ホーム
inNavi Suite
GEヘルスケア・ジャパン
別冊付録
2010年10月号 The Power of GE MRI
Optima MR360 1.5Tの初期使用経験 医療法人秀放会 仙台総合放射線クリニック
![]()
Optima MR360 1.5Tの初期使用経験
医療法人秀放会 仙台総合放射線クリニック
高齢化や生活習慣の欧米化などによりがん患者数が増加傾向にある中,北日本初の放射線専門クリニック「医療法人秀放会 仙台総合放射線クリニック」が2010年8月4日,宮城県仙台市に開設された。放射線治療・診断の専門医による質の高い放射線医療の提供をめざし,クリニックでありながら,通常の外部放射線治療装置(リニアック)に加えて,東北地方では初めてサイバーナイフを導入。画像診断装置はGE社製の16列MDCTやSPECTのほか,同社の最先端1.5T MRI「Optima MR360」を導入し,大学病院に匹敵する高度な画像診断を提供している。クリニック開設のねらいやOptima MR360の有用性,今後の展望について,小川芳弘理事長と日向野修一院長を中心にお話をうかがった。
■充実した機器とスタッフで質の高い放射線医療を提供


仙台総合放射線クリニックでは,8月17日からサイバーナイフによる定位照射が,9月27日からはリニアックによる治療が開始され,北日本初の放射線専門クリニックとしての本格的な診療が開始された。東北大学病院放射線治療科准教授であった小川理事長が放射線治療を,同放射線診断科准教授であった日向野院長が画像診断を担い,医学物理士1名,診療放射線技師4名,看護師4名など計17名のスタッフが,大学病院と遜色のない質の高い放射線医療の提供に努めている。

Optima MR360とスタッフ
左から,斉藤貴憲技師,吉田大司技師,小川芳弘理事長,日向野修一院長,石屋博樹技師,金井あや技師
■2台の放射線治療装置で地域のニーズに対応
1.5T MRI Optima MR360

宮城県内には現在,放射線治療装置の稼働施設が約12施設あるが,1台の装置で治療が行える患者数は一般的に年間約400人が限界であり,4台の治療装置を有する東北大学病院でも,依頼から開始までに約1か月かかるなど,ニーズに十分に対応できていないのが現状である。こうした中,通院治療のみを行う同クリニックを仙台市内に開設した理由について,小川理事長は「当クリニックは,最寄り駅から徒歩約10分,仙台市およびその近郊からは1時間程度で通院可能です。放射線科単科で,治療は予約制で行いますので,会計などでの待ち時間がほとんどなく,治療期間中は毎日通院しなければならない患者さんの負担が軽減できます。また,サイバーナイフは東北地方では当クリニックにしかありませんので,ガンマナイフでは治療の難しい頭頸部領域の治療を担うことで,地域医療に大きく貢献できると考えました」と述べている。
治療装置は稼働を始めたばかりだが,すでに地域連携室を通じていくつかの病院が登録医となっており,治療予約も徐々に増えてきているという。
■コンパクトかつ高機能を有するOptima MR360を選定
一方,同クリニックは,地域における画像診断センターの役割も担うほか,治療にあたっては,より正確にターゲットを絞り込むための高精度な画像情報が必要なため,画像診断装置はコストパフォーマンスを考慮しつつも,最大限に高機能であることが導入の条件となった。
MRIについては,1.5T装置にターゲットを絞り,日向野院長が各社の装置について詳細な検討を行った。最終的にGE社の装置が選定された理由について,日向野院長は,「もともと大学病院でGE社の装置を使用しており,頭部の画像をとても気に入っていました。また,腹部領域についても近年,画質が大幅に向上しており,それが選定の決め手となりました」と述べている。
この時点で,同クリニックでは,省スペース,低ランニングコスト,ハイパフォーマンスをコンセプトに開発された「Signa HDe」の導入が検討されていた。しかし,2010年4月の国際医用画像総合展(ITEM)で,Signa HDeのもつ上記コンセプトを継承しつつ,より高機能なOptima MR360が発表されたことから,日向野院長は,全身で高画質が得られる技術力の高さに期待し,本装置の導入を決めた。
■最先端アプリケーションが臨床に大きく貢献
Optima MR360は,ハードウェアが大きく改良され,デジタル光伝送システム“Optix Lite”が採用されたほか,“IDEAL”,“Cube”,“LAVA”などの高機能アプリケーションが網羅されている(Optix Liteについては技術解説参照)。
実際の使用経験について,日向野院長は次のように評価している。
「頭頸部領域はもともと均一な脂肪抑制が得られにくく,特に,歯に金属があると,通常の脂肪抑制法では抑制が不十分になるとともにひどいアーチファクトが出ますが,IDEALでは均一な脂肪抑制効果に加えアーチファクトも軽減され,診断精度の高い画像が得られたので,大変驚きました(図1)。また,in-phase,out-of-phaseの画像も同時に撮れるので,通常のT1強調像を省略できる可能性があると考えています。次に,非造影MRAのInhanceですが,当クリニックのように単科の施設では造影剤の副作用のリスクをできるだけ回避したいため,非常に有用です。ボランティアの撮像では,腹部や下肢血管で,かなり期待できる画像が得られました(図2)。また,3D FSEでのボリューム撮像法であるCubeは,多方向の再構成画像で観察できるため,微小な病変の診断に有用です」
このほか,日向野院長が特に有用性を実感している機能に“Ready Brain”がある。これは,AC-PC基準線を自動的に認識して頭部スキャンを行う機能で(図3),事前にルーチンの撮像プロトコールを登録しておくと,最初に自動的に位置決め撮像を行い,続いて本撮像が行われる。日向野院長は,「通常,位置決め作業にはきわめて手間がかかり,撮像する技師によって撮像断面にもばらつきが出るなどの問題がありました。しかし,Ready Brainでは,患者ごとの再現性もきわめて高く,非常に使い勝手の良い機能です。当院では,本撮像では体動補正技術PROPELLERを併用して患者さんの体動にも対応することで,撮り直しをほとんどすることなく検査を終えています」と述べている。特に,脳ドックなどのルーチン検査には,きわめて有用だという。

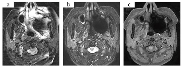
図1 IDEALによる頭頸部の脂肪抑制画像
右耳下腺の繰り返す腫脹と疼痛を主訴にMRI検査を依頼された。左上顎部の口腔内金属の影響で,従来の脂肪抑制T2強調像(a)では強いアーチファクトが生じ,脂肪抑制効果も不十分である。IDEALを用いた脂肪抑制T2強調像(b),T1強調像(c)では,アーチファクトによる無信号域(←)があるが,均一な脂肪抑制が得られている。

図2 Inhance による非造影MRA
呼吸同期Inhance inflow IR法による腎動脈部のMIP像の正面像。
起始部から分枝まで良好に描出されている(正常例)。

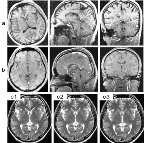
図3 Ready Brain
a,b:aに示すように頭部をわざと極端に傾けた状態でセットしても,Ready Brainの機能により基準線が自動的に設定され,bに示すような画像が得られる。(aはプランニング用画像)
c:同一被検者に対し,Ready Brainを用いて繰り返し撮像して再現性を検証したもの。c1は1週間前の画像,c2,3は同一日に頭部の位置を変えて撮像した画像,c3はaの頭部を極端に傾けて撮像した画像である。わずかな断面のズレはあるものの,良好な再現性が得られている。
■体幹部の撮像でも手応え
Optima MR360には,上記以外にも,LAVA,VIBRANT,SWAN,COSMIC,MERGEなどのアプリケーションが搭載されており,これらについても今後,順次検討が進められていく。現時点では,頭部領域を中心に100例程度の撮像を終えたばかりだが,日向野院長は,まだ症例数の少ない体幹部領域についても,すでに手応えを感じており(図4〜6),Optima MR360の可能性の広がりに大きな期待を寄せている。

図4 IDEALによる胸郭の脂肪抑制画像
乳がんの肋骨転移が疑われた症例。右第6肋骨の背側部に,IDEALの脂肪抑制T2強調像(a)で高信号,IDEALの脂肪抑制造影T1強調像(b)で強く造影される病変(↑)が認められる。cは従来の脂肪抑制法による同一断面の脂肪抑制T2強調像であるが,肺の空気の影響で脂肪抑制が不均一になり,病変はほとんど指摘できなかった。頭側の断面(d)では,右前胸部から腋窩部に脂肪抑制による信号低下が見られる。

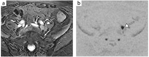
図5 体幹部の拡散強調像:子宮頸がんの腸骨リンパ節転移(再発)
T2強調像(a)にて,左外腸骨動脈近位部の背側に小結節腫瘤を認める(←)。拡散強調像(b,白黒反転表示)で高信号を示している(←)。
18F-FDG-PETで集積があり,転移リンパ節と診断された。拡散強調像は1分17秒の撮像で,歪みのない均一な画像が得られている。

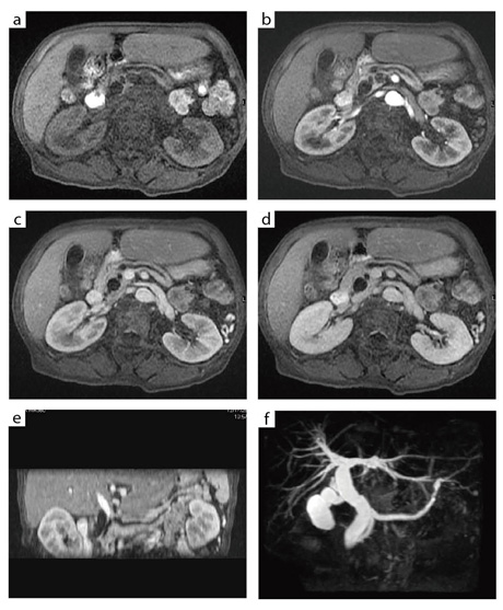
図6 LAVA によるダイナミック造影3D画像とMRCP
総胆管,主膵管の拡張を認める膵のIPMNが疑われ,MRIを依頼された症例(最終診断はついていない)。
a〜d:LAVAによるダイナミック造影脂肪抑制T1強調像(a:造影前,b:25秒後,c:55秒後,d:145秒後)。撮像時間は19秒で,呼吸停止下で3D画像を得ることができる。
e:55秒後の画像(c)から作成した,膵体尾部に沿ったcurved MPR画像。
f:3D-MRCPのMIP画像。総胆管,主膵管が全体に拡張している。
(2010年9月16日取材・インナービジョン2010年11月号掲載)

医療法人秀放会 仙台総合放射線クリニック
〒981-3121 宮城県仙台市泉区上谷刈字向原21-4
TEL 022-375-1231 FAX 022-346-1805
http://www.sendai-roic.or.jp/