GEヘルスケア・ジャパン

ホーム の中の inNavi Suiteの中の GEヘルスケア・ジャパンの中の Technical Noteの中の高感度MRIと高分解能USによるFusion Imaging LOGIQ E9“Volume Navigation”

Technical Note

2009年8月号
究極のデジタルマンモグラフィに向けて−最新技術解説

US−高感度MRIと高分解能USによるFusion Imaging LOGIQ E9“Volume Navigation”

●微小石灰化の検出能を向上

プローブの素子を厚み方向にも配列することで,三次元ビームフォーミングを実現しています。
プローブ直下から深部まで均一で薄い超音波ビームで,わずかな疾患や微小石灰化をとらえます。

LOGIQ E9
LOGIQ E9

●Volume Imagingで客観性を向上

3Dプローブを用いて,疾患を立体的にとらえます。通常のプローブでは得られないC断面や任意断面の情報が,検査者に依存せず容易に得られます。CTやMRIと同様な複数断面表示による画像解析も行え,腫瘤や乳管の広がり,乳がんによる周囲組織引き攣れなどが確認できます。

3DプローブによるTUI表示
3DプローブによるTUI表示

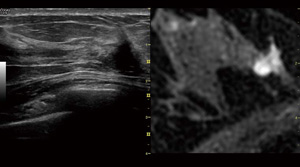
●Volume NavigationでMR画像と対比

超音波の高分解能やリアルタイム性と,MRIの高感度や客観性を組み合わせることが可能です。リアルタイムに超音波とMRIの対比画像が表示されますので,詳細な比較検討が行えます。拡がり診断,副病変の確認,セカンドルック,手術範囲の評価などに期待されます。

Volume Navigation
Volume Navigation


【問い合わせ先】 カスタマーコールセンター  TEL 0120-202-021