ホーム
inNavi Suite
GEヘルスケア・ジャパン
Advanced Report
日本超音波医学会第85回学術集会 ランチョンセミナー13 新しいVolume Navigationによる肝癌治療支援 東京医科大学消化器内科 准教授 今井 康晴
healthymagination series 2012
Advanced Report No.5
日本超音波医学会第85回学術集会 ランチョンセミナー13
新しいVolume Navigationによる肝癌治療支援

日本超音波医学会第85回学術集会は,2012年5月25日(金)〜27日(日)の3日間,グランドプリンスホテル新高輪で開催された。27日に行われたGEヘルスケア・ジャパン共催のランチョンセミナー13では,森安史典氏(東京医科大学)を座長に「新しいVolume Navigationによる肝癌治療支援」をテーマとして,東京医科大学消化器内科准教授の今井康晴氏と昭和大学消化器・一般外科准教授の青木武士氏が講演を行った。
GEの「LOGIQ E9」では,CT,MRIなどの画像を読み込み,超音波画像と連動して同一画面上で観察が可能なVolume Navigation(V-Nav)が利用できる。V-Navには,Fusion,GPS,Tru3Dの機能があり,FusionではCT,MRI,USのボリュームデータとリアルタイムの超音波画像を同期させて検査が行える。GPSは,指示した座標点からの位置を,プローブのデュアルセンサー位置検出システムで計測し,超音波画像上に表示する技術である。Tru3Dは,超音波で3Dボリュームを収集し,さまざまな方向から観察が可能な機能である。
このV-Navの技術を応用して,穿刺やRFAなどの手技を支援する「Needle Tracking」および「Virtu TRAX」による肝癌治療支援について報告する。
■Needle Tracking機能
Needle Trackingは,針先にポジションセンサーを内蔵した生検用穿刺針である「シブコ eTRAXニードルシステム」とV-Navのテクニックをあわせて利用する。V-Navによって,針先のセンサーをモニタリングし,針の方向や位置を検出してライブ画像上に表示する。eTRAXは,先端に細径のポジションセンサーを内蔵した内筒針に外筒針を重ねた構造で,これを穿刺に使用する。
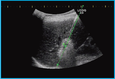
Needle Trackingでは,表示断面に沿って針先が常に見えるように穿刺するIn-Planeと,断面以外の場所から刺入し,超音波の走査断面と交差するように針を進めるOff-Planeの2つの方法がある。In-Planeの際のV-Navの表示は,緑のラインが穿刺の方向を示し,すでに穿刺が終わった部分は長い点線(ーー)で,これから穿刺される部分は短い点線(---)で表示される(図1)。Needle Trackingでは,“N”の文字が針のポジションセンサーの位置を示し,針先が表示断面上から外れると□が大きくなり,近づくと小さくなって,断面上では+表示になる。

図1 Needle TrackingのIn-Planeでのグラフィック表示
Off-Planeでは,針の刺入部(□)と延長線上の画像の底部と交差する位置(□)の四角が表示され,針先の現在位置(N),針と操作断面の交差位置(●)が二次元的にプロットされる。穿刺針の方向が緑のラインで示され,穿刺済みと進行方向の点線表示はIn-Planeと同様である。最初は断面から遠いため,Nの四角は大きいが,近づくにつれ小さくなり断面との交差点で+の表示に変わり,ライブ画像でも針先が確認できる(図2)。目的部位を針と断面の交点に一致するように設定すれば,Off-Planeの超音波ガイド下で正確な穿刺が可能になる。さらに,V-NavのFusionを用いて,CTなどの仮想画像をリアルタイムで表示することで,超音波の走査断面以外の血管走行などを確認して,安全な手技を行うことができる。

図2 Off-Plane Needle Trackingにおけるグラフィック表示の意味
Needle Trackingでは,より安定したフリーアングルでの穿刺を行うため,「シブコ UltraProe」を使用しているが,ファントムを使って,コンベックスプローブによるNeedle Trackingと,コンベックス,マイクロコンベックスプローブによる角度固定穿刺を比較した。角度固定穿刺ではプローブが傾いて死角が発生するが,Needle Trackingでは良好な画像で穿刺が行える。
図3は,UltraProeを用いたIn-Plane Needle Trackingによる肝生検だが,Needle Trackingによって適切な位置に穿刺できたかを確認し,eTRAXを抜去後,内筒を生検針に替えて生検を行った。

図3 UltraProeを用いたIn-Plane Needle Trackingによる肝生検
図4は,Off-Planeでの手技だが,肺を避けるため,アプローチする肋間を変えて穿刺を行った。穿刺断面の状態を把握するために,造影MRIの画像をFusionして血管などの位置を確認した。
Needle Trackingでは,針先の位置を確認しながらの穿刺が可能で,超音波ガイド下穿刺の安全性の向上が期待できる。課題としては,18G以上の穿刺針が使用できないこと,穿刺後にポジションセンサー(eTRAX)を抜いてしまうため,処置用の穿刺針を挿入後は針先の位置確認ができないことが挙げられる。

図4 Off-Plane Needle Trackingのライブ画像(a)と造影MRIとのFusionによるNeedle In Plane表示(b)
■Virtu TRAX
上記のNeedle Trackingの課題を解決するのがVirtu TRAXである。Virtu TRAXは,Cool-tip Needleなどの穿刺・治療器具の針の根元にポジションセンサーを取り付け,センサーから直角方向の針先までの距離を登録し,V-Navで針先の位置を認識する仕組みである(図5)。
画面の表示は,Needle Trackingと同様だが,Virtu TRAXでは,針が“V”の文字で表示される。CTやUSのボリュームデータとのFusionで,“Needle In Plane”として,Off-Planeでの穿刺で見えていない部分の穿刺断面を仮想画像で確認できるのも同様である。

図5 Virtu TRAXのシステム構成
Virtu TRAXについて,17GのCool-tip Needleを使ってファントムで穿刺を行ったが,実際の穿刺状況に追随していることが確認できた。ただし,刺入の際に力を入れて針がたわむと,ガイドと表示がずれることがある。針がまっすぐの状態であれば,バーチャルとライブ画像は一致するが,針がたわむと,センサーと刺入の方向がずれるためと考えられ,常に超音波画像を見ながら手技を行うことが重要である(図6)。

図6 Virtu TRAXによるRFA中の 針先モニタ(Cool-tip Needle)
Virtu TRAXによるRITA Model-90(14G)を使用したラジオ波焼灼療法(RFA)中の針先モニタでは,針先を確認しながら穿刺が進められ,針先の位置を画面上で把握しながら治療できる。さらに,MRIなどの3Dボリュームデータから再構成した仮想画像とのFusion
や,重ね合わせ(Overlay)表示によって,安全で確実な手技が行える(図7)。Virtu TRAXは,RFA中の針先のモニタリングに有効と考えられる。

図7 Virtu TRAXによるRFA中の針先モニタ(RITA Model-90)
a:Overlay,b:Fusion(US volume)
■Needle TrackingとVirtu TRAXの比較
Needle TrackingとVirtu TRAXでは器具の構造から,対応する針の太さがNeedle Trackingは18G以下,Virtu TRAXでは10〜17Gとなる。また,センサーの位置が,Needle Trackingは針先,Virtu TRAXは針にブラケットで固定した場所(根元)であり,例えばRFA中のリアルタイムなモニタリングなどはNeedle Trackingではできないが,Virtu TRAXでは可能となる。
このような新しい穿刺Navigationの用途としては,次のようなケースが考えられるが,絶対的な位置の把握ができるものではなく,場面に応じて選択することが必要である。
穿刺Navigationの2つのテクノロジーは,超音波ガイド下穿刺の安全性,確実性に貢献すると考える。今後の発展に期待したい。
(インナービジョン誌 2012年7月号掲載)