GEヘルスケア・ジャパン
Technical Note

2008年4月号
Abdominal Imagingにおけるモダリティ別技術の到達点

MRI−腹部MRIにおける技術動向

鵜池 充宏
MRセールス&マーケティング部

Signa HDシリーズ(Signa HDx,Signa HDe)は最高の検査クオリティを提供するために,ハードウエアのあらゆる部分が磨き上げられたシステムとなっている。
理想どおりの傾斜磁場波形を生成し,再現性の高い印加を可能としたHD Gradientや傾斜磁場印加の最適化を行ったGSCテクノロジーは,EPIなどでアーチファクトのない画像を得るために高い精度で傾斜磁場をコントロールしている。高いSNRと広い撮像範囲の両者を実現するために最適化されたHD Body Arrayコイル(図1)は,高精細画像を短時間で撮像するためには不可欠である。また,3D撮像が多用化される腹部の検査にも十分耐えられるように,新たなXVRE(eXpanded Volume Reconstruction Engine)を搭載し,圧倒的なデータ処理スピードを実現している。
本稿では,そのような最適化されたハードウエアに搭載されている多彩な腹部アプリケーションについて,今後の展望も含めて概説する。
図1 HD Body Arrayコイル
図1 HD Body Arrayコイル

■ LAVA & LAVA-XV

上腹部をはじめとする3D造影ダイナミックスタディにおいて,高いT1コントラストが得られるアプリケーションであるLAVA法が,新しく開発された2Dパラレルイメージング法であるGEM(Generalized Encoding Matrix)アルゴリズムを併用することにより,さらなる高速化と広範囲撮像を可能にした。これがLAVA-XVである(図2)。
GEMアルゴリズムではバリアブルサンプリングを採用し,本スキャンデータの一部をキャリブレーションデータとして共有しているため,1回の撮像でデータ収集を完了できる。これにより,息止めが不安定な患者さまの撮像においてパラレルイメージングの問題点の1つである位置のミスマッチが発生しにくくなり,アーチファクトのない高画質画像を提供できる。また,いままでと同一撮像時間で広範囲撮像が可能なことから,LAVA-XVは腹部全体をカバーするような広範囲撮像にも対応可能なだけでなく(図3),Iso-Voxel撮像による高画質3D画像からのリフォーマット観察も可能である(図4)。
また,2008年に入ってバイエル薬品社より発売されたMRI用肝臓造影剤「EOB・プリモビスト」を用いた検査においても,非常に良好なコントラストが得られている(図5)。


図2 ASSETからGEMへの進化
図2 ASSETからGEMへの進化

図3 LAVA-XVによる広範囲撮像
図3 LAVA-XVによる広範囲撮像
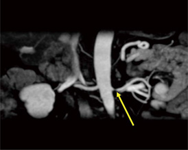
図4 LAVA-XV画像(動脈相)のリフォーマット
図4 LAVA-XV画像(動脈相)のリフォーマット
腎動脈の狭窄が確認できる。

図5 EOB静注時のLAVA画像:HCC症例(画像ご提供:市立旭川病院様)
図5 EOB静注時のLAVA画像:HCC症例(画像ご提供:市立旭川病院様)

■ TRICKS & TRICKS-XV

TRICKSは,高い空間分解能を有した高速造影3D Time Resolved MRA法であるが,パラレルイメージングとの併用が可能となったため時間分解能が大幅に向上し,真の4Dイメージングに近い撮像法TRICKS-XVへと進化した。この改良により,高い時間分解能が必要な腹部領域の血管系の観察にも適用の範囲が広がった(図6)。さらに,従来からの差分画像とベース部分の信号を重ね合わせることが可能となったため,血管と組織との位置関係の把握が容易になった。
また,造影タイミングをあまり考える必要のないTRICKS-XVの特徴を生かして,造影剤の投与を3回に分けてTRICKS-XVを3回適用し,最も必要とするフェイズのデータをMIP処理することで,広範囲の造影MRAを確実かつ高画質で提供することも可能である(図7)。


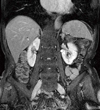
図6 TRICKS-XVによる高速4D MRA
図6 TRICKS-XVによる高速4D MRA
左腎静脈における異常血流を描出。
図7 3回のTRICKS-XV撮像による腹部〜下肢動脈撮像(画像ご提供:市立旭川病院様)
図7 3回のTRICKS-XV撮像による腹部〜下肢動脈撮像
(画像ご提供:市立旭川病院様)

■ 3.0Tの腹部撮像

頭部では圧倒的な画質を提供できる3.0T装置も,近年では腹部にフォーカスした最適化が進み,最近では1.5T装置と同等以上の画像を提供できるようになってきた。内蔵Bodyコイルを用いて撮像される全身DWIについても,1.5Tでスキャンされる画像と比較してまったく遜色がなく,SNRの点で言えばむしろ1.5Tよりも良好な結果を得ている(図8)。これは,高い静磁場均一性や高性能な内蔵Bodyコイルがあってこその結果である。
また,腹部検査も今後は3D撮像を行うトレンドに向かっている。学会ではすでに報告されているが,2point Dixon法の発展系で水・脂肪分離が高精度で行われるMEDALのベースともなる3D Dual Echoにより,1stサイクルのOut of Phase(TE=1.1ms)とIn Phase(TE=2.2ms)を1回の呼吸停止下で撮像することが期待されている(図9)。


図8 3.0T装置による全身DWI
図8 3.0T装置による全身DWI
内蔵Bodyコイルにて撮像。(画像ご提供:長野市民病院様)
図9 3D Dual Echoによるボリューム撮像(脂肪肝)
図9 3D Dual Echoによるボリューム撮像(脂肪肝)

■ その他の展望

パラレルイメージング法については,いままでの方法に加えてData Driven法を最適化したARC法が利用可能になる予定である。ARC法ではData Driven法の特徴から,FOV外にデータが存在しても折り返しのない画像を提供することが期待できる(図10)。このようにパラレルイメージングも,用途や部位に応じた最適化が加速されることが予想される。
また機能的な部分では,Multi EchoのSegmented Fast GREをベースとしたシーケンスで撮像した画像から,T2減衰の違いをカラーマップ化し(R2マップ),組織内鉄沈着の評価を行うことが期待される(図11)。


図10 ARC法によるリコンストラクション
図10 ARC法によるリコンストラクション
図11 肝臓内の鉄沈着の分布を表すR2*マップ
図11 肝臓内の鉄沈着の分布を表すR2マップ

以上,概説したようにSigna HD MRシリーズは,最適化された専用コイル,アプリケーション,高速画像再構成のそれぞれが相乗効果をなし,今後主流となるであろう「Volume MR」を容易に実現するためのシステムとして常に進化していくことが予想される。


【問い合わせ先】 MRセールス&マーケティング部  TEL 0120-202-021