GEヘルスケア・ジャパン

ホーム の中の inNavi Suiteの中の GEヘルスケア・ジャパンの中の Technical Noteの中のVolume MR時代に向けた新しい技術

Technical Note

2008年9月号
特集−Step up MRI 2008−Z 技術開発最前線

MRI−Volume MR時代に向けた新しい技術

中上 将司/打木 薫和
MRセールス&マーケティング部

“Volume MR”のコンセプトをもとに開発された「Signa HDx 3.0T/1.5T」は,全身領域におけるボリューム撮像をルーチン検査において高画質で得ることを可能としたMRI装置である。
本稿では,このVolume MRおよび,これらを発展させる新しいVolumeアプリケーションを紹介する。


◆Volume MRを実現する3つの要素(図1)

近年,MRIにおいてもボリューム撮像へのニーズが高まるなか,この最大の利点とされるスライス方向への高分解能化(薄いスライスでの撮像)に対しては,高性能なフェイズドアレイコイルが必須となる。実際,従来の2D撮像では3〜5mmのスライス厚によるデータ収集が一般的に用いられてきたが,後述する“Cube”をはじめとするボリューム撮像では0.8〜2mmのアイソトロピックボクセルによるデータ収集が行われるため,コイルに求められる性能,特に高いSNRを得ることが非常に重要となる。Signa HDxでは,「HDコイル」と呼ばれる各領域に最適化されたデザインを持つ8チャンネル以上の高性能フェイズドアレイコイルを有しており,“LAVA”や“VIBRANT”,“TRICKS”といったGEの代表的なVolumeアプリケーションと組み合わせることで,高品位な画像を得ることができる(図2,3)。その一方で,ボリューム撮像によりもたらされる膨大な画像データが検査効率の低下を引き起こさないためにも,リコンストラクションエンジンの性能の向上は非常に重要な鍵となる。そこでGEでは,前モデルから自社従来比で約4〜6倍までリコンストラクションスピードを高速化した“XVRE(eXtended Volume Reconstruction Engine)”を搭載することにより,ストレスを軽減した検査環境を構築している。
このように,高性能フェイズドアレイコイル,高速リコンストラクション,そしてVolumeアプリケーションが三位一体で有機的に作用するSigna HDxは,真の“Volume MR”として,より多くの臨床情報を提供することができる(図1)。


図1 Volume MRを実現する3つの要素(HDx 1.5Tの例)
図1 Volume MRを実現する3つの要素(HDx 1.5Tの例)
各部位に最適化されたコイルと各領域別のアプリケーション,そして超高速リコンストラクションとがバランス良くそろっていることが重要である。

図2 Gd-EOB-DTPAにおけるLAVA(1.5T)
図2 Gd-EOB-DTPAにおけるLAVA(1.5T)
高分解能撮像における高いSNRと,均一な脂肪抑制効果により,
Gd-EOB-DTPAでの肝細胞造影相において非常に良好な画像が得られている。
(画像ご提供:古賀総合病院様)
  図3 VIBRANT(両側同時乳房撮像)(1.5T)
図3 VIBRANT(両側同時乳房撮像)(1.5T)
ボリュームデータとして取得した後,任意の断面にリフォーマットした例
(画像ご提供:北里大学病院様)


◆Volume MRを発展させる新しいアプリケーション

GEは,このVolume MRのコンセプトをさらに発展させる方向として,“Cube”および“IDEAL”という新技術を発表している。以下ではその特長を紹介する。

1.Cube
Cubeは,アイソトロピックなボリュームデータでT2強調やプロトン密度強調,FLAIRを得ることができる撮像法である。アイソトロピックな分解能を有するため,1度撮像を行えば,後から任意の断面にリフォーメーションを行うことで高品位な画像を提供することが可能である(図4)。 従来の3D FSE法では,エコートレインを長くすると,T2減衰によるブラーリングが問題となるほか,実効TEが延長するため,主にMRCPなどのheavy T2強調の撮像に用途が限定されていた。Cubeでは,リフォーカスパルスのフリップアングルを変化させることで,非常に長いエコートレインでのデータ取得を可能とし,そして,通常のFSE法とコントラストが大きく変わることのないようリフォーカスパルスの最適化を行っているため,コントラストの良好な高分解能画像を取得することができる。
今回新たに加わったパラレルイメージング手法である“ARC”を併用することで,元来“ASSET”が苦手としていたFOVを絞った状態でのパラレルイメージングによる撮像の高速化も可能となり,より高分解能な画像が,短時間で容易に取得できるようになった。なお,通常の3D FSE法より小さなリフォーカスパルスを連続的に用いるため,SARの大幅な低減も実現している。

2.IDEAL
IDEAL(Iterative Decomposition of water/fat using Echo Asymmetry and Least-squares estimation)は,水と脂肪のケミカルシフトを利用して水脂肪分離画像を生成する手法である。具体的には,3つの異なるTEで得られたデータを用いる3point Dixon法を応用している。ただしIDEALでは,従来のDixon法とは異なり,各ピクセルにおける静磁場不均一の算出を行っており(Field map calculation),より正確な水と脂肪の分離を行うことが可能となる。いままでCHESS法などの方法では,均一な脂肪抑制効果が得られにくかったオフセンターなどでの撮像や,サセプタビリティの影響により十分な脂肪抑制効果が得られない部位においても確実な水脂肪分離を行うことができる(図5)。
なお,IDEALはグラディエントエコー系のシーケンスのみならず,FSE法との組み合わせが可能な,汎用性の高いアプリケーションである。特に,磁化率の影響を受けやすい3Tでの有用性が期待される。


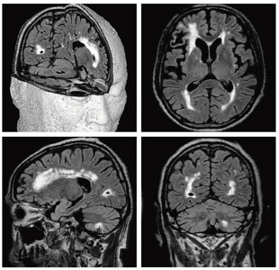
図4 CubeによるFLAIR撮像(1.5T)
図4 CubeによるFLAIR撮像(1.5T)
アイソトロピックな分解能で撮像しているため,
リフォーマットしても良好な画像が得られる。
(画像ご提供:東京大学医学部附属病院様)
  図5 IDEALを用いた造影後T1強調像(1.5T)
図5 IDEALを用いた造影後T1強調像(1.5T)
a,b:冠状断像 c,d:横断像
CHESS法などでは不可能であった複雑な形状や空気と接するような領域においても,均一な脂肪抑制効果が得られ,炎症を起こしている動脈壁の肥厚と異常増強効果が明瞭に観察できる。
(画像ご提供:東京大学医学部附属病院様)

GEは“Volume MR”のコンセプト,すなわちMRIの持つ多様なコントラスト情報を生かし,特にスライス方向への空間分解能をさらに向上させ,かつ日常検査に無理なく組み込むことをめざして,今後もハードウエア,ソフトウエアの開発を行っていく。



【問い合わせ先】 MRセールス&マーケティング部  TEL 042-585-9360