ホーム
inNavi Suite
GEヘルスケア・ジャパン
別冊付録
2010年10月号 The Power of GE MRI
聖隷浜松病院における使用経験
![]()
User's Report:Discovery MR750 3.0T
聖隷浜松病院における使用経験
Discovery MR750を使用した躯幹部領域の検査
聖隷浜松病院 放射線科
増井孝行 片山元之 佐藤公彦 伊熊宏樹 寺内一真 塚本慶 杉村正義
3T MRIが臨床装置として日本に導入されてから5年以上経過し,高磁場装置としての有用性と問題点が明確となっている。当院では,GE社製「Discovery MR750」3T MRIが,1.5T MRIの更新に伴う入れ替えとして2010年2月末から稼働し,ほかの3台の1.5Tとあわせて,毎月1400〜1450件程度の検査を施行している。本稿では,腹部骨盤領域を中心に,約6か月の使用経験を報告する。

腹部骨盤領域におけるDiscovery MR750 の優位点,従来の3T MRIの問題点
3T MRIでの検査では,脳神経系,筋骨格系に比べて,腹部領域での画像信号が不均一になりやすく,水信号がT2強調画像で均一な高信号域とならず,T1強調画像でも信号強度が正確に評価できないこと,frequency-selective chemical presaturation(ChemSAT)を中心とする脂肪抑制法が効きにくいこと,造影剤を使用した検査では造影効果が不明瞭で造影剤の血管,軟部組織内への移行を正確に評価できないことなどの問題点があり,得られた画像情報の信頼性が低下する可能性があった。しかし,Discovery MR750では,腹部領域での信号不均一性の問題はほぼ解決され,被検者の体型や検査部位にかかわらず,ほぼ安定した画像が得られている。当院MRIにおける部位別の検査内訳は,腹部骨盤,乳腺領域が3Tで約40%,1.5Tで約26%を占める。3T MRI導入初期の検査部位の偏りを考慮しても,腹部骨盤領域の割合は1.5T MRIよりもむしろ多くなっている(図1)。これは,臨床画像を得るために特別な労力や時間をかけることなく,ルーチン検査の中で3T MRIを円滑に運用できていることを反映している。

図1 当院における各MR装置での検査部位・内訳
3T MRIで施行された検査内訳は,腹部骨盤,乳腺領域が40%を占める。
1.5T MRIでは26%である。
Discovery MR750が優れている点として,次の3つが挙げられる。1つ目は,静磁場(B0)とRF磁場(B1)の均一精度が高いことで,いま注目されているRF送信技術“4ポイントドライブ”が寄与している。2つ目は,32ch ボディアレイコイルの併用が可能となったこと,さらにパラレルイメージングの1つであるAutocalibrating Reconstruction for Cartesian imaging(ARC)が併用できるシーケンスが多いことが挙げられる。
3つ目として,使用できる撮像シーケンスの選択肢が多いことがある。特にLAVA-FLEX,IDEALといった脂肪抑制画像を得るいくつかの手段が,通常用いられているChemSATやSTIR法とともに使用可能で,検査時間の短縮や画像情報の信頼性向上に貢献している。
以下に,それぞれについて具体的に記述する。
1.静磁場(B0),RF磁場(B1) 均一性の向上
3Tの画像上の“歪み”に関して,静磁場の不均一性は1.5Tの約2倍の影響を与える。このため,Discovery MR750では,マグネットそのものの均一性の向上に加えて,各種シミング技術の搭載と関連する電気回路の最適化により,その精度が高く保たれている。また,4ポイントドライブの採用により,RF磁場の均一精度については,被検者の体型や頸部から躯幹四肢にわたる形態の変化に対して頑健性が高くなっている。
4ポイントドライブは,RF送信の給電点を従来の2か所から4か所に増やし,浮遊容量による電気的結合の影響を低減させて,RF磁場の均一性を向上させる技術である。RF磁場のシミュレーションでは,グラディエントコイルなどの改良や4ポイントドライブの採用により,RF磁場の均一性は従来よりも約30%改善している(図2)。T2強調画像やT1強調画像,拡散強調画像(DWI)での信号は全体に均一に保たれ,給電点が2か所の場合に認められた,横断像での右腹側部と左背側部の信号低下はほとんど認められない(図3〜7)。また,冠状断像でもT2強調画像,T1強調画像の信号の均一性は高く,FOVの周辺部でも,歪みや信号の不均一性はほとんどない。造影ダイナミック検査では,肝や腎の病変はリング状,結節状に染まったり,内部の隔壁構造も描出されるなど良好な画像が得られる(図3,4,7)。造影ダイナミック早期の病変と周囲軟部組織とのコントラストも明瞭である。
なお当院では,腹部骨盤領域では,支障がないかぎり誘電パッドを使用して検査を行っている。これは,誘電パッドなしでも画像信号の不均一性は臨床評価として問題にならないが,誘電パッドを置くことで,各部位での定在波の影響をより低減できるためである。

図2 B1 mapのシミュレーション:一般的な2ポイントドライブ(a)とDiscovery MR750
4ポイントドライブ(b)の比較
Discovery MR750 4ポイントドライブでは,給電点(↑)が合計4か所存在する。従来の一般的な2ポイントドライブの給電点(↑)は2か所のみであった。コイルの改善,4ポイントドライブの採用,ボディコイルの改善により,B1の均一性は従来に比べて平均で30%上昇している
2.32chボディアレイコイルの併用,パラレルイメージング(ARC)の併用
前述のように,Discovery MR750ではB0,B1の均一度が増し,それぞれの構造物が持つT1値,T2値が正確に反映されるので,画像信号の信頼性が上昇した。3TでのS/Nは,1.5Tに比べて2倍になることが大きな利点である。さらに,32ch ボディアレイコイルが使用可能となり,パラレルイメージングを併用しても S/Nは高く保たれる。この相乗効果で,S/Nの良好な画像が得られる。また,パラレルイメージングはASSETとARCの両者が選択使用でき,reference dataを本撮像で収集するオートキャリブレーションを採用しているARCが,多くの撮像シーケンスで併用可能となっている。本撮像とreference scanを独立して行うASSETでは,肝臓の造影ダイナミック横断像では短時間に呼吸停止下撮像を繰り返すため,特に横隔膜直下でミスレジストレーションアーチファクトを認めることがあるが,ARC併用時にはその心配はない(図3,4)。また,FOVを比較的小さく絞っても,ASSETのような折り返しアーチファクトは目立たず,空間分解能の向上に寄与できる。
3.各種シーケンスの選択可能性:LAVA-FLEX,IDEALなど
Discovery MR750を十分に活用できる要因として,状況に応じてさまざまなシーケンスを自由に選択できることが挙げられる。LAVA-FLEXは,in-phase,out-of-phaseを同時に撮像する3D dual echo シーケンスで,Water imageも計算により得るため,撮像時間の短縮にも貢献している。
通常,T1強調画像に使用する脂肪抑制法は,脂肪の周波数に合わせてRFパルスを印加するChemSATが主流であるが,その精度は,B0,B1の均一性に強く依存し,脂肪抑制の程度にもばらつきが生じる。一方,LAVA-FLEXのWater image(脂肪抑制画像に相当)では,脂肪は均一な低信号となり,FOV全体にわたって,軟部組織の均一な信号も得られる。Gd-EOB-DTPAを用いたSmartPrep併用造影ダイナミック横断像でも,安定した画像が得られている(図3,4)。また同様に,SmartPrep併用造影ダイナミック冠状断像においても,辺縁まで信号が均一な良好な画像が得られる(図7)。Gd造影後平衡相3mmスライス厚の高空間分解能画像では,胆嚢ポリープのような小病変についても詳細な情報が得られる(図5)。
胸椎領域のSpin Echo(SE)法脂肪抑制T1強調画像(図8)では,信号の不均一性をしばしば経験するが,3point Dixon法であるIDEALは,脂肪抑制法として有用性が高い。シミングを繰り返したり位相方向を変えるなど,動きのアーチファクトを抑えながら良好な画像を得るためには,時間と労力が必要となることがある。IDEALを使用すると,簡便に広範囲にわたって均一な脂肪抑制効果が得られるため,結果的に撮像時間も短縮し,広い範囲の評価も可能となる。problem solving シーケンスとして,IDEALがオプションとして使用できると,検査時間の短縮と造影検査情報の信頼性向上につながる。
3D FSE法を基本として取得するMRCPは,S/Nが高く画質も安定している。当院では呼吸同期3D FSE法と呼吸停止下2D projection SSFSE法の両方を撮像している(図5)が,呼吸同期撮像で画質が不良な場合は,25秒程度の呼吸停止下3D FSE法を補足的に用いている。S/Nと空間分解能が高い点では,3分程度で撮像する呼吸同期MRCPが優れているが,salvageとしての呼吸停止下3D FSE法MRCPも,臨床評価のために十分な情報を提供できる。
これらのシーケンスを含むさまざまな撮像では,SARの制限による撮像時間の延長や,各撮像シーケンス間にポーズを必要としたり,あるいは,撮像枚数制限が過度になることは経験していない。

図3 直腸がん肝転移
a:呼吸同期脂肪抑制FSE法T2強調画像 / b:呼吸同期 DWI (b値800) /
c:Gd-EOB-DTPA造影ダイナミック動脈早期相
(撮像時間double phase 12秒×2=24秒)
d:Gd-EOB-DTPA 門脈早期相 /
e:肝細胞相横断像 /
f:肝細胞相冠状断像
*c〜fはすべてLAVA-FLEX Water image
B1不均一性による画像信号ムラはないが,32chコイルを使用しているため,コイル近傍の信号がやや高く見える。T2強調画像(a),DWI(b)では,肝内の多発転移巣(→)は高信号を示す。転移巣は,造影ダイナミック動脈早期相(c)でリング状に染まり,肝細胞相(e,f)では明瞭な低信号を示す。

図4 肝硬変,肝細胞がん
a:呼吸同期脂肪抑制FSE法T2強調画像 /
b:呼吸同期 DWI(b値800) /
c:Gd-EOB-DTPA造影ダイナミック動脈早期相
d:Gd-EOB-DTPA造影ダイナミック動脈後期相 /
e:Gd-EOB-DTPA造影ダイナミック門脈早期相 /
f:Gd-EOB-DTPA造影ダイナミック門脈後期相
g:肝細胞相横断像 /
h:肝細胞相冠状断像
*c〜hはすべてLAVA-FLEX Water image
肝S8の肝細胞がん(↑)はT2強調画像(a),DWI(b)で高信号を示す。造影ダイナミック動脈早期相(c)での著明な染まりとダイナミック門脈相(e,f)でのwashoutが確認される。肝細胞相(g,h)では明瞭な低信号域を示す。外側部の腫瘍は,T2強調画像,DWIでの信号が低い傾向にあり(a,b ▲),分化度の異なる成分を示す可能性がある。パラレルイメージングとしてARCを採用しているため,ミスレジストレーションはない。

図5 胆嚢ポリープ
a:呼吸同期3D FSE法,MRCP,MIP像,TE 500,撮像時間約3分 /
b:呼吸停止下 3D FSE法,MRCP,MIP像,撮像時間約25秒
c:呼吸停止下 2D SSFSE法,projection MRCP /
d:呼吸同期 3D FSE法,MRCP,partial MIP像
e:呼吸停止下 SSFSE法T2強調画像,横断像 /
f:呼吸停止下 Gd造影平衡相,LAVA-FLEX Water image,スライス厚:3mm,マトリックス320×192
呼吸同期MRCP(a)では膵,胆管とも末梢まで描出されている。呼吸停止下3D MRCP(b)でも比較的良好な膵,胆管の描出が得られるが,末梢の描出は若干劣る。2D projection MRCP(c)でも同等の情報が得られる。呼吸同期3D FSE法のpartial MIP像(d)で,胆?ポリープ(→)は低信号域として認識される。呼吸停止下SSFSE法T2強調画像横断像(e),呼吸停止下Gd造影平衡相LAVA-FLEX Water image(f)では全体に均一な画像信号が認められる。胆?ポリープ(→)はそれぞれ明瞭に認識される。

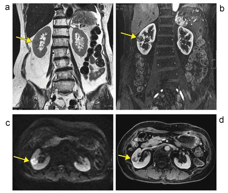
図6 直腸がん腎転移
a:呼吸停止下FSE法 T2強調画像 /
b:Gd造影ダイナミック動脈相,LAVA-FLEX Water image
c:呼吸同期 DWI(b値800) /
d:Gd造影平衡相,LAVA-FLEX Water image
T2強調画像(a)ではわずかな低信号を示す病変(→)である。Gd造影ダイナミック動脈相(b)では内部の隔壁構造に染まりが認められる。病変は,DWI(c)で高信号,Gd造影平衡相(d)では一部造影効果のある淡い低信号を示す(→)。いずれの画像でも信号の均一性は良好である。

図7 膀胱がん
a:FSE法T2強調画像横断像 /
b:FSE法T2強調画像冠状断像 /
c:呼吸同期 DWI (b値800)
膀胱左側を占める腫瘍。膀胱筋層を越えて周囲脂肪組織へ浸潤する。T2強調画像(a,b)では,膀胱内の尿を含めて,信号は全体に均一に認められる。

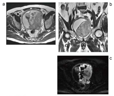
図8 悪性リンパ腫,多発性骨病変
a:SE法T1強調画像 /
b:IDEAL SE法T1強調画像in-phase /
c:SE法脂肪抑制T1強調画像
d:IDEAL Water image /
e:造影後脂肪抑制T1強調画像 /
f:造影後 IDEAL Water image
*d,fのIDEAL Water imageは脂肪抑制画像に相当
SE法T1強調画像(a),造影前IDEAL SE法T1強調画像in-phase(b)では,胸椎病変は多発性の低信号域(→)を示す。SE法脂肪抑制T1強調画像(c)では不均一な脂肪信号低下,脂肪成分以外の信号低下(?)が認められるのに対し,造影前IDEAL Water image(d)では脂肪信号は均一な低信号を示す。造影後IDEAL Water image(f)では,病変の造影効果も正確に評価できる(→)。広範囲に均一な信号も得られるため,胸椎の病変だけでなく,胸骨病変(→)も認識できる。
*図3〜6のLAVA-FLEX Water imageは脂肪抑制画像に相当
今後の課題
Discovery MR750では,全体的に画質の向上は認められたが,解決すべき課題も明確となってきた。CTでも同じ問題を抱えているが,空間分解能を高くして薄いスライス厚のボリュームデータを取得したり,in-planeの空間分解能を向上させることにより,データ発生量が非常に多くなっていることである。また,造影ダイナミック検査を含めて使用頻度の高いLAVA-FLEXでは,1回の撮像で複数のシリーズが取得されるため,1検査あたりの撮像シリーズの増加,撮像枚数の増加も顕著である。院内の各診療科には画像参照のためにデジタル配信をしているが,膨大なデータが,しかも,複数多岐にわたるシリーズに分けて表示されるため,検査を依頼した診療科の医師が必要な画像シリーズにたどりつくのが困難になることもある。目的に応じた参照シリーズをあらかじめ選択できる仕組みをつくることなどが,今後検討していくべき運用課題と言える。
まとめ
Discovery MR750を使用して得られる腹部骨盤領域の画像は,画質も良く信号情報も正確となっている。3T MRIで問題とされてきた,画像信号の不均一性やSARの問題はほぼ解決され,利点とされるS/Nの高さを十分享受でき,その応用が期待される状況にある。ただし,今後は発生する膨大なデータを,目的に応じて効率的に配信できるような,情報伝達のための総合的な取り組みの必要性も強く感じている。