Discovery CT 750HDの体幹部ストリークアーチファクトに対する高分解能撮影の有用性  東京大学医学部附属病院放射線部 中田 健太 / 井野 賢司 / 長谷川浩章 / 美馬和男

TOPに戻る

 当院では、2008年末より「Discovery CT 750 HD」(以下、HDCT)が導入された。HDCTが従来のCTと大きく異なる点は、検出器素材にガーネットを利用した“Gemstone”検出器が搭載されている点である。この検出器の発光スピードは、一般的な検出器素材のGOS(ガドリニウムオキシ硫化物)の100倍以上であり、時間分解能が大幅に向上している。これにより、データ収集を短時間化し、view数を増加(2496views:従来の2.5倍)させることによって、被検体の詳細なサンプリングが可能となった。空間分解能、密度分解能が向上(画像辺縁での効果大)するとともに、メタルアーチファクト、ブルーミングアーチファクトなどが軽減されている。また、Gemstone Spectral Imaging(dual energy検査)や、500ch相当画像が収集可能なVolume Helical Shuttleを可能にしている。本稿では、従来よりも改良されたHDCTの操作系の説明とストリークアーチファクトの改善について述べる。

東京大学医学部附属病院放射線部
中田 健太 / 井野 賢司 / 長谷川浩章 / 美馬和男


s Discovery CT750 HDの操作性

 従来のGE社製CTでは、画像を後再構成する場合、再構成領域(DFOV)が表示されないため、グリッドを用いてDFOVの中心やサイズを計測し、入力するという作業が必要であった。しかし、HDCTでは、画像にDFOVの領域が表示され、そのROIによって中心や径を設定することが可能となった。また、NextSeries撮影時において、事前の撮影と同様の撮影範囲、条件を反映するか否かの設定が可能になった。ShowRecon 2、3の設定においても、ShowRecon1と同様の再構成条件を反映するか否かの設定が可能になった。パラメータは個々に設定が可能なため、スライス厚は変更し範囲は反映させるなど、フレキシブルに活用できる。これらによって、ターゲット再構成や、肝臓ダイナミック検査などの再構成条件入力の煩わしさがなくなっている。また、オート転送と併用し、ShowRecon1はPACSへ、ShowRecon2はワークステーションへというようにプロトコールを設定することで、日常のワークフローも格段に向上している。
  さらには、Smart Prepにおいてオートボイスの設定がようやく可能となった。マニュアルでの合図では、患者様が聞き取れないなどのトラブルの可能性もあり、積極的に用いるには二の足を踏んでいたが、HDCTでは症例によって、オートボイスのOn/Off を使い分けることが可能になっている。

▲ページトップへ

s ストリークアーチファクトの評価

 従来のMDCTでは、撮影位置がオフセンターになる四肢領域や線量不足の部位において、ストリークアーチファクトの発生が顕著に見られた。そこで、検出器性能が向上したHDCTと既存のGE社製MDCT「LightSpeed VCT」(以下、VCT)におけるストリークアーチファクトの軽減を主眼に評価を行ったので報告する。図1に、HDCTとVCTのアーチファクトの比較を示す。視覚的な比較において、HDCTのHires撮影された人体ファントム冠状断画像は、VCTと比べてストリークアーチファクトが少ないことが一目瞭然にわかる。そこで、ストリークアーチファクトの軽減について数値的な評価を試みた。

図1  人体ファントムのMPR画像における視覚的な比較 アーチファクトを目立たせるために低線量、オフセンター領域で撮影。
図1  人体ファントムのMPR画像における視覚的な比較
アーチファクトを目立たせるために低線量、オフセンター領域で 撮影。

 HDCTとVCTを用い、ストリークアーチファクトの評価として自作ファントムを撮影した。自作ファントムは、CT値が約500HUになるように希釈した造影剤を350mLのペットボトルに入れて、装置付属の水ファントム(直径20cm)の両端に装着した(図2)。撮影条件は、120kV、100mA、0.5s、5mmスライス厚、DFOV 250mmにて、コンベンショナルスキャンを5 回行った。HDCTについてはnormal撮影、Hires撮影をそれぞれ行った。

図2  ストリークアーチファクト評価用の自作ファントム
図2  ストリークアーチファクト評価用の自作ファントム

 バックグラウンド領域とストリーク領域に円形のROIを設定し、ストリーク領域のROIの標準偏差をバックグラウンドの標準偏差で除した値をartifact indexと定義し、ストリークアーチファクト評価に用いた(図3)。

図3 artifact indexの定義
図3 artifact indexの定義

 図4に、HDCTとVCTで自作ファントムを撮影したときのストリークアーチファクトを示す。HDCTでは、アーチファクトの方向性を示す成分が少なく観察される。

図4 ストリークアーチファクト画像
図4 ストリークアーチファクト画像

 次に、artifact indexによる評価結果を示す(図5)。HDCTでは、VCTに比べてartifact indexが小さい。また、Hires撮影をすることにより、artifact indexが改善された。HDCTのartifact indexが良好な理由としては、検出器の素材・特性が異なるためと考えられる。また、Hires撮影することによりnormal撮影よりartifact indexが良好であった理由として、view数の増加によって撮影対象を詳細にサンプリングしているためと考えられる。

図5 artifact indexによる評価結果
図5 artifact indexによる評価結果

 肩関節病変、上腕骨骨折、股関節、腕おろし体幹部撮影など、ストリークアーチファクトの発生しやすい条件下において、HDCTはアーチファクトの影響が軽減され、画質が向上し、有用性のある装置であることが確認できた。図6、7に、HDCTが有用であった症例画像を提示する。

図6 上腕骨頭骨折症例 a:MPR冠状断像 b:VR像
図6 上腕骨頭骨折症例 a:MPR冠状断像 b:VR像
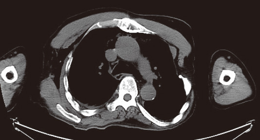
図7 腕おろし体幹部症例 両腕挙上が不可能な方の胸部撮影
図7  腕おろし体幹部症例 両腕挙上が不可能な方の胸部撮影

▲ページトップへ

s まとめ

 HDCTの操作性の向上は、検査の的確性と効率の向上をもたらした。また、HDCTは新素材検出器の搭載により、従来のCTと比較してストリークアーチファクトが軽減されることが確認できた。HDCTには、本稿で述べた特長以外にも、画質向上のための機能が搭載され、それらについても今後検証していきたい。

▲ページトップへ

GE社のMDCTについてはこちらをご参照ください。

●お問い合わせ先
GEヘルスケア・ジャパン株式会社
(2009年8月1日より社名が変更になりました)
〒191-8503 東京都日野市旭が丘4-7-127 TEL 0120-202-021(カスタマー・コールセンター)
http://www.gehealthcare.co.jp