ホーム
inNavi Suite
GEヘルスケア・ジャパン
Advanced Report
第52回日本核医学会学術総会/第32回日本核医学技術学会総会学術大会 ランチョンセミナー9 SPECT/CT装置Discovery NM/CT 670の使用経験 ─ CTを用いる事の利点 中原 理紀(慶應義塾大学医学部放射線科学教室)
healthymagination series 2012
Advanced Report No.8
第52回日本核医学会学術総会/第32回日本核医学技術学会総会学術大会 ランチョンセミナー9
SPECT/CT装置Discovery NM/CT 670の使用経験
─CTを用いる事の利点

第52回日本核医学会学術総会/第32回日本核医学技術学会総会学術大会が,2012年10月11日(木)〜13日(土)の 3日間,ロイトン札幌にて開催された。12日に行われたGEヘルスケア・ジャパン共催のランチョンセミナー9「GE Molecular Imagingへの誘い」では,岡沢秀彦氏(福井大学高エネルギー医学研究センター/分子イメージング展開領域生体機能解析学部門)が座長を務め,慶應義塾大学医学部放射線科学教室の中原理紀氏と,The University of Pittsburgh School of MedicineのChester A. Mathis, Ph.D.による講演が行われた。ここでは,中原氏の講演内容を抜粋して掲載する。
当院は,年間約7000件のSPECT検査を行っているが,2012年8月に16列マルチスライスCT搭載型SPECT/CT装置「Discovery NM/CT 670 pro」2台とSPECT装置「Discovery NM630」を導入した。本講演では,SPECT/CTの使用経験,有用性について述べる。
■追加となるCT検査に見合うベネフィットを追究
核医学検査には,解剖学的情報の不足により,有用な機能情報を明確に伝えられないという欠点がある。核医学診断医であれば異常所見を指摘することはできるが,臨床医が100%理解できるように説明することは容易ではない。
16列CTを搭載したDiscovery NM/CT 670 proの導入後,核医学画像を臨床医が容易に理解できるツールとして,解剖学的情報の加わるSPECT/CTが非常に有用であることを実感している。 ただし,CTを追加するにあたってわれわれは当初, 被ばくの増加を懸念していた。Discovery NM/CT 670 proのCTには,画像再構成法“ASiR”が搭載されており,低線量・低被ばくの吸収補正用CT撮影条件でありながら, 非常に良い画質を得ることができる(推奨条件下でのCTDIvolが約1mGy)。その点で,Discovery NM/CT 670 proは「患者にやさしいSPECT/CT」と言える。
CTの被ばくに見合ったベネフィットとして,臨床医からはCTを用いた3D画像への要望が多く,Discovery NM/CT 670 proの導入以後,その要望に応えてきた。SPECTとCTのフュージョン3D画像は,(1) 核医学画像ではわからない解剖情報の提供,(2) 核医学画像ではわかりにくい解剖情報の明確化,(3) CT画像を利用した機能評価,といった点で有用性が高い。以下,それぞれについて,症例を示しながら解説する。
■核医学画像ではわからない解剖情報の提供
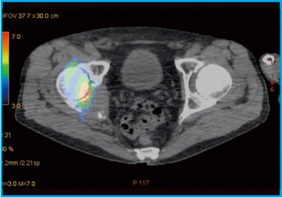
●症例1:前立腺がん骨移転の89Sr image
図1に,前立腺がん骨移転の89Sr imageを示す。集積があることはわかるが,これだけでは解剖学的にどこに集積しているかはわからない。そこで,CTとフュージョンすると,右腸骨に骨転移していることが明瞭に認められる(図2)。さらに,CTの3Dボリュームレンダリング(VR)画像を作成してフュージョンすると,89Srの集積の分布を一目で把握することができる(図3 a)。骨シンチグラフィ(図3 b)の集積部分ともほぼ一致しており,このような画像を示すことで,治療効果に対する患者の理解を促すこともできる。
![]() 図1 症例1:前立腺がん骨移転の89Sr image |
![]() 図2 症例1:SPECT/CTフュージョン画像 |

図3 症例1:SPECT/CTフュージョン3D画像(a)と骨シンチグラフィ(b)
●症例2:左乳がん術前のLymphoscintigraphy
シンチグラフィ画像は,普段から見慣れていれば,散乱成分による体輪郭情報が参考となり,ホットスポットの位置の把握は可能だが,臨床医にはわかりにくい。当初,SPECTとCTをフュージョンした横断像を提供したところ,「手術で役立つ画像がほしい」との要望があり,外科医とともに検討を行った。
手術に有用な画像とは,切開すべき位置の判断や,リンパ節生検の際に指標となる大胸筋,小胸筋,広背筋の解剖学的情報の把握が可能な画像である。生検では,センチネルリンパ節のほぼ真横から皮膚を切開するため,皮膚面とセンチネルリンパ節を3D表示することで,どのようにアプローチすればよいかが一目でわかる(図4)。また,大胸筋,小胸筋,広背筋を消した3D画像や,腋窩の血管やリンパ節をカラー表示することで,手術に有用な画像を提供することができる(図5)。
![]() 図4 症例2:左乳がん術前の SPECT/CTフュージョン3D画像 |
![]() 図5 症例2:腋窩構造物の3Dカラー表示 |
●症例3:右大腿悪性黒色腫原発巣術後のLymphoscintigraphy
当院では,乳腺領域以外でもセンチネルリンパ節検査を施行している。右大腿悪性黒色腫原発巣術後に対して,センチネルリンパ節の画像化を試みた。皮膚科医からは,深さ方向の情報の要望があり,皮膚面から掘り下げるようにして3D画像を表示することで,センチネルリンパ節の位置を確認することができる(図6)。さらに,脂肪を黄色に表示した横断像での観察も可能で,深さ方向の情報をより明確に得ることができる(図7)。CT画像でも小さなリンパ節が認められ,センチネルリンパ節を明瞭に同定することができた。
![]() 図6 症例3:右大腿悪性黒色腫原発巣術後のLymphoscintigraphy(a)とSPECT/CTフュージョン3D画像(b) |
![]() 図7 症例3:SPECT/CTフュージョン3D横断像 |
■核医学画像ではわかりにくい画像情報の明確化
●症例4:両側眼窩下神経病変のGalium imaging
頭頸部領域は解剖学的に複雑なため,SPECT/CTが非常に有用となる。ガリウム(67Ga)シンチグラフィで,頭頸部に異常集積が認められた両側眼窩下神経病変において,生検のアプローチをしやすいように,CTの3D VR画像の断面上にSPECTの情報をカラーで表示する画像を作成した(図8)。このような画像処理が,「Advantage Workstation」(GE社製)を用いると容易に行うことができる。

図8 症例4:両側眼窩下神経病変のCT 3D VR画像とSPECTフュージョン画像
●症例5:骨肉腫化学療法後のThallium imaging
症例5は,骨肉腫化学療法の治療効果判定のためにタリウム(201Tl)シンチグラフィを撮像し,左大腿遠位にごく粗い集積が見られたが,reduction ratioは78%と著明に減少していた。集積残存の局在は不明なため,SPECT/CTを施行した。201Tl・SPECTで残存集積を緑色で表示し,CTの3D VR画像とフュージョンしたところ,viable regionが辺縁部に限局していると考えられた(図9)。
CT 3D VR画像で生検時の皮膚の傷口が認められ,フュージョン画像を皮膚面から透過して見ると傷口の高さとほぼ同じ位置に病変の残存があることが確認できた。CTの併用により,局在を明らかにできるメリットは大きいと言える。

図9 症例5:骨肉腫化学療法後のCT 3D VR画像とSPECTのフュージョン画像
■CT画像を利用した機能評価
●症例6:肺MAC症中葉術前のLung perfusion imaging
症例6は,CTで肺の広範囲に炎症性変化が認められ,また,MAC症も治らないため,手術を前提に肺血流シンチグラフィを撮像した。従来の肺血流評価は,平面像を撮像し,左右,上・中・下肺野で血流を分けて算出していたが,この方法では,中葉切除による血流低下の程度がわからなかった。そこで,SPECT/CTのフュージョン画像を作成し,CT画像をもとに肺葉を切り分けて,各領域のpixelとcount valueを算出することで,肺葉ごとの血流評価が可能となる(図10)。

図10 症例6:肺MAC症中葉術前のSPECT/CTフュージョン画像を用いた肺血流評価
●症例7:肺高血圧症のLung perfusion imaging
肺高血圧症の肺血流シンチグラフィのデータを,CTの3D VR画像に投影表示することで,血流画像を同時に評価する研究を行っている(図11)。血流が低いところは青色,高いところは黄色で表現され,SPECT/CTを用いると肺血流の分布が三次元的に一目瞭然となる。

図11 症例7:肺高血圧症のLung perfusion imaging(開発検討中)
■造影CTとのフュージョンへの期待
SPECT/CTのCTは吸収補正用の単純CTであるが,臨床的に造影CTが必要となる場合もある。SPECT/CT-造影CTフュージョンの良い適用としては,虚血診断と冠動脈CTのフュージョンが挙げられるが,16列CTでは冠動脈CT撮影は困難なため,当院では別のCT装置で撮影した造影CTのデータを吸収補正CTと位置合わせし,CTとSPECTを3Dで観察する方法を採用している。
●症例8:CABG後胸痛のMyocardial perfusion Tl scintigraphy
症例8は,2年前にCABGを施行した症例で,心筋血流シンチグラフィを撮像したところ下後壁に虚血が認められたが,責任血管がグラフトなのか,native RCAなのかの判別が困難であった。そこで,SPECT/CT-造影CTフュージョンを行うと,血流低下領域が紫色で表示され,#4AVの血管領域が責任血管であることが一目でわかり,非常に有用な情報を得ることができた(図12)。

図12 症例8:CABG後胸痛のSPECT/CT-造影CTフュージョン3D画像
●症例9:子宮体がん術前のLymphoscintigraphy
症例9は,子宮内膜から腫瘍周囲に薬剤を投与後,時間を空けてLymphoscintigraphyを撮像し,そのまま手術を行った。Lymphoscintigraphyで,センチネルリンパ節と思われるhot nodeが確認できた。しかし,婦人科医の要望はセンチネルリンパ節と血管との位置関係の把握であったため,診断に用いた造影CTデータで血管の3D VR画像を作成し,吸収補正用CTデータを介してSPECTとフュージョンした(図13)。緑色に表示したセンチネルリンパ節が外腸骨動脈に存在していることが認められるが,さらに位置関係を明瞭にするため,造影CTデータを3Dで切り出して重ねることで,ピンポイントで目的となる部位を示すことができた(図14)。
![]() 図13 症例9:子宮体がん術前のSPECT/CT-造影CTフュージョン画像 |
![]() 図14 症例9:SPECT/CT-造影CTフュージョン3D横断像 |
■変わりつつある核医学画像
Discovery NM/CT 670 proでCTを利用することにより,核医学画像所見の理解が容易となる。CTの追加により被ばくの増加が懸念されるが,GE社の被ばく低減技術ASiRにより,診断用CTの1/10程度の低被ばくで画像を作成することができる。ただし,被ばくに見合った情報提供を心掛けなければならないことは言うまでもない。
現在,呼吸同期システムの研究を重ね,臨床実験段階にまで来ている。また,造影SPECT/CTを用いた成人の肝臓機能評価や,定量性の向上についても,今後検討を行っていきたい。
(インナービジョン誌 2012年12月号掲載)