GEヘルスケア・ジャパン

ホーム の中の inNavi Suiteの中の GEヘルスケア・ジャパンの中の Technical Noteの中の腹部領域における血管撮影装置「Innova4100IQ」の有用性

Technical Note

2008年4月号
Abdominal Imagingにおけるモダリティ別技術の到達点

DR/DA−腹部領域における血管撮影装置「Innova4100IQ」の有用性

三田 恵
インターベンション・X線イメージングセールス&マーケティング部

GEでは,2000年に世界で初めてフラットパネルディテクタ(FPD)搭載したフルデジタルX線血管撮影装置の発売を開始した。その後,循環器領域,頭腹部領域,全身多目的装置と次々に市場に製品を導入し,全世界で2000台以上のInnovaシリーズが稼働している。FPDのサイズ,シングルプレーンおよびバイプレーンを取りそろえ,臨床のニーズに合わせた最適な機種を提供してきた。
本稿では,腹部領域に最適なFPDを有する「Innova4100IQ」を中心に紹介する。

■ InnovaIQシリーズラインナップ

自社開発の20cm×20cm,30cm×30cm,40cm×40cmのFPDを用いて,臨床目的に合致したシステムラインナップを実現し,臨床施設の要望に応じた機器選択を可能にしている(図1)。
腹部領域においては,他領域の検査・治療に比較して視野の大きさが重要となる。クラス最大の40cm×40cm大口径正方形FPDは,全肝領域の撮影に最適なFOVを実現する。


図1 GE InnovaIQ Series Product Lineup
図1 GE InnovaIQ Series Product Lineup

■ 高DQEのFPD

自社開発のFPDはDQE(量子検出効率)の値が高く,高画質を低線量で得ることができる。特に,低線量のDQEは比類がないほど高く,高品質な透視画像が得られる。また,透視画像をワンタッチで保存できるFluoroStore機能により,撮影画像に代わり透視画像を用いることで大幅な被ばく低減も可能である。

■ 高精細3D 画像をフルオート,高速再構成

本装置においては,FPDを秒間40°の回転速度で200°の範囲を回転させ,毎秒30フレームの画像を撮影することによりコーンビームCT(CBCT)が撮影可能であり,直径約25cm,高さ約25cmの円筒形のボリュームデータを獲得することができる(図2 a)。
Innova3Dは回転データ収集後,画像転送から3D画像表示までをフルオートで行え,複雑な血管の走行を立体的に把握することが可能なアプリケーションである(図2 b)。栄養血管の特定を短時間で行うことができ,検査時間,被ばく,造影剤使用量の削減にもつながる。


図2 CBCT(a)とInnova3D(b)
図2 CBCT(a)とInnova3D(b)

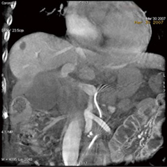
■ 高コントラスト&低アーチファクトな3D/CBCT

Innova3D+は,Innova3Dの回転速度を落として,収集フレーム総数を増やすことにより,軟部組織の観察により適した画像を収集するアプリケーションである。3D/CBCT画像が広範囲に撮影できるだけでなく,スライス厚を薄くした状態においてもきわめてアーチファクトが少なく,高コントラストな画像を得ることが可能である。肝細胞がんに対する肝動脈塞栓術の際など,DSAでは診断困難な肝動脈領域の小さな濃染像の検出にも有用である(図3)。

図3 CBCT
図3 CBCT

■ 栄養血管の特定が容易なワークステーションの操作性

axial/coronal/sagittal/obliqueなどの断層像,MIP,VR,MPR,navigator画像などの再構成画像を同時に表示可能である。4分割画面において3D画像と3断面画像を同時に表示でき,かつ,すべての画像においてカーソルを連動させて動かすことができるため,より詳細な血管走行や構造の把握が可能となり,栄養血管の特定を容易に行うことができる(図4)。ワークステーションの操作性の良さがスムーズな診断を可能にする。

図4 Advantage Workstationにおける4分割画面例
図4 Advantage Workstationにおける4分割画面例

■ 1回の造影で全下肢撮影が可能

InnovaBreezeは,全下肢の撮影を行うことができ,動静脈抹消血管の観察に有用である。
170cmストロークのテーブルを移動させながら下肢全域を遠隔操作で撮影する(図5 a)。撮影された画像は,各部位の血管像がシームレスに継ぎ合わされたPasted Imageがワークステーションで自動合成され表示される(図5 b)。画像は高精細であるため,画面上で拡大しても高画質である。

図5 InnovaBreeze
図5 InnovaBreeze

■ スムーズなワークフローを実現

ベッドサイドにて,3D画像の表示・操作を行うことができるインターフェイスであるIn Room 3D(図6)。3D画像の回転表示,距離・角度測定なども行える。術者自らが最適な観察角度を表示し,表示した3D画像の角度情報をアームと連動させることも可能である。

図6 In Room 3D
図6 In Room 3D

すでに血管撮影装置は,X線透視を用いた治療機としての位置づけが定着し,さらに高度な治療への貢献に加え,デジタル化,IT化,またはそれらを駆使した複合システムへの要望が日増しに大きくなってきている。
GEは今後,多様化・複合化する治療環境への要望に応えるべく,グローバルな企業力を生かし,診断・治療環境を提供していきたい。


【問い合わせ先】 I&XI セールス&マーケティング部 TEL 0120-202-021