GEヘルスケア・ジャパン
Technical Note

2008年3月号
Contrast-Enhanced US Imaging

US−LOGIQ7−Hybrid Contrast Imaging

加藤 生
超音波事業部 超音波システム技術部

■Raw Data Management

当社の超音波診断装置の最大の特徴は,信号処理系列の中でも比較的初期の段階のイメージデータを扱う,“Raw Data Management”を実現していることである。イメージをraw dataで扱うことにより,ゲインやTGC,ダイナミックレンジといった各種イメージングパラメータの調整やaccumulation等の画像処理が,ライブスキャン同様に,フリーズ後や保存したイメージにおいても可能である。後から変更できないフォーカスや音響出力等に最低限注意しておけば,フリーズ後にパラメータを変更して詳細に検討することができるため,スキャンの際にはプローブの操作等に集中することができる。患者さんへの造影剤の投与を伴い,時間上の制約がある造影超音波検査において,特に威力を発揮すると考えられる。

■Hybrid Contrast Imaging

このRaw Data Managementの利点を最大限に活用し,さらに多くの診断情報を提供することを目的として開発されたのが,「LOGIQ7 BT’07」に搭載された新しい造影アプリケーション“Hybrid Contrast Imaging”である。一般的に,造影剤からの信号を検出するためには,一方向にパルスを複数回送受信して造影剤からの信号をイメージングするが,Hybrid Contrast Imagingでは,受信パルスに対して複数の異なる信号処理を並列して行えるよう拡張した処理系を用いている。造影剤からの信号を強調したイメージ (Contrast) に加えて,リファレンス用のBモードイメージ(Tissue)や,組織部からの高調波信号を抑制し,主に動きのある造影剤からの信号を強調したイメージ (Angio) 等,特性の異なるイメージを同時に取得し,すべてraw dataとして保存することが可能となっている(図1)。Hybrid Contrast Imagingの対応システムを表1に示す。


図1 Hybrid Contrast Imagingのシステム構成
図1 Hybrid Contrast Imagingのシステム構成
 
表1 Hybrid Contrast Imaging 対応システム
表1 Hybrid Contrast Imaging 対応システム
*1 Option Softwareが必要です。
*2 すべてのバージョンからアップグレード対応可能です。

■Hybrid Map とDualView

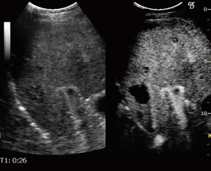
上記のような特性の異なるイメージは,組み合わせて表示することも可能である。Hybrid Contrast表示は,“Hybrid Map”を用いてTissueイメージにContrastイメージを異なる色調で重ね合わせたもので,背景となるTissueイメージ上に造影効果が色調の変化として表現されるため,造影効果の視認性が高まるとともに,対応部位の把握に有用である。Hybrid Angio表示は,ContrastイメージにAngioイメージを異なる色調で重ね合わせたもので,Contrastイメージが示す造影効果のうち,Angioイメージが示す血流像が異なる色調として強調されるため,早期相における血管構築の把握が容易となる(図2)。また,同時2画面表示“DualView”では,画面の右側には選択したイメージが,左側にはTissueイメージが表示される(図3)。これらの各種表示モードは,スキャン中,フリーズ後を問わず,タッチパネル等で容易に切り替えることができる。


図2 末梢型肝内胆管がんの表示モード切り替え例
図2 末梢型肝内胆管がんの表示モード切り替え例
(画像ご提供:江口病院・小野尚文先生)
 
図3 Contrast DualView
図3 Contrast DualView
(画像ご提供:駿河台日大病院 小川眞広先生)

■まとめ

Hybrid Contrast Imagingは,スキャン中・フリーズ後を問わず,診断目的に応じたイメージの選択や組み合わせが容易に行える。4Dプローブによるボリュームスキャンや,High-MI造影モード“Coded Harmonic Angio (CHA)”にも対応しており,今後,造影超音波のさらなる発展に寄与することが期待される。



【問い合わせ先】 超音波販売本部  TEL 0120-202-021