ホーム
inNavi Suite
GEヘルスケア・ジャパン
別冊付録
2010年10月号 The Power of GE MRI
非造影MRパーフュージョン「3D ASL」の開発と臨床応用
![]()
Advanced Application Report
<1> 非造影MRパーフュージョン「3D ASL」の開発と臨床応用
木村浩彦(福井大学医学部病態解析医学講座放射線医学領域)
椛沢宏之(GEヘルスケア・ジャパン株式会社 研究開発室)
造影剤を用いないMRパーフュージョン撮像法:ASL(Arterial Spin Labeling)は,脳組織に流入する動脈血を磁気的に標識(ラベリング)し,それらを内因性のトレーサーとして用いることで,非侵襲的に脳の灌流画像を得ることができる。しかし,一方でASLは,S/Nが低く,撮像範囲が狭いなどの問題により,今まで臨床の場で用いられるレベルにまでは至っていなかった。しかしGE社は,これらの問題を克服するpulsed continuous ASL(pCASL)技術をベースとした非造影MRパーフュージョンのVolumeアプリケーション「3D ASL」を製品化することに成功した。そこで,長年にわたりASLの研究に携わってきた福井大学医学部病態解析医学講座放射線医学領域教授の木村浩彦氏と,その研究をサポートしてきたGEヘルスケア・ジャパン社の椛沢宏之氏に,ASL開発の経緯やその特長,今後の臨床応用への期待について語り合っていただいた。
■ASLとの遭遇

木村:私が最初にASLを目にしたのは,1991年のISMRM(国際磁気共鳴医学会)でPennsylvania大学のグループが発表したabstractでした。20年近く前のことですが,当時から,これは面白そうだなと思って注目していました。
椛沢:木村先生がPennsylvania大学に留学する前のことですか?
木村:そうです。ただ,留学中はASLではなく,別のグループでmagnetization transfer(MT)やMR Spectroscopy(MRS)の研究をしていました。ちょうどそのころ,Pennsylvania大学のDavid Alsop先生〔ASL研究の第一人者(Ph.D.)で,現在はHarvard大学Beth Israel Deaconess Medical Centerに所属〕が開発中だったEPI対応の装置にASLを載せようとしていました。私がASLにかかわるようになったのは帰国後の話で,1996年に福井大学にGE社のMRI「Signa Horizon 1.5T」が入ってからです。Alsop先生が研究していたASLを自分のところでもできないかと思って始めました。
椛沢:当初,木村先生は,自らシーケンスを開発されていましたね。
木村:ええ,開発環境は以前から整えていたので,シーケンスを組むこと自体はできました。ただ,最初は難しかったですね。
■MRI vs. PET─コラボによる検証
椛沢:木村先生がパーフュージョンを研究対象にしたのは,福井大学にPET研究センターがあったことと少なからず関係がありますか?
木村:そうですね。そもそも血流イメージは,核医学分野において長い歴史があって,すでにPETはそのゴールドスタンダードとしての位置付けが確立しており,ある種の疾患群に有効であるということはわかっていました。つまり,MRIでも血流イメージが描出できれば臨床的に有効であることは,ある意味最初から説明されているわけです。あとは,信頼性のある血流イメージが,臨床に応用可能な時間内で実現できるかどうかがポイントになります。そうなると,トライアルで作ってみたMRIの画像が本当に正しいのかどうかを検証していくためには,比較研究が必要になってきます。そういう点では,PETが設置されていた福井大学だったからこそ,コラボレーションがうまくいって検証できたということが言えると思います。
■CASL or PASL─CASLを選択して研究
椛沢:ASLには大別して,ラベリング方法が異なるCASL(continuous ASL)とPASL(pulsed ASL)の2つの手法がありますが,木村先生はCASLを中心に研究されていますね(図1)。
木村:そうですね。でも当時は,どういった方法が一番良いかというのは,まだ混沌としていました。実際,実装と開発が容易なFAIRやSTARといったPASLベースの方が研究発表は多かったですね。
椛沢:たしかに1990年代後半は,われわれもFAIRをEPIベースで開発していました。
木村:ただ,原理的にはCASLの方が良いことは当時からわかっていたし,少しでもS/Nが良い方法をと考えて,私たちはCASLを選択しました。でも,実際に試してみると,これがまた難しい。そうこうしているうちに,1996年になんとか,シングルスライスのCASLによる血流イメージを得ることに成功しました。その後,1999年に京都で行われた研究会(Ultrafast Magnetic Resonance Imaging in Medicine)で,すでにEPIを用いてマルチスライスのCASLのデータを発表していたAlsop先生にいろいろとアドバイスしていただき,なんとか研究を進めてきました。そして,5,6分くらいかければ,マルチスライスでそれなりのパーフュージョン画像が出るようになるまで進歩してきました。

図1 CASL法の原理
ラベル画像(a)とコントロール画像(b)の差分からパーフュージョン画像を作成する。赤い↑は,血管内のスピンの変化を表している。)
■ASLの臨床応用─MRIのメリットとは
木村:ASLの臨床応用についてですが,腫瘍ではまず髄膜腫(meningioma)を対象に,2002年ころからデータを集め始めました。髄膜腫は血管床が豊富であり,hypervascularな腫瘍を対象としたときにはASLの描出は容易でした。過去には,髄膜腫では組織上の血管床の大きさとASLの血流信号が相関するということを報告してきました1)。また,MELAS(ミトコンドリア病)においても,活動期に病変部の血流が増加するので,ASLで活動性を見ることができます2)。そのほか,AVM(脳動静脈奇形)やADEM(急性散在性脳脊髄炎)などの疾患においても,ASLが有用な可能性があります。
MRIがPETやRIに比べて優れているところは,こういった活動期,つまり症状が動いたときにすぐに撮れるというところです。血流画像がルーチンで撮れるようになってくれば,いろいろな病態を評価できるようになりますし,それはとても重要なことだと思います。また最近では,核医学で臨床応用されてきた脳梗塞やてんかんなど,いろいろな症例に積極的にASLを使っている報告も出てきています。
一方で,IC occlusionなど慢性閉塞性の血管障害に関しては,少し注意が必要です。実際にPETとの比較研究を行ってみると,一見似たような血流イメージは出るし,良い相関をもっていることがわかりましたが,ASLの方がPETよりもCBFが高めのデータが出てしまうことや,患側の皮質の血流がhypoperfusionとして,PETより広範に出てしまう傾向がありました3)。これは,頸部でラベルされたスピンが撮像断面に到達するまでの時間(transit time)による影響により,血流が正しく評価されていないことを意味します。このことはある程度予想されたことではありますが,結果として過大評価,あるいは過小評価されてしまうということがわかりました。
■3Tを用いたCASLの研究─GE社との共同研究を開始

木村:2000年に,福井大学にGE社製の研究用3T MRIが導入されました。稼働して少し経ったころに椛沢さんたちと,3TにASLを載せようという話になりましたね。
椛沢:そうでした。木村先生からCASLを3Tに載せたいというご要望をいただいて,当社としてもぜひチャレンジしたいということで,共同研究をさせていただくことになりました。
木村:その当時はまだ,海外でも3Tでのcontinuous ASLの報告はありませんでしたね。
椛沢:それで,1.5Tのシーケンスのコードを3Tにそのまま載せてみたのですが,最初は思うようにいかず,まず,SARの制限で引っかかってしまいました。それから,RFアンプのデューティサイクルといったハードウェアの制限などがあったので,いろいろと工夫をしました。
木村:それでも2,3年すると,ようやく画像が出るようになってはきたけれど,まだ厳しかったですね4)。そうこうしているうちに,ISMRMでも同じような問題を報告した発表が出てくるようになりました。その後,SARを下げることができる,効率の良いラベル方法の報告がいくつも出てくるようになってきて,今回のGE社の3D ASLアプリケーションに用いられているpCASLの原型のような方法が出てきました5)。結局,pCASLが非常にラベル効率が良く,SARも下げられるので,臨床的にも適しているだろうということで,今に至っています(図2,3)。また,この方法を使わないと,安定したcontinuousタイプを実現できないという話にもなってきました。
椛沢:今年5月に開催されたISMRM2010では,それを7Tに応用しようという動きが見られました。まだ7Tで使うには,相当な工夫が必要ですが。
木村:3Tに搭載したことで,臨床に使うための問題点もだいぶ解消してきました。3Tという高い磁場強度への対応だけでなく,コイルもマルチチャンネルになってS/Nが改善され,動きに関してはbackground suppression機能が入ってきました。撮像枚数が限られるという点に関しては,2D EPIから3D FSEになり,全脳をカバーできるようになって使いやすくなってきました。最後に残っているのがtransit timeの補正に関してですが,これはまだ完全には解決していませんね。
椛沢:transit timeの補正に関してはCASLの方がまだ有利だと言えますか?
木村:そうですね。PASLではラベルされたスピンがまったく到達しない領域が出てきてしまうことがよくありますが,CASLであれば到達はします。しかし,そういう場合は,遅れて到達する領域が逆に光ってしまうこともあります。ただ,CASLの方が,PETに近い血流画像を得られやすいです。ラベル時間も長くすることができるし,待ち時間に関しても,ラベルしてから数秒待つことができるので,transit timeの影響を軽減することに関しては,CASLの方が技術的には容易です6)。
それともうひとつ,CASLの方が良いという理由は,やはり3Tのメリットを十分に生かしたいということがあります。PASL(FAIR)でシミュレーションしてみると,3Tになっても1.5Tに比べてS/Nがあまり改善しないのです。その理由は,本来ならば血流はラベルされてから数秒してから撮像したいのですが,PASLのようなシングルパルスでは,ラベルされたスピンはほとんど血管の中にあるからです。CASLでは,ラベル時間を延ばせば,シミュレーション上でも良くなっていることがわかります。

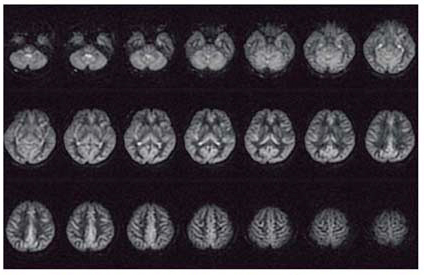
図2 3T MRIによる cavernous sinusに生じたmeningiomaの症例画像

図3 pCASL法を用いた3T MRIによる全脳のパーフュージョン画像
3D FSEをベースとしたシーケンスを用いることで,全脳を歪みなくカバーすることが可能となる。
■ASLの今後の展望
椛沢:これまで木村先生にうかがったお話からは,ASLはどんな症例にでも使えそうだなという印象を持ちました。
木村:ただし,今まではリサーチシーケンスなので,ASLの傾向だとか不安定性というのをある程度理解して使ってきた施設がほとんどです。今後,製品として臨床現場で使用される場合には,患者さんの動きによる影響や,さまざまな血管の走行がラベリングにどう影響を与えるか,あるいは,IC occlusionのようなtransit timeが違う病態に遭遇したときにどうなるかということを,もっときちんと検証していく必要があります。ASLはパーフュージョン画像が簡単に得られるのですが,例えば,白い部位は血流が高いといった単純な評価がなされてしまう恐れがありますね。つまり,MRIのASLはPETに比べてダメだね,と言われないようにしないといけないと思っています。そういう意味での臨床研究を,今後もGE社と一緒に行っていければと思っています。
椛沢:こちらこそよろしくお願いします。本日はどうもありがとうございました。
(2010年8月9日,福井大学にて)
| ●参考文献 | |
| 1) | Kimura, H., Takeuchi, H., Koshimoto, Y., et al.: Perfusion imaging of meningioma by using continuous arterial spin-labeling ; Comparison with dynamic susceptibility-weighted contrast-enhanced MR images and histopathologic features. Am. J. Neuroradiol., 27・1, 85〜93, 2006. |
| 2) | Tsujikawa, T., Yoneda, M., Kimura, H., et al. : Pathophysiologic evaluation of MELAS strokes by serially quantified MRS and CASL perfusion images. Brain Dev., 32・2, 143〜149, 2010. |
| 3) | Kimura, H., Kado, H., Koshimoto, Y., et al.: Multislice continuous arterial spin-labeled perfusion MRI in patients with chronic occlusive cerebrovascular disease; A correlative study with CO2 PET validation. J. Magn. Reson. Imaging., 22・2, 189〜198, 2005. |
| 4) | Kimura, H., Kabasawa, H., Yonekura, Y., et al. : Cerebral perfusion measurements using continuous arterial spin labeling; Accuracy and limits of a quantitative approach. International Congress Series, 1265, 238〜247, 2004. |
| 5) | Dai, W., Garcia, D., de, B.C., et al. : Continuous flow-driven inversion for arterial spin labeling using pulsed radio frequency and gradient fields. Magn. Reson. Med., 60, 1488〜1497, 2008. |
| 6) | Alsop, D.C., Detre, J.A., : Reduced transit-time sensitivity in noninvasive magnetic resonance imaging of human cerebral blood flow. J. Cereb Blood Flow & Metab., 16, 1236〜1249, 1996. |