ホーム
inNavi Suite
GEヘルスケア・ジャパン
Advanced Report
第71回日本医学放射線学会総会 ランチョンセミナー14 新世代マルチドライブ3T-MRが開くImagingの新たなとびら 〜GE Discovery MR750w 3.0Tの初期使用経験と将来展望〜 聖路加国際病院放射線科 植田 琢也
healthymagination series 2012
Advanced Report No.4
第71回日本医学放射線学会総会 ランチョンセミナー14
新世代マルチドライブ3T-MRが開くImagingの新たなとびら
〜GE Discovery MR750w 3.0Tの初期使用経験と将来展望〜

JRC2012の14日(土)には,第71回日本医学放射線学会総会ランチョンセミナー14(GEヘルスケア・ジャパン共催)が企画された。「新世代マルチドライブ3T-MRが開くImagingの新たなとびら」というテーマで,近畿大学医学部放射線医学教室教授の村上卓道氏の司会により,聖路加国際病院放射線科の植田琢也氏が「GE Discovery MR750w 3.0Tの初期使用経験と将来展望」と題して講演した。
MRIはいま,新しい技術の開発と実機への搭載が進み,3T装置のブラッシュアップが急速に実現している変革期にある。当院では,2012年2月にGEヘルスケア社製3T MRIの最新最上位機種である「Discovery MR750w 3.0T」と「Optima MR450w 1.5T」を導入した。本講演では,3T MRIのBenefitsとDisadvantagesについて概説し,それらを踏まえた上で,Discovery MR750w 3.0Tの初期使用経験について報告する。
■3T MRIのBenefits
3T MRIの最大のBenefitは,SNRが高いということに尽きる。この高いSNRにより,分解能を上げる高解像度化,あるいは撮像時間の短縮が可能になる。さらに,(1) T1緩和時間が延長するため,心臓系ではSSFP法によるタギング画像の画質や造影効果の向上が見られる,(2) susceptibility effect(磁化率効果)が強く出るため,出血の検出やSWIには有利となる,(3) time-of flightの信号が減衰しないため,MRAでは末梢血管の描出能が向上する,Cchemical shiftが大きいため,MRSにはきわめて有利となる,などのBenefitsが挙げられる。
■3T MRIのDisadvantagesとその対策
一方,3T MRIのDisadvantagesも数多く存在する。それらは,(1) B0に起因する静磁場の乱れ,(2) B1に起因するRF磁場の不均一〔RF reflection(境界面での反射),wavelength effect(定常波による減衰反射),flip-angle misregistration〕,そして,(3) SARの大幅な増加,の3つに整理できる。
また,BenefitにもDisadvantageにもなるものとして,T1緩和時間の延長でSE法による脳白質のコントラストが低下すること,chemical shiftアーチファクトが顕著なためバンド幅を上げざるを得ず,SNRが下がること,magnetohydrodynamic effectによる心臓の渦状アーチファクト,などがある。
これらのDisadvantagesに対する対策として,(1)の静磁場の乱れについては,Discovery MR750w 3.0Tでも新設計の静磁場マグネットの搭載により,さらなる精度向上が試みられている。(2)のRF磁場(B1)の不均一の対策としては,誘電パットなどでRFの反射を減らしたり,新しいRFパルス送信技術(複数ポイントからのRF送信技術)の搭載が挙げられる。(3)のSARの増加については,B1の均一性を上げることや,flip angleを調整することでSAR低減が試みられている。
■Discovery MR750w 3.0Tの特長
Discovery MR750w 3.0Tにおいては,これまでの3T MRIのDisadvantagesを克服するためのさまざまな工夫が試みられている。また,撮像時の患者負担を軽減するべく,70cm径のワイドボアを採用している。従来のMRIに比べて,アーチファクトが圧倒的に少なく,DWIなどの画質が大きく向上している。Discovery MR750w 3.0Tには前述したような,3T MRIのDisadvantagesを解決する,新たな4つの技術が搭載されている。
●Wide-volume:B0のコントロール
70cm径のワイドボアを採用すると同時に,B0の均一化を図るためにコイルのチューニング精度を上げ,磁場均一性を実現している。
●iXYZ:グラディエント能力のコントロール
傾斜磁場アンプは3軸それぞれに独立した電源を用いることで,スルーレートが速くなった。TR/TEの短縮によりSNRが向上し,DWIの画質も向上する。また,Micro Imagingにおけるバンド幅にもメリットが出る。
●Optix:光転送によるノイズ低減
コイルで受信した信号をガントリ内でアナログ/デジタル変換し,光ファイバーでデジタル信号として転送する技術。外部からのノイズの影響を受けずにノイズ低減が図れるため,信号の劣化がなく,SNRの向上が実現する。また,RFコイルのチャンネル数の拡張も容易になる。
●Multi-drive:進化した4-point-drive
前身のDiscovery MR750の4-point-driveを進化させて,位相比や振幅比をコントロールできる機能を強化したのがMulti-driveである。4-point-driveでは,送信用ボディコイルの給電点を4つにして浮遊容量による電流のロスを低減し,送信RFの均一性を向上させている。Multi-driveでは,さらに2×2対のRF送信の位相・振幅を別々にコントロールすることで,患者の体格に合わせたB1マップの送信をコントロールすることが可能になり,これによって,特に体幹部における画像の感度ムラやコントラストの低下を防ぎ,撮像範囲を選ばない高画質化が可能となった。
■症例供覧
Discovery MR750w 3.0Tを導入してから2か月間で撮像した画像の中から,代表的なものを供覧する。
●脳神経系(図1)
3T MRIでは,脳神経系の有用性はすでに確立されているが,Discovery MR750w 3.0T はDWIの画質向上が著しい。非造影のパフュージョン画像である3D ASLも高いSNRを保った撮像が可能である。また,アイソトロピックな3D FSE撮像法である"Cube"におけるT1強調画像が可能で,腫瘍の転移検索に有用と考える。

図1 arteriovenous malformation
a:SWI,b:FLAIR, c:3D ASL(スキャン時間2分37秒)
●骨軟部系(図2)
上下方向に歪みのない,良好な画像が撮像できる。

図2 経皮的椎体形成術後の圧迫骨折
a:T1強調画像 (サジタル画像,スキャン時間2分25秒)
b:T2強調画像 (IDEAL,FatSAT,スキャン時間3分18秒)
c:T2強調画像 (アキシャル画像,スキャン時間2分26秒)
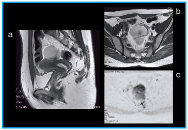
●体幹部(図3)
グラディエント能力の向上とB1のコントロールにより,DWIの画質が大きく向上した。体動補正技術である「PROPELLER」を用いることで,体幹部におけるT1強調画像や任意断面の撮像が可能になった。

図3 卵巣がん
a:T2強調画像 (PLOPELLAR,スキャン時間3分16秒)
b:T2強調画像 (アキシャル画像,スキャン時間2分20秒)
c:DWI(b値=1000,スキャン時間2分55秒)
●胸部(図4)
通常,3Tの乳腺MRIは歪みの影響を受けるが,Discovery MR750w 3.0Tでは従来の3Tに比べて,磁場の歪みの影響を受けにくくなっている。

図4 乳房の浸潤性腺管癌
a:VIBRANT (1.0mm/−0.5mm,スキャン時間1分1秒)
b,c:DWI(multi-b,スキャン時間2分54秒)
●心血管系(図5,6)
心血管系はまだコイルが納入されていないため,通常のBody用コイルにて仮運用を行っている。下肢の非造影MRAでは,狭窄例においてもある程度の臨床評価が可能であった。腎機能が悪く造影剤を使用できない患者に対しては,治療適応決定の際に非常に有効な方法であり,今後の発展に期待したい。また,心臓のMRIでは,従来よりもbandingアーチファクトが少ない印象がある。
![]() 図5 下肢の非造影MRA |
![]() 図6 心臓MRI(タギング画像) |
3T MRIのBenefitsとDisadvantagesを整理し,その解決策としてのDiscovery MR750w 3.0Tの特長を説明した。技術の発展がMRIにもたらす進化に期待し,これからの方向性に注目していきたい。
(インナービジョン誌 2012年6月号掲載)