第83回日本超音波医学会ランチョンセミナー6

healthymagination series

超音波“Innovation” 診断から治療までの最新動向 ―コントラスト・3D・HIFU―

日本超音波医学会第83回学術集会が5月29日(土)〜31日(月)の3日間,国立京都国際会館にて開催された。GEヘルスケア・ジャパン共催のランチョンセミナー6では,東京医科大学消化器内科主任教授の森安史典氏が「超音波“Innovation”診断から治療までの最新動向―コントラスト・3D・HIFU―」と題して講演し,HIFUの臨床的有用性と,より安全・正確に治療を行うための超音波診断装置の最新技術などについて述べた。

森安 史典
東京医科大学消化器内科主任教授

  森安 史典
森安 史典
東京医科大学消化器内科主任教授 1975年京都大学医学部医学科卒業後,同大学医学部内科学にて研究に従事。財団法人倉敷中央病院,財団法人天理よろづ相談所病院,京都大学医学部内科学第一内科助手,同大学院医学研究科消化器病態学講座助教授などを経て,2000年東京医科大学内科学第四講座主任教授。2007年から東京薬科大学薬学部客員教授を兼務。

超音波においては近年,診断はもとより治療の重要性がますます高まっている。なかでも,高密度焦点式超音波治療法(High Intensity Focused Ultrasound:HIFU)は,非侵襲的に施行でき,局所療法が非適応となる症例においても高い治療効果を得ることができる。本講演では,HIFUの原理や治療の実際,治療評価に有用な3D超音波などについて述べる。


s 超音波ガイド下HIFUのメリット

HIFU治療装置は最初に,経直腸による前立腺治療目的に開発され,その後,強力な集束超音波による体外からの治療が試みられるようになり,現在,4社の装置が臨床使用されている。装置の種類には,MRI診断装置の寝台にHIFUが組み込まれているものや,超音波ガイド下にHIFU治療を行うものがあるが,当院では超音波ガイド下に治療を行う「FEP-BY02 HIFU Tumor Therapy System」(以下,FEP-BY02 HIFU,China Medical Technologies社製)を使用している(図1)。
MRIガイド下にHIFU治療を行うメリットは,温度モニタによりリアルタイムに焦点温度を測定しながら治療を行える点であるが,一方,治療部位をリアルタイムに観察できない,空間分解能が低い,治療中はMRIを占有するためコストがかかる,といった点がデメリットとなる。それに対し超音波では,病変部をリアルタイムに観察可能,空間分解能が高い,造影超音波による治療後の評価が可能,低コストで施行可能,などの点が大きなメリットとなる。また,動きのある腹部臓器においては,リアルタイムに治療部位を観察できない状況下では,安全かつ正確な治療を行うのは困難なことから,超音波ガイド下で治療を行うのが正しい方向性であると考えている。

図1 当院で使用しているHIFU治療装置
図1 当院で使用しているHIFU治療装置

▲ページトップへ

s HIFUの原理

HIFUの原理は,超音波を焦点領域に集束させて,熱エネルギーおよびキャビテーションの作用により組織を壊死させるというものである。当院のFEP-BY02 HIFUのトランスデューサーは,37cmの球面体に1.1MHzの251個の超音波発信素子が並び,それらが1点に集束した固定焦点となっている。1回の照射で焼灼される範囲は,3mm×3mm×10mmときわめて小さい。そのため,ターゲットが皮膚から近い臓器の場合,皮膚におけるエネルギー密度が高くなり,皮膚温が上昇してやけどにつながることから,FEP-BY02 HIFUでは大口径のトランスデューサーを採用し,入射角を80°と広くしている。
また,FEP-BY02 HIFUでは,2つのトランスデューサーによって上下どちらからでも照射可能だが,ほかの3社の装置は下からの照射のみとなっている。一方,肝がんや膵がんの場合は,下からの照射では位置決めが困難で正確な治療が行えず,治療に時間がかかるため,約99%は上から照射が行われている。


▲ページトップへ

s 超音波の生体作用とHIFU効果のメカニズム

日本超音波医学会のホームページに掲載されている『超音波診断装置の安全性に関する資料』を見ると,HIFUのエネルギーレベルはイメージング用超音波装置の103倍程度であるが,陽子線やX線CTなどと比べるときわめて低く,比較的安全性が高いと言える。また,超音波の生体作用については同資料に,熱的作用(加熱作用)と非熱的作用の 2つが紹介されている。
加熱作用とは,超音波が伝搬する際に,散乱あるいは吸収されて超音波エネルギーが熱エネルギーに変換されるが,その際,強い散乱を起こすような病変があると,そこに強い熱が発生するという働きである。超音波の生体作用は,照射強度×時間に線形性に相関しており,ある一定のしきい値を超えると生体作用が引き起こされ,それを超えると治療効果が向上する。HIFUで推奨されている焦点温度は55℃以上,照射時間は15秒であるが,実際には焦点温度60℃以上での数秒間の照射で組織の凝固壊死を得ることができる。
また,超音波の放射圧や振動によって,主にキャビテーションを原因とする非熱的作用も引き起こされる。キャビテーションとは,液体に強い振幅を与えると真空(気泡)が生じる現象で,それが徐々に成長してはじける際に,細胞膜の破壊や毛細血管の破綻などの組織障害,細胞障害をもたらす。つまり,HIFU治療にあたっては,加熱作用だけでなく,非熱的作用にも留意する必要がある。

▲ページトップへ

s HIFU治療の適応

HIFU治療の適応は,肝がん,腎がん,膵がん,前立腺がん,膀胱がん,軟部組織の肉腫といった悪性腫瘍のほか,血栓溶解,腫瘍や出血の治療のための動脈閉塞,血管や臓器出血の止血などとなっている。また近年では,薬剤・遺伝子のDDS(drug delivery system)や薬剤浸透にも用いられている。

▲ページトップへ

s 肝がんのHIFU治療

肝がんの治療は,外科手術のほか,肝動脈塞栓術(TAE)や肝動脈化学塞栓術(TACE),経皮的肝アルコール注入療法(PEIT),ラジオ波焼灼療法(RFA)などの局所治療が中心となるが,最近では冷凍療法や,陽子線治療および重粒子線治療なども注目を集めている。こうした中におけるHIFUの位置づけと,これから果たすべき役割について述べる。

1.肝がんのHIFU治療の実際
当院のFEP-BY02 HIFUは,2つのトランスデューサーを搭載した照射装置と,GE社製の超音波診断装置,治療のプランニングや照射の制御を行うワークステーションで構成されている(図1)。照射装置の中央に搭載された超音波プローブでターゲットを確認し,コントロールパネルで照射時間と照射回数を制御しながら治療を行う。照射方法には間歇照射と連続照射があり,照射時間が長くなれば組織の変化は広く,かつ強くなるため,ターゲット周辺の障害,特に皮膚のやけどなどを勘案し,患者さんに痛みの有無を確認しながら出力と時間を調整していく。HIFUはきわめて低侵襲で,数回に分けて治療可能なため,外来で通院治療を行うこともできる。

2.症例提示
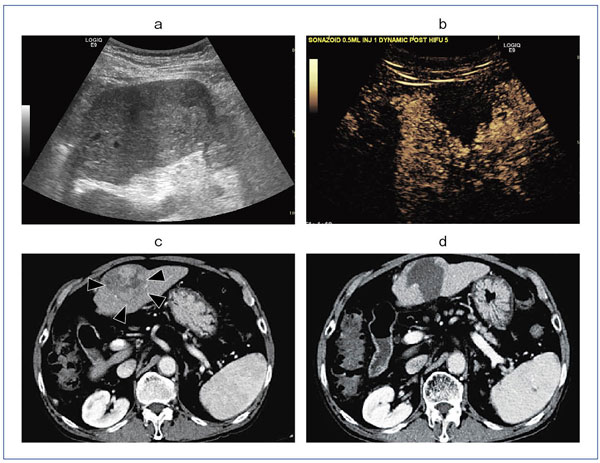
症例1(図2)は,約5cmの比較的大きな肝細胞がん(HCC)で,寝台を3mmピッチで動かしながら,腫瘍全体を焼灼した。HIFU治療は病変の大きさにより,1〜3日に分割して治療する。その日の焼灼の評価および翌日の焼灼予定範囲をより正確に確認するために,HIFU治療後,ソナゾイド造影超音波を施行する。Kupffer image(図2 b)では,焼灼領域がdefect像として描出されるほか,vascular imageでは残存血流の有無を確認することができる。治療後の評価はCTで行うことも可能だが(図2 c,d),造影超音波を用いれば,治療から効果判定までを超音波だけですませることが可能となる。
このほかHIFUでは,腹水のある症例や,周辺に胃や腸がある肝がんやHCC門脈腫瘍栓の症例など,従来の局所治療や手術ではリスクの高い症例でも,安全に治療を行うことができる。

図2 症例1:約5cmの比較的大きなHCC
図2 症例1:約5cmの比較的大きなHCC
a:HIFU治療前の超音波画像
b:HIFU治療後のソナゾイド造影超音波画像(Kupffer image)
c:HIFU前CT画像
d:HIFU後CT画像
 
3.肝がんに対するHIFU治療の意義
近年,Gd-EOB-DTPA造影MRIの登場により,ダイナミックCTで血流の変化がほとんど認められない,ごく早期の高分化型HCCが多く見つかるようになり,その対応が模索されている。そんな中,HIFUでは1〜2cmのHCCであれば,入院することなく1時間程度の照射で治癒することが可能なことから,わが国においては今後,早期HCC治療のひとつの重要な手段になると考えている。

▲ページトップへ

s 膵がんのHIFU治療の現状

膵がんは,治療成績がいまだ5%未満のきわめて難治性のがんである。しかし,HIFU治療を行うと,消失しないまでも,がんが線維性の組織に置き換わり,症例によっては1年以上の局所制御が可能である。 膵がんのHIFU治療は中国で盛んに研究されており,その報告によると,除痛効果が80〜90%と高いことが大きな特長として挙げられる。加えて,腸間膜根部の神経叢への浸潤がHIFU治療されると,PS(performance status)が改善し,化学療法が強力に行えるようになる。そのため,中国や韓国では,最終的にはジェムザールとHIFUを用いた延命効果を目標に研究が進められている。

▲ページトップへ

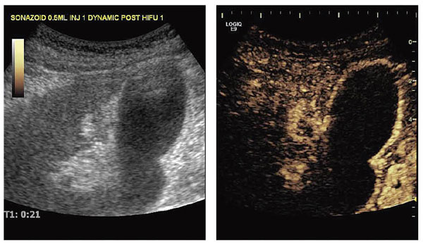
s HIFU治療効果の評価

局所治療,特に肝がんの場合は,そのつど正確に評価しながら治療を行うことが重要である。症例2(図3)は,胆嚢近傍の小さな肝がんに対するHIFU治療後のソナゾイド造影超音波による評価だが,高輝度な病変に対して造影を行うと,ティシューハーモニックによって結節が染まったのかどうかがわからないことがある。これは重要な問題で,造影超音波を従来の位相変調法ではなく,組織からのティシューハーモニック信号を低減できる振幅変調法で行うことが,最近では求められている。特に,治療後の病変においては,高輝度な領域における治療効果が重要なことから,組織の信号がまったくない状態から造影する必要がある。

図3 症例2:胆嚢近傍に発生した小さな肝がん
図3 症例2:胆嚢近傍に発生した小さな肝がん
HIFU治療後のソナゾイド造影超音波画像。振幅変調法によるハーモニックモードでは,高エコーに変化した治療域の造影効果を正しく評価できる。

▲ページトップへ

s 3D超音波の重要性

近年,超音波においてもボリュームデータの重要性がますます高まっており,特に,治療後の評価においては,ボリュームデータが収集可能な超音波診断装置が必須となりつつある。当院で使用している「LOGIQ E9」(GE社製)の“Volume Navigation”というソフトウエアには,磁気センサーを用いて正確な3D情報が取得できる“Tru3D”のほか,“Fusion”,“GPS”という3つの機能が搭載されている。
Fusionでは,CTやMRIなどの過去のボリュームデータとリアルタイムの2Dの超音波画像を同一画面上に表示し,位置合わせをしながら比較読影をすることが可能で,例えば,ソナゾイド造影超音波の治療前のKupffer imageのボリュームデータと現在のRe-injection画像とを並べて表示し,位置合わせをすることで,defect像の中の血流の残存がより正確に確認でき(図4),治療計画や治療の穿刺ガイドに有用である。
また,GPSは,正確な三次元情報を元にマーキングした位置を,常にトラッキングしてナビゲーションする機能である。図5は,bが過去のCT画像,aが現在のソナゾイド造影超音波画像だが,ターゲットの中心が+で表示され,また,マージンをとる位置が□で表示されている。この□の大きさは,マークした位置から離れるほど大きくなるため,企図したマージンと実際の焼灼位置との関係がわかりやすく,三次元的なセーフティマージンの評価が可能で,追加治療にも有用である。

図4 Volume NavigationのFusion機能
図4 Volume NavigationのFusion機能
ソナゾイド造影超音波の治療前のKupffer image(b)と,現在のRe-injection画像(a)。→が残存部位。
図5 Volume NavigationのGPS機能
図5 Volume NavigationのGPS機能

▲ページトップへ

s まとめ

HIFUは,肝がん,膵がんなどの悪性腫瘍の治療法として,今後,重要な治療手段となりうるものである。その目的は,より正確で安全な局所治療の実現であるが,今後,さらに高度で緻密な診断および治療を行うためには,肝がん治療で高い実績を誇る日本が主導し,超音波治療装置の技術と診療技術を向上させていく必要がある。特に近年では,診療や局所治療のガイドのための超音波画像はボリュームデータであることが必須となりつつあり,そうした技術をさらに発展させていくことが求められている。

▲ページトップへ

GE社の超音波についてはこちらをご参照ください。

●お問い合わせ先
GEヘルスケア・ジャパン株式会社
〒191-8503 東京都日野市旭が丘4-7-127 TEL 0120-202-021(カスタマー・コールセンター)
http://www.gehealthcare.co.jp