T2値の組織の信号を一定に保ち、従来の欠点であったBlurringアーチファクトを改善する方法である。本稿では、当院のMRI運用(使用方法から撮像プロトコール)が大きく変化している現状を報告する。

横浜栄共済病院放射線科
高橋光幸

s HNSコイルのメリット

 HNSコイルを図1に示す。このコイルは、大きく頭頸部と、脊椎(主に腰椎)部に分けることができる。別々に使用することも可能である。従来のコイルは女性技師にとっては負担が大きいと思っていたが、このコイルは非常に軽くできている。当院は患者テーブルを2台有しているため、1台をHNSコイル専用と考えていたが、新しいコイルは軽くて取り外しが容易であることから止めてしまった。当院では頭部、頸部(頸椎)、腰椎の当日飛び込み検査が増えている。そのため、このHNSコイルは、他社のようなマルチコイルシステムとのハイブリッドな意味合いを持つと考える。つまり、専用コイルの画質を維持しつつ、撮像範囲を広げることを両立させている。適当な言葉が見つからないが、従来使用していたコイルとは“まったく別もの”というインパクトがある。

図1 HNSコイル
図1 HNSコイル

▲ページトップへ

s 症例提示

 図2に、Cubeで撮像したblack blood (BB)MRAを示す。IC-PC動脈瘤の症例である。MinIP法を用いて、多方向からの観察が可能である。頭部MRAは、12chコイルで撮像できるので、スライス厚をさらに薄くしてもSNRに問題はない。

図2 Cubeで撮像した脳動脈瘤のblack blood MRAとTOF MRA a:Cube PD強調画像 b:3D TOF
図2 Cubeで撮像した脳動脈瘤のblack blood MRAとTOF MRA
a:Cube PD強調画像
b:3D TOF

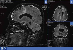
 図3に、髄膜炎を疑われた頭部造影FLAIR-Cubeの画像を示す。Cubeは、IRパルスを付加することでFLAIRも撮像可能である。典型的な髄膜炎の所見ではないが、硬膜が造影されているのがわかる。約5分の撮像で、どの撮像断面にもリフォーマット可能である。従来は、FLAIRを2方向撮像するのに約6分かかっていたが、Cubeでは、ほぼ同一の撮像時間で得られる情報は飛躍的に増加する。このFLAIR-Cubeの画質はとても素晴らしく、今後、多発性硬化症(MS)などの変性疾患にも応用する予定である。

図3 髄膜炎疑い症例の頭部造影FLAIR-Cube画像 a:FLAIR-Cube矢状断元画像 b:FLAIR-Cube再構成横断像 c:FLAIR-Cube再構成冠状断像
図3 髄膜炎疑い症例の頭部造影FLAIR-Cube画像
a:FLAIR-Cube矢状断元画像
b:FLAIR-Cube再構成横断像
c:FLAIR-Cube再構成冠状断像

 図4に、造影後の内耳道を撮像したIDEAL FSE T1強調像を示す。約3分半の撮像を2回繰り返すだけで、脂肪が付加されたin-phase画像、脂肪抑制された水画像を得ることができる。12chコイルを使用することでSNRが飛躍的に増加し、より高精細な画像が得られるようになった。耳鼻科でめまいの検査が多い当院では、非常に役立っている。また、この画像の眼窩部に注目してもらいたい。きれいに脂肪抑制されており、今後眼窩疾患への応用も期待できる。

図4 内耳道のIDEAL FSE T1強調像(造影後)a:水画像 b:in-phase画像
図4 内耳道のIDEAL FSE T1強調像(造影後)
a:水画像
b:in-phase画像
 上記のように、得られる画像はいいことずくめであるが、撮像時間はトレードオフとなる。原理上3つのTEで撮像するため、3NEX(積算)が基本撮像時間となる。したがって、パラレルイメージングが使用できる部位は用いることが望ましい。そうでない場合は、従来用いていたNEXを下げる、空間分解能を下げる、といった工夫が実用的である。撮像時間の延長については、当初は懸念していたが、(1)完全なる脂肪抑制画像が得られる、(2)同時にin-phase画像が得られるメリットはやはり大きい。

 図5に、第一頸椎に発生した神経鞘腫を示す。造影3D-SPGR法においても、IDEALが併用可能である。従来、頸部領域背側は脂肪抑制不良部分が認められたが、IDEALを用いることで、きれいな造影脂肪抑制画像を得ることができる。時に、脂肪抑制しない画像を求められることもあるので、画像サーバには水画像およびin-phase画像を保存している。このように、イメージングオプションにIDEALを用いることは、常に頭に入れておく必要がある。

図5 第一頸椎に発生した神経鞘腫 a:3D SPGR IDEAL元画像(水画像)b:再構成冠状断像
図5 第一頸椎に発生した神経鞘腫
a:3D SPGR IDEAL元画像(水画像)
b:再構成冠状断像

 図6に、頸部非造影MRA画像を示す。大動脈から頭部まで、3D TOFできれいに撮像できるようになった。特に、大動脈については、胸部コイルを患者に密着させられるため、適切なSNRが得られるようになったと考えられる。当院では、急性期に脳梗塞が認められれば、臨床側から直ちに頸部非造影MRAを求められる。そのため、HNSコイルは非常に便利である。最近の試みとして、頸部血管に狭窄が認められれば、直ちにnon-gate IDEAL FSE T1強調像を撮像する。従来のFSE法よりエコー間隔が長いため、血管がFlow Voidになりやすい。non-gate IDEAL FSE T1強調像の検討はまだ始まったばかりであるが、非常に簡便に施行でき、ルーチン(頸部非造影MRAのみ)に加えても、撮像時間の延長はわずかである。脂肪抑制不良も認められないため、顎下腺との信号強度の比較も視覚的に容易である。

図6 頸部非造影MRA a:3D TOF MIP像 b:IDEAL FSE T1強調像
図6 頸部非造影MRA
a:3D TOF MIP像
b:IDEAL FSE T1強調像

 図7に、頸椎〜上位胸椎の脊椎の画像を示す。 T1 FLAIRの矢状断像にて、第5胸椎に転移性骨腫瘍が認められる。当院のルーチンでは、T1強調像、T2強調像、STIR画像の矢状断を撮像するが、IDEALではin-phase画像と水画像が同時に撮像できるので、検査時間が少し短くなる。HNSコイルの脊椎画像も、非常に高精細に撮像でき満足している。

図7 転移性骨腫瘍 a:T1 FLAIR 矢状断像 b:IDEAL 水画像 c:IDEAL FSE T2強調像
図7 転移性骨腫瘍
a:T1 FLAIR 矢状断像
b:IDEAL 水画像
c:IDEAL FSE T2強調像

▲ページトップへ

s まとめ

 誌幅の関係上、腰椎の画像を提示できないが、問題なく撮像できている。したがって、1日のルーチン撮像では、HNSコイルがあれば、ほとんど対応することが可能である。冒頭で触れたように、いわゆる飛び込み検査が多くなってきているため、HNSコイルおよびSigna HDxtのIDEAL、Cubeのアプリケーション群は非常に有用であり、実際に当院のMRIの運用方法を大きく変化させてきている。今後はさらなる画質向上、運用改善のため、撮像プロトコールを見直す予定である。


▲ページトップへ

GE社のMRIについてはこちらをご参照ください。

●お問い合わせ先
GEヘルスケア・ジャパン株式会社
(2009年8月1日より社名が変更になりました)
〒191-8503 東京都日野市旭が丘4-7-127 TEL 0120-202-021(カスタマー・コールセンター)
http://www.gehealthcare.co.jp