GEヘルスケア・ジャパン

healthymagination series 2011
Advanced Report No.3

日本超音波医学会第84回学術集会お昼の勉強会6

大きな超音波,小さな超音波

石田秀明
秋田赤十字病院消化器科部長

石田秀明 1973年東北大学医学部卒業。同年,同医学部第3内科入局。1979年秋田大学第一内科入局。2000年より秋田赤十字病院に勤務し,同年より現職。

5月27日(金)〜29日(日)の3日間,グランドプリンスホテル新高輪(東京・港区)において,日本超音波医学会第84回学術集会が開催された。28日(土)に行われたGEヘルスケア・ジャパン社共催のお昼の勉強会6では,秋田赤十字病院消化器科部長の石田秀明氏が,「大きな超音波,小さな超音波」と題して講演し,ハイエンド装置と携帯型超音波装置のそれぞれの特徴と有用性について述べた。


コンピュータ技術の進歩に伴い,それを基にした多種多様な応用技術が超音波診断の場にも登場している。本講演では,大きな超音波(ハイエンド装置)と小さな超音波(携帯型超音波装置)をテーマに,当院で使用しているGE社製汎用型ハイエンド装置「LOGIQ E9」と携帯型超音波装置「Vscan」を例に挙げながら,それぞれの特徴と具体的な活用法などについて述べる。

■大きな超音波(図1〜4)

ハイエンド装置とは,基盤となる性能が非常に優れており,その時代において頂点に位置付けられ,多種多様な応用が可能な装置と考えている。具体的には,ナビゲーションシステムが搭載されており,組織弾性計測が可能なこと,造影法に応用可能なこと,3D表示が可能なことなどが挙げられる。

図1 Volume Navigation
図1 Volume Navigation

●ナビゲーションシステム Volume Navigation
ナビゲーションシステムは,多くの場合,磁場発生装置とセンサーが搭載されており,センサーで位置情報を得ることができる。LOGIQ E9の“Volume Navigation"の場合,Position Sensor Unitにトランスミッターと2つのセンサーをつなぎ,センサーをプローブ・ブラケットに装着して空間的な位置情報を把握する。最近では,CT画像と超音波画像を同期させて表示する機能も登場しているが,超音波画像同士を同期させることで得られる利点も多い。
日常の超音波検査においては,病変の検出や,病変位置の特定,病変の同定などを行わなければならず,十分な技量を伴わない医師は不安も多いと思われる。しかし,ナビゲーションシステムによって,それらの不安をある程度解消することができる。例えば,LOGIQ E9のVolume NavigationにはGPS機能が搭載されており,超音波画像上に四角いマスが表示され,関心領域に近づくと小さく,遠ざかると大きく表示される(図1)。これにより,臓器や病変の同定がより容易となる。腹部領域においては,特に脈管系と肝区域が同定しづらいが,ナビゲーションシステムはその点でも有用である。
腹部超音波検査におけるナビゲーションの意義としては,大きな臓器である肝臓において,特にS4のオリエンテーション(解剖学的位置認識)がつけやすくなること,S8を観察する際の肋間走査において,どの程度プローブを傾けるか,回転させるかが合理的に理解できること,S6とS7の観察に最適な走査面をしっかり認識できることが挙げられる。これにより,より適切な穿刺や造影が可能となる。

●Amplitude Modulation
LOGIQ E9には,造影検査に有用な機能として,基本波を用いた“Amplitude Modulation"が搭載されている(図2)。組織からの信号の抑制が可能で浅部と深部の染影に強く,プローブの基本帯域は基本波をカバーすれば足りるため,高周波プローブによる造影が容易という特長を持つ。
図3は原発性肝細胞がんである。造影するとAmplitude Modulation(図3 b)では背景肝が消え,不規則な血管が明瞭に見えてくる。大変説得力のある画像と言える。

図2 Amplitude Modulationの原理
図2 Amplitude Modulationの原理
図3 Amplitude Modulationによる原発性肝細胞がんの描出
図3 Amplitude Modulationによる原発性肝細胞がんの描出

●Volume Review
近年では,腹部造影超音波検査にも3D画像が活用されつつあるが,実際の診断に用いられるのは,3Dプローブの自動走査にて得られたraw dataを加工したものであり,その基盤となる自動走査中に得られた多数枚の画像そのものではない。しかし,この多数枚の画像は短時間に,しかも等間隔で得られることから,関心領域をまんべんなくチェックするために有用と期待されている。
LOGIQ E9には,この多数枚の画像を即時にモニタ上に表示し,コマ送りのようなスロー再生や静止,巻き戻しなどが自由に行える機能“Volume Review"が搭載されている。画質が若干劣化するものの,3D再構成前の途中経過が容易に観察可能で,特に動画に慣れた若い研修医の教育に有用であると考えている。

図4 PMGによる熟練者と非熟練者のプローブ走査手技の比較
図4 PMGによる熟練者と非熟練者のプローブ走査手技の比較

●3D法
3Dプローブにはさまざまな種類があるが,一般的には中にモーターの入ったプローブを機械的に振って撮像する。また,マルチスライスビュー(Tomographic Ultrasound Imaging:TUI)は,CTやMRIのようにボリュームデータを用いて数mm間隔で多断面表示する手法であり,A-plane,B-plane,C-planeの3方向から腫瘍内のスライスごとの情報を得ることができる。例えば,肝門部の周辺を走査すると血管や拡張胆管は無エコーとして描出されるが,無エコー部をすべてつなぎ合わせて立体的に表示する方法をInversion法と呼ぶ。血管や拡張胆管などの管腔構造の全体像を容易に得ることが可能で,描出の仕方によっては嚢胞や血管,胆管の区別がつけやすくなる。この手法が普及すれば,MR胆管膵管撮像(MRCP)のように,超音波診断においてもInversion法の検査依頼が行われ,電子カルテ端末などに表示して参照する時代になると期待している。
一方,3D表示にも問題点がある。
1つ目は,病変部の多断面表示によって全体像の認識は深まるが,情報量が膨大となる点である。このため,得られた膨大な情報の交通整理能力が求められる。2つ目に,熟練者と非熟練者では,プローブ走査の手技に大きな差があることが挙げられる。実際に,Probe Movement Graphic(PMG)によって熟練者と非熟練者によるプローブの走査手技を比較すると,上下運動,肋間での回転走査,肋弓下でのあおり走査のいずれにおいても,熟練者はプローブの高さや移動間隔が一定であったのに対し,非熟練者では安定した走査が行えていなかった(図4)。このため,走査のトレーニングは必須である。

●大きな超音波のまとめ
超音波診断においては,新技術の登場によって診断能は向上するが,十分な効果を得るためには,各技術に対する正しい認識と徹底したトレーニングが必要であると言える。

■小さな超音波(図5〜11)

図5 Vscan
図5 Vscan

携帯型超音波装置とは,基本性能のみを残し,可能な限り小型化した装置である。当院では,GE社製のVscan(図5)を日常診療で活用しているが,Vscanを導入した目的は,主に往診時の医師の不安解消であった。往診時の診断は従来,手の感覚や目視から得る情報,経験などに頼らざるを得ず,採血の検査項目の決定や,患者さんの重症度をより正確に測るために役立つ科学的なツール,画像診断という“もう一つの目"が求められていた。

●ベッドサイドで使用する装置の条件
画像診断装置には,単純X線装置,CT,MRI,超音波診断装置などがあるが,この中で往診に使用可能なのは,超音波診断装置だけである。最適な装置の条件としては,超小型かつ超軽量であること,操作がシンプルなこと,画質が良好なこと,そして,できれば血流情報が得られることなどが挙げられる。
また,超音波診断装置にはサイズ,性能面でさまざまな種類があるが,状況に応じて使い分けることが重要である。例えば専門病院や拠点病院であれば,最上位機種をセンターに設置し,外来に普及機,各病棟各階にBook型装置,救急にVscanを設置するという運用が考えられる。Vscanはポケットに入れて持ち運べるため,往診や救急での活用も可能である。外来やナースセンターなどに設置することも可能なため,近未来の医療では,Vscanのような超小型装置を院内各所に複数台設置して,フレキシブルに活用できるようになると考えている。

●Vscanの活用法
Vscanは,ディスプレイを開くだけで起動し,約10秒で検査可能となり,フタを閉じると電源がオフになる。携帯電話と同じ要領で操作可能であり,ここまで簡略化されているところがVscanの優れた点である。コントロールキーの中央のボタンでは,画像の静止と静止解除が可能であり,十字キーを操作することで視野の深さを変えることもできる。Vscanのプローブはセクタ型のみで,MI(mechanical index)値がやや低いため,超音波ゼリーを通常よりも多めに使用し,プローブの移動は平行移動と扇状の回転移動にて行う。スキャンモードは2Dモード(Bモード)とカラードプラモードが搭載されている。カラードプラ機能では,カラー感度を向上するために観察可能領域がカーソル内に限定されているため,血流を確認する際にはドプラカーソルを画面中心に固定し,視野深度を変えて目的領域をカーソル内に移動させるようにするのがポイントである。また,単一色の線が静脈,多色の線が動脈を表しているが,血流波形は得られないため,色で大まかな判別を行う。

●日常臨床における症例提示
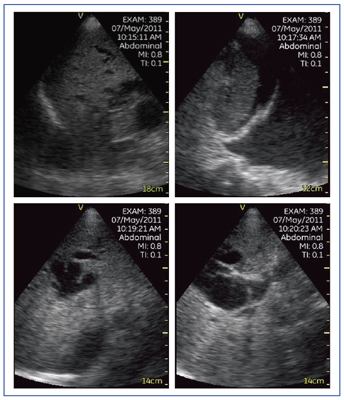
図6は,肝硬変で門脈に血栓があり,門脈内に血流がないことが認められた症例である。Vscanのモニタは小さいが高画質であり,医師自身の観察力を高めることで,より多くの情報を得ることが可能となる。
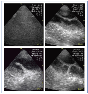
図7は,原発性肝細胞がん破裂例である。Vscanでは,浅部の描出をやや苦手としているため,本症例においても図7 aでは腹水内の血液が点状エコーとして描出されていない。しかし,視野の中心に対象が来るようにプローブを走査し,プローブと腹水の間の距離を十分に保つことで,より細かい観察が可能となる(図7 b)。

図6 症例1:肝硬変+門脈血栓
図6 症例1:肝硬変+門脈血栓
図7 症例2:原発性肝細胞がん破裂
図7 症例2:原発性肝細胞がん破裂

●救急時・往診における代表的例
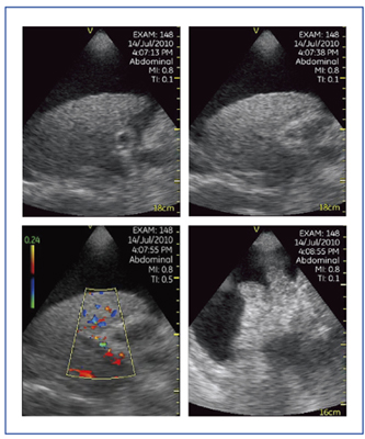
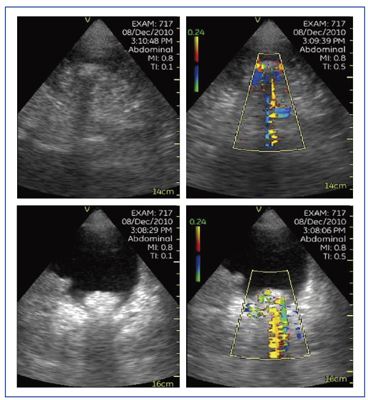
救急時における代表的な症例として,腎結石,腸閉塞,肝膿瘍を挙げることができる(図8〜10)。腸閉塞症例は,ハイエンド装置にて内容液と腹水が認められた。Vscanで検査を行う際のポイントは,静止画に加えて必ず動画を記録することである。動画によって腹水の動きが観察可能である(図9)。
図11は,往診時にVscanにて胆管がんが発見できた症例である。患者は高齢で症状はほとんど認められなかったが,胆管がんと,それに伴う胆管の拡張が認められた。このように,往診の場でも従来より一歩進んだ診断が可能になれば,今後の治療方針などについてもその場で家族と相談することができる。高齢者の場合,自分の症状をうまく伝えることが難しく,症状が出づらい上,血液検査でも疾患が検出されない場合があるが,そのような場合でも病変の見落としや判断ミスの防止につながる。

図8 症例3:腎結石
図8 症例3:腎結石
図9 症例4:腸閉塞
図9 症例4:腸閉塞
図10 症例5:肝膿瘍
図10 症例5:肝膿瘍
図11 症例6:胆管がん
図11 症例6:胆管がん

●小さな超音波のまとめ
超小型超音波装置Vscanを用いることで,従来にない手のひらサイズの科学の目を有することが可能となった。Vscanの応用範囲はきわめて多彩で,往診,在宅医療での超音波診断が容易に可能となり,救急医療における医療の質の向上にもつながっている。さらに,外来診察の場で腹部用の聴診器として活用できるほか,入院患者のこまめなチェックツールとしても使用できる。
一方,Vscanの診断能は,他の超音波装置と同様に施行者の能力に依存するため,日頃から超音波診断に親しんでおくことが重要である。

■まとめ

大きな超音波と小さな超音波は,それぞれ役割が異なっており,状況に応じた使い分けが必要である。各装置の特性を理解した上で,豊かな超音波診断を行うことが大事である。

モダリティEXPOへ

Advaned Report一覧へ

▲ページトップへ