2008年4月号
Abdominal Imagingにおけるモダリティ別技術の到達点
CT−腹部領域におけるMDCTの臨床有用性
濱口 ちさ
CTセールス&マーケティング部
CT装置の進化は著しく,1998年に登場した4列MDCTからわずか6年後の2004年には32列,64列へと進歩を遂げた。MDCTは多列化に伴い,撮影時間の短縮化とともに高い分解能での的確な病変の把握を可能にした。
図1に示すように,64列MDCT「LightSpeed VCT」(以下,VCT)はディテクタが0.625mm×64で構成されているため,40mmのカバレッジを保ちながら0.625mmスライス厚の出力が可能である。医療現場において,ルーチンワークと精査を振り分けることなく検査を行うことができるのは,ワークフローの向上にもつながるであろう |

図1 VCT(64列)とBS Elite(16列)のディテクタ構成 |
■ 短時間撮影
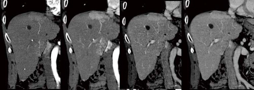
腹部領域において,VCTは250mmの範囲をわずか2秒にて撮影可能である(図2)。そのため,タイミングへの考慮が必要であるが,SmartPrepを使用することにより,最適なタイミングでの撮影ができ,動脈相・門脈相・平衡相の分離が容易である。
|

図2 64列と16列の撮影時間比較 |
■ 被ばく低減
CT装置の普及とともに,被ばくに対する関心も増している。特に,多相撮影が要求される腹部領域においては,画質と被ばくのバランスが要求される。
弊社のMDCTは被ばく低減に向けさまざまな技術を搭載している。
1.コリメータ制御
スライス厚制御方法には2通りの方法があり,被検者透過後のX線ビームを検出器前面にて設けたコリメータ(post-patient collimator)で絞る方法と,被検者に入射する前にX線管球側で絞る方法がある。後者の方法を採用することで,被ばく低減に努めている。
2.Active Focal Tracking
通常,MDCTは管球焦点の熱膨張によりX線ビームのブレが生じる。そのため,データ欠損を防ぐ目的でビームをある程度広げている。しかし,ビーム幅を広げると被検者への被ばくが多くなる。弊社では1/500秒ごとにX線ビームの位置をモニタし,コリメータを移動させることでX線ビームのブレを0.02%以内に保ち,被ばく低減に努めている。
3.Bowtie beam shaping filter
Bowtie beam shaping filterは,スキャン周辺部のX線量を低減し,表面線量の低減が望める。頭部および体幹部は形状が異なるため,複数の形状のBowtie beam shaping filterの中から最適なものを選択することで表面線量は最大で50%の低減が可能である。
4.Auto mA
Auto mAとは,被検者による固体差を考慮し,スキャン回転ごとに管電流を自動調整する機能である。画質はノイズ成分に左右されるため,ノイズ量を設定し管電流を調整している。装置上で設定可能なのは,ノイズ量(Noise Index),最小線量(Min mA),最大線量(Max mA)である。
小児や高感受性の臓器を撮影する場合は,通常の撮影よりもNoise Indexを上げ,管電流を下げるようなプロトコールを作成しておくのも術者ができる被ばく低減への試みである。Noise Indexに関しては,検査項目や各施設により設定値はさまざまであるが,スキャン計画を行った時点で線量を確認することも可能であり,また,CTDIvolやDLPも表示されている(図3)。画質と被ばくのバランスを図る意味でも,撮影前に確認していただきたい。
5.3D mA Modulation
人体は円筒形状ではなく,側面方向より正面方向の厚さが通常は薄くなる。そのため,内部と表面のSDが均一な画像となるように,管球移動に合わせて線量を変化させている。Smart mA機能がOFFの状態の場合は,1回転ごとに線量制御がなされる。
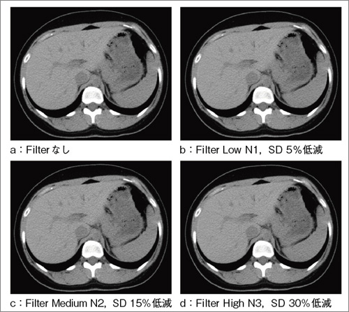
6.Neuro 3D Filter
Neuro 3D FilterはVCTに搭載されいるノイズ軽減フィルタであり,全身領域に使用可能である(図4)。MPRや3Dなどで使用する薄いスライスの場合,画像ノイズの増加が懸念されるが,Neuro 3D Filter使用により高画質を維持しながらノイズの低減が望める。
また,ルーチンワークに用いることで撮影時の線量を抑え,より低被ばくな撮影が実現できる。 |

図3 吸収線量情報 |
| |

図4 Neuro 3D Filterの画像比較 |
■ 画像再構成
臨床現場において三次元画像は,診断のみならず治療,手術計画への需要も高まっている。また, CT装置の向上とともにワークステーションの進歩もめざましい。
三次元画像については作成時間の短縮が望まれるが,弊社の「Advantage Workstation 」(以下,AW)は臨床医が必要とする画像作成を追求し,2Dと3Dを融合をさせた画像を簡便に処理・加工できる。以下では,臨床現場で要望される画像を紹介する。
1.MPR
多くの施設でaxial像とともにMPR(MultiPlanner Reconstruction)像の提出がルーチンワークとなりつつある。MPR像は,腫瘍の進達度評価,病巣の位置確認,進展度,病変と脈管との関係など多くの情報を得ることができる(図5)。また,ワークステーションを自社開発しているため, AWとCTに搭載されているワークステーション機能の操作性が統一されている。
2.MiP
MiP(Maximum Intensity Projection)像は,病変と脈管との関係の情報を得るために必須の画像であるが,いかに簡便に骨抜きを行うかが問題となる。
しかし,AWではAuto Remove Bone機能により骨の解剖学的な形状を認識し,ボタンワンクリックにて骨削除を可能にした(図6)。
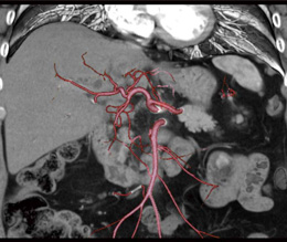
3.VR
VR(Volume Rendering)は,形状診断には欠かせない画像である。近年はカテーテルによる血管撮影の代替となりうる画像が提供可能である。脈管の走行を把握するため,観察したい血管のみの抽出がAdd Vessel機能により簡便に行える。また,肝動脈と門脈を重ね合わせたり,MPR像に重ね合わせたりと簡便に加工が可能である(図7,8)。 |

図5 ダイナミック検査における時相ごとのMPR像 |
| |

図6 Auto Remove Bone機能 |

図7 肝動脈と門脈の重ね合わせ画像 |

図8 肝動脈とMPRの重ね合わせ画像 |
MDCTが急速に普及し,高速かつ高精細な画像の提供はいまや日常的なことである。VCTの高速化を実現させたのは40mm/1回転とハイピッチの組み合わせであり,高画質を提供するには800mAの大出力X-ray Tube,HiLight検出器などの技術が欠かせない。
GEはハードとソフトのベストバランスをもとに,進化し続けるCTを提案していきたい。 |
【問い合わせ先】
CTセールス&マーケティング部 TEL 0120-202-021