ホーム
inNavi Suite
GEヘルスケア・ジャパン
別冊付録
2010年10月号 The Power of GE MRI
慶應義塾大学病院における使用経験 刷新されたハードウェアがもたらす3T MRIによる体幹部撮像の新時代
![]()
User's Report:Discovery MR750 3.0T
慶應義塾大学病院における使用経験
刷新されたハードウェアがもたらす3T MRIによる体幹部撮像の新時代
谷本伸弘,奥田茂男(慶應義塾大学医学部放射線科学教室)
慶應義塾大学病院は2010年7月,旧0.5T装置の更新に伴い,待望の3T MRIとしてGE社の「Discovery MR750」を導入した。Discovery MR750は,今年4月に行われた国際医用画像総合展(ITEM)で発表された同社3T MRIの最上位機種であり,ガントリ全体にまったく新しい最先端技術を多数搭載して,ハードウェアの性能が大幅に向上した。同時に先進的アプリケーションも開発したことで,従来,3T MRIの課題とされてきた体幹部領域における画質が飛躍的に向上している。そこで,体幹部領域におけるDiscovery MR750の稼働の実際と評価,展望について,同大学医学部放射線科学教室の谷本伸弘准教授と奥田茂男専任講師にお話をうかがった。

左から谷本伸弘 准教授,栗林幸夫 教授,奥田茂男 専任講師
Discovery MR750の初期評価─予想を上回る高画質
谷本:Discovery MR750が7月1日に稼働を開始してから約1か月半ですが,予想以上の高画質が得られています。例えば3Tの体幹部の撮像では,誘電パッドや鎮痙剤が必要との情報が事前にあったのですが,それらを一切使用しなくても高精細な画像が得られています。いまはまだ試用期間中ですので,特に体幹部ではやや検査に時間がかかっていますが,すでに約700件の撮像を行っており,当院がMRI装置1台の撮像件数の目標としている年間5000件はクリアできそうです。
奥田:私の印象も谷本先生とほぼ同じです。3T MRIは,磁化率効果の増強や1.5T MRIとの画像コントラストの違い,SARの増大,磁場の不均一などの影響によって体幹部では使いづらいというイメージがあり,苦労するだろうと覚悟していました。しかし,実際に稼働してみると,Discovery MR750は1.5T MRIとほぼ同じような感覚で撮像でき,予想を上回る高画質が得られています。
慶應義塾大学病院におけるMRIの稼働状況─Discovery MR750で年間5000件をめざす
谷本:当院では現在,1.5T MRIが4台と3T MRIが1台の計5台が稼働しています。検査の割合は,頭部と脊椎が7割,体幹部などが3割であり,Discovery MR750でも,すでにほぼ全身の撮像を一通り行っています。1.5Tと3Tの使い分けは,体内に磁性体のある患者さんを1.5Tで撮像する以外は,特に行っていません。3Tでは,1.5Tと同等の画質であれば,スループットはもっと上げられると思いますが,現在はより高精細な画像を撮ることを目標にしていますので,検査時間は多少長めに設定しています。
MRIの検査枠は,曜日ごとに部位別の枠と自由枠がありますが,主治医が検査予約を入れるため,放射線科の方でコントロールしているわけではありません。ただ,Discovery MR750を導入後,体幹部では前立腺,関節,肝臓のGd-EOB-DTPA造影検査,乳腺など,3T MRIの高分解能を最大限に生かした撮像を行うために,新たに検査枠を設けました。
Discovery MR750の体幹部領域への臨床応用
●肝臓への臨床応用 LAVA-FLEX+32chボディアレイコイル
1.1.5Tとの比較と3Tのメリット

谷本:Discovery MR750には,ピクセルごとの局所磁場不均一を計算して再構成することでアーチファクトを抑制する“LAVA-FLEX”というパルス系列が搭載されていますが,肝臓撮像時にLAVA-FLEXを使用することで,きわめて高画質が得られています。1.5Tで使用していたLAVAと比較すると,脂肪がより均一に抑制されますので,造影検査においては非常に有利ですし,T2強調画像でも画質が大幅に向上しています。
また,肝臓の撮像時に最も大事なのはスライス厚とマトリックス数ですが,1.5Tでは,スライス厚を薄くしてマトリックス数を増やすとS/Nはかなり低下してしまいます。しかし,3Tの場合はもともとS/Nが高いため,スライス厚を薄くしてもマトリックス数が増やせるわけです。
拡散強調画像については, 3Tでは1.5Tよりも描出能が低下するというのが一般的な見方でした。しかし,Discovery MR750の場合,1.5TよりもはるかにS/Nの高い明瞭な画像が撮像できる機会が増えました。当院では現在,肝臓の拡散強調画像は5mmスライス厚で撮像していますが,2〜3mm程度の転移も見つかるようになりました。また,当院の場合b値は,1.5Tでは肝臓は600,膵臓は1000に設定しています。しかし3Tでは,高いS/Nを生かして,肝臓も膵臓もb値を1000に設定しました。これにより,正常組織の信号が抑制されてコントラスト分解能が向上し,T2 shine-throughが減少するというメリットが得られています。
1.5Tと3Tでは,T1コントラストの違いも当初は指摘されていましたが,Discovery MR750では1.5Tとまったく変わらず,むしろ向上しています。
2.撮像のポイント
谷本:3T MRIの場合,磁場強度の高さを画質の精度に生かすか,撮像時間の短縮に生かすかということがありますが,当院では,例えばGd-EOB-DTPA造影検査などは基本的に1.5Tと同じプロトコルで撮像しています。ただ,造影前後に拡散強調画像を2回撮るようになったため,1.5Tより5〜10分ほど検査時間が延長しています。今は,1件あたりの検査時間は約40分とし,非常にていねいな検査を心がけています。
3.32chボディアレイコイルの有用性
谷本:体幹部の撮像は,基本的にはすべて32chボディアレイコイルを使用しています。上腹部と骨盤部が同時にスキャンできますので,特に特殊検査では非常に有利です。例えば,尿路の撮像では,腎臓から膀胱までを一度にスキャンしますが,広範囲でも磁場均一性に優れた高空間分解能画像が得られるようになりました。
また,肝臓検査において,当院では,MRIは最終診断法に位置付けています。MRIは被ばくもないですし,コントラスト分解能はCTよりも圧倒的に高いので,CTで鑑別がつかない場合に一歩進めた診断ができます。その際,3T MRIで1.5T MRIよりも高い診断能を得るために,32chボディアレイコイルとLAVA-FLEXの組み合わせは強力な武器となります。RF送信のドライブポイント(給電点)が4つある“4ポイントドライブ”という新技術によってRFのペネトレーションが向上し,高い磁場均一性が得られるため,当院では誘電パッドをまったく使用せずに撮像できています。
●膵臓への臨床応用
LAVA-FLEX+32chボディアレイコイル
谷本:当院では膵臓も,LAVA-FLEXと32chボディアレイコイルを使用したダイナミックMRI,MRCP,拡散強調画像を撮像しています。ダイナミックMRIは,1.5T MRIでは絶対に不可能な高画質が得られるので,1cm以下の膵がんも描出できるという自信があります。また,MRCPはもともと,原理的に3T MRIの方が有利ですが,安定性に欠けているとも言われていました。しかし,やはり3Tの方が1.5TよりS/Nも空間分解能も高いので,それが最も重要な要素だと思います。
●骨盤領域(婦人科臓器)への臨床応用
1.1.5Tとの比較と3Tのメリット

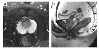
奥田:骨盤領域,特に婦人科領域については,3Tでは磁場の不均一によってなかなか良好な画質が得られない,あるいはTRを長めに設定しないと1.5Tと同じようなコントラストが得られないため,撮像時間が延長すると言われていました。TRは6000ms程度に設定する必要があるとの報告もありましたが,Discovery MR750では,4500ms前後で1.5Tと同等のコントラストが得られています。加えて,空間分解能は3Tの方が高いので,より細かい部分の観察が可能となりました。なかでも,子宮筋層の内膜側にあるjunctional zoneのコントラストが,TRを延長せずに1.5Tと同じような感覚で描出できることには大変驚きました。
また,骨盤腔は消化管の動きとガスの影響を受け,磁場の不均一が起こりやすいと言われています。そこで,3Tでは鎮痙剤の使用が必須と言われていましたが,Discovery MR750では鎮痙剤を使用しなくても安定した画質が得られています。ただ,消化管がガスで著明に拡張している場合などは,画質に影響することもあります。
2.撮像時の工夫
奥田:Discovery MR750では,骨盤領域については3TのS/Nの高さを生かして画質を追究した撮像を行っています。当初は面内の空間分解能を上げるために関心領域を絞って撮像していましたが,現在は関心領域を広げてマトリックス数を上げて撮像しても高空間分解能が得られるようになったため,そうした取り組みも徐々に行っています。
● 骨盤領域(前立腺)への臨床応用
谷本:前立腺は,1.5Tでもそれなりに高画質が得られますが,3Tでうまく撮れたときの美しさにはかないません。例えば,以前撮像した例では,前立腺外腺の導管構築1本1本が鮮明に描出され,直腸内コイルを用いた高分解能MRI以上のきわめて高画質が得られました。ただ,やはり直腸にガスが大量にあるような例では,少しアーチファクトが出ることがあります。そのため,現状では前処置は行っていませんが,将来的には,最初の位置決めスキャンで直腸内に大量のガスが確認された場合は,前処置を行うことも検討するかもしれません。
また当院では,3TではLAVA-FLEXを用いて前立腺のダイナミックMRIを行っています。拡散強調画像を撮像する際のb値は1000と1500で1.5Tと同じですが,S/Nは大幅に向上しています。
当院では精検前のスクリーニングをMRIで行う件数が増えていますので,3T導入の意義は大きいと思います。
●関節への臨床応用
谷本:関節領域では,1.5Tよりも3Tの方がはるかに高画質です。特に,肩と膝の画質はすばらしいです。
奥田:腱の損傷を検出する際には脂肪抑制T2強調画像を撮像していますが,1.5Tでは高信号な部分は明瞭に描出されるものの,TEをやや短くしないと,背景の信号が弱く,解剖がよく見えないという状況でした。しかし3Tでは,TEを長くしたままでも背景の解剖のコントラストがある程度残るので,病変部位の同定が容易になりました。これは,S/Nの向上によるところが非常に大きいと思います。
谷本:3Tでは,前立腺やその他の領域もきわめて高画質が得られるようになりましたが,関節が最も1.5Tとの差が大きいかもしれません。
奥田:軟部腫瘍なども,LAVA-FLEXを使えば非常に均一に脂肪が抑制され,高画質が得られます。
谷本:最近では,SE法のT1強調画像は撮像しなくなりました。LAVA-FLEXのin-phaseで代用していますが,それでもまったく問題はありません。
Discovery MR750の心臓・乳房への取り組み
●心臓への臨床応用
1.Discovery MR750のメリット
奥田:シネMRIも冠動脈MRAも,1.5T MRIではSSFP法による高コントラストを利用して,心臓や血管の内腔を描出することが一般的です。3T MRIにおける心臓検査の最も大きな課題はSSFP法が使いにくいということでした。しかし,Discovery MR750では,SSFP法が問題なく使用できるようになりました。その理由は,4ポイントドライブをはじめとするハードウェアの改良によって安定した画像が得られるようになり,同時にSARの計算がより正確に行えるようになったことが大きいと思います。安全性を担保しながらSARを上限まで使用し,フリップ角を有効に使えるようになったことが,SSFP法にとっては有利に働いているようです。
また,以前は3T MRIでSSFP法を使用するにあたっては,頻繁にシムを取りながら磁場の均一性を確保していかなければならず検査時間が延長すると言われていましたが,Discovery MR750では最初にシムを合わせるだけなので,手間がかかりません。加えてDiscovery MR750では,シネMRI,心筋パーフュージョン,遅延造影MRIまでの一連の流れを1つのユーザーインターフェイスで簡単に行える“MR Echo”という機能があり,操作性の面でも非常に使いやすいので,心臓MRIに慣れていない方でも断面設定などは行いやすいと思います。
2.3T MRIによる検査の実際
奥田:心臓MRIについては現在,3Tで平均週2件の撮像を行っています。左室機能障害,心筋症の評価が多く,シネMRIによる動きの評価と遅延造影MRIによる心筋の性状評価が検査の中心です。遅延造影MRIでは,心筋の線維化の有無や病的な心筋の分布などが画像化できますが,これは他のモダリティでは得られない情報ですので,主治医からの要望が非常に多いです。一方,虚血性心疾患の評価にはシネMRI,パーフュージョンMRI,遅延造影MRIを行います。パーフュージョンMRIについては,3Tではつい先日初めて撮像を行い,良好な画質が得られました。
●乳房への臨床応用
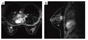
谷本:乳房の撮像では,VIBRANT-FLEXを用いることで脂肪がとてもよく抑制されるようになり,1.5T MRIよりも断然美しい画像が得られるようになりました。空間分解能を向上させることもできますし,マトリックス数を細かく設定したり,スライス厚を薄くすることもできます。また1.5T MRIでは,心臓のアーチファクトが腋下にかかって診断がしづらいことがよくあったのですが,3T MRIでは特別な設定や工夫なしでも腋下のアーチファクトが目立たなくなりました。また,拡散強調画像はプロトコルの設定に当初苦労しましたが,現在は安定した画質が得られています。
乳房の検査は,マンモグラフィと超音波がスクリーニングの検査法としては非常に有用ですが,MRIでしか描出できない病変というのが確かにありますので,乳腺MRI検査は必須です。当院では現在,術前MRIによる広がり診断なしで手術を行うことはまずありません。

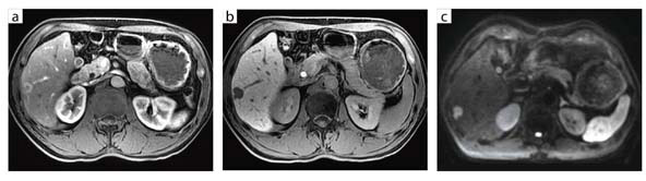
図1 B型慢性肝炎に生じた肝細胞がん(32chボディアレイコイル)
a:LAVA-FLEX(脂肪抑制画像),ダイナミックスキャンの第1フェイズ
b:LAVA-FLEX(脂肪抑制画像),肝細胞相,スライス厚 3.6mm
c:DWI,b値800,スライス厚 5mm,呼吸同期法
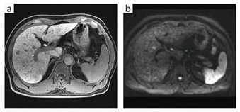
![]() 図2 高分化型肝細胞がん(32chボディアレイコイル) a:LAVA-FLEX(脂肪抑制画像),肝細胞相,スライス厚 3.6mm b:DWI,b値600,スライス厚 5mm,呼吸同期法 |
![]() 図3 前立腺(32chボディアレイコイル) a:FSE T2WI(脂肪抑制画像),FOV 18cm,スライス厚 4mm,3分34秒 b:FSE T2WI,FOV 18cm,スライス厚 4mm,3分34秒 |

図4 多発性子宮筋腫(32chボディアレイコイル)
a:T2WI,FOV 20cm,スライス厚 5mm,1分57秒
b:T2WI,FOV 20cm,スライス厚 5mm,1分40秒
c:DWI,b値1000,スライス厚 5mm,1分45秒
![]() 図5 乳がん(8ch ブレストアレイコイル) a:VIBRANT-FLEX(脂肪抑制画像),スライス厚 2mm,1分59秒 b:VIBRANT-FLEX(脂肪抑制画像),スライス厚 2mm,1分46秒 |
![]() 図6 心臓シネ画像(32chボディアレイコイル) MR Echoによる左室短軸・FIESTA・シネ画像 TR/TE:3.3/1.5,スライス厚 10mm |
![]() 図7 右肩腱板部分断裂例 (8chショルダーアレイコイル) FSE T2WI(脂肪抑制画像), FOV 16cm,スライス厚 4mm, 2分57秒 |
![]() 図8 リスト画像例 (8chリストコイル) GRE,FOV 8cm, スライス厚 2mm, 2分10秒 |
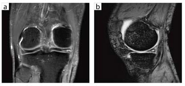
![]() 図9 右膝内側半月板・水平断裂(QD Kneeコイル) a:FSE(2エコー)PD(脂肪抑制画像),FOV 16cm,スライス厚 3.5mm,3分32秒 b:T2*WI(MPGR),FOV 16cm,スライス厚 3.5mm,2分27秒 |
Discovery MR750への期待と将来展望
奥田:Discovery MR750の今後の運用については,高画質を追究するか,検査時間を短縮して検査件数を増していくのかを,臨床現場の様子を見ながら考えていきたいと思います。一方,LAVA-FLEXなどの新技術については,1.5T MRIで使用していた方法との比較研究を,ファントムなどを用いて検証していきたいと思います。
谷本:これだけの優れた装置を手にしたわれわれは,やはり世界最高の画質を追究しなければならないと思います。ですから,今後は症例ごとに,より高画質を追究するものと検査時間の短縮を図るもののメリハリをつけて,検査を行っていきたいと思います。
(2010年8月18日慶應義塾大学にて)