ホーム
inNavi Suite
GEヘルスケア・ジャパン
別冊付録
2010年10月号 The Power of GE MRI
3D Heartの使用経験─MR Coronary Angiographyの臨床的有用性
![]()
Advanced Application Report
<2> 3D Heartの使用経験
MR Coronary Angiographyの臨床的有用性
岩城 卓(国家公務員共済組合連合会 横浜栄共済病院循環器内科)
虚血性心疾患の診断法でゴールドスタンダードと言えば冠動脈造影(CAG)であるが,近年では画像診断機器の進歩により,非侵襲的なCT,MRIで冠動脈の評価が行われるようになっている。当院では,128列MDCTと1.5T MRI(GE社製,Signa HDxt)で冠動脈を評価できる環境にあり,今回,同社の最新1.5T MRI「Signa HDxt 1.5T Optima Edition」に搭載される冠動脈撮像用アプリケーション“3D Heart”を臨床評価する機会を得た。現在,CTとMRIの長所と短所を考慮しながら臨床で使用しているので,その初期評価を報告する。
■心臓の画像診断の現状とMRCAの臨床的有用性
もし筆者が,「冠動脈疾患診断のファーストチョイスは?」と聞かれたら,現状ではMDCTと答える。空間分解能が高く,短い検査時間ですむMDCTは,一般的に成功率も高く,簡便で,読影しやすい高精細画像を得ることが可能と言われる。40/64列MDCTとMR Coronary Angiography(以下,MRCA)の比較研究1)では,高い成功率と評価可能なセグメントが多いことを考慮し,40/64列MDCTの方がMRCAより有用であると結論付けている。
では,当院では現在,どのような患者さんにMRCAを施行しているかというと,最も多いのが,MDCTでは石灰化のため冠動脈狭窄の評価が困難であった症例である。
以下に具体例を示す(図1,2)。この2つの症例では,MDCTを施行したところ冠動脈に石灰化を認め,狭窄の評価がまったく困難であった(図1 a,図2 a)。このような場合は,次に冠動脈造影を施行する施設も多いと思われるが,当院では被ばくがなく,造影剤も使用しない,侵襲性のまったくないMRCAで石灰化部分の評価を行っている。実際に,MRCAでは狭窄がないことが確認され(図1 b,図2 b),冠動脈造影が回避できた。MRCAのみでは側枝,末梢などの冠動脈病変の同定が困難な場合があるが,この2症例のようにMDCTで冠動脈の同定をある程度行った上で,CTでは評価できない石灰化の評価にMRCAを用いることで,MRCAの能力が最も発揮できると思われる。
また,このほかに,腎機能が悪く造影剤性腎症が懸念される症例や,気管支喘息があり造影剤を使用したくない症例,造影剤アレルギーの症例には,最初からMRCAを施行している。
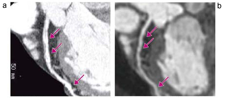
図1 70歳,男性(胸痛)

a:MDCTのcurved MPR像では,LCX 中間部に高度石灰化(↓)があり,狭窄病変の評価が困難であった。
b:MRCAのcurved MPR像では,同部分が石灰化の影響を受けずに明瞭に描出され(↓),高度な狭窄は認められなかった。
図2 80歳,女性(胸痛)

a:本症例でも,MDCTではLADの近位,中間部に高度石灰化(↓)があり,狭窄病変の評価ができなかった。
b:MRCAでは,同部分は石灰化の影響を受けずに描出されており(↓),高度な狭窄がないことが判明した。
■3D Heartの特長と有用性
新しい心臓用Volumeアプリケーションである3D Heartでは,心筋信号を抑えるT2-prepパルスが追加されたほか,ペンシルビームを応用した新しい横隔膜同期やスライストラッキング等,さまざまな技術が搭載され,より精度の高い安定した冠動脈描出が可能となっている(図3,4,5)。また,心臓全体をマルチスラブ(5スラブ程度)で撮像することが可能となり,末梢血管の描出能も大きく向上している。
当院で3D Heartを使用したMRCAの成績は,トータル検査時間が平均20分,成功率が85%となっている。血管の描出に関しては右冠動脈,左前下行枝は,ほぼ全例で末梢まで描出され,従来評価困難であった左回旋枝でも,近位部で約9割,中間部,末梢血管でも約8割の描出が可能となっている。末梢の冠動脈病変の診断能が上がっており,今後,MRCAの使用頻度はさらに増えていくものと思われる。
図3 新しい横隔膜同期法やスライストラッキング技術, 図5 図3と同一症例のPWMIP像 |
図4 図3と同一症例のcurved MPR像 |
| ●参考文献 | |
| 1) | Anne-Catherine P, et al.: Direct comparison of whole-heart navigator-gated Magnetic Resonance Coronary Angiography and 40- and 64-slice Multidetector Row Computed Tomography to detect the coronary artery stenosis in patients scheduled for conventional coronary angiography. Cardiovascular Imaging, 1, 114〜121, 2008. |