GEヘルスケア・ジャパン

ホーム の中の inNavi Suiteの中の GEヘルスケア・ジャパンの中の Technical Noteの中の超音波診断装置上におけるリアルタイムImage Fusion技術

Technical Note

2010年4月号
Abdominal Imagingにおけるモダリティ別技術の到達点

US−超音波診断装置上におけるリアルタイムImage Fusion技術

小笠原正文
超音波技術製造本部超音波研究開発部

超音波診断装置は他のモダリティに比べ多くの利点を持つが,検査者依存性や客観性の点でCTやMRIに対し劣っていると考えられている。このような特性を補うために,超音波診断装置に他のモダリティの画像を読み込み,超音波画像とフュージョン表示する技術“Volume Navigation”が開発された。
本稿では,Volume Navigation機能の概要と期待される応用例について述べる1)

■ Fusion Imaging

マルチモダリティの画像をフュージョン表示し,診断の精度を上げる試みはCT,MRI,PET間で先行技術開発が進み,製品化も行われている2)。超音波診断装置と他のモダリティのImage Fusionも1990年代より試みられていたが3)4),超音波の特性を生かすためのリアルタイム性や超音波画像の位置の同定などの難点があり,製品化が遅れていた。しかし,最近のCPU処理速度の大幅な改善や,位置を同定するための磁気センサーの発展などがあり,超音波診断装置上でリアルタイムにマルチモダリティ画像をフュージョン表示することが可能となった。
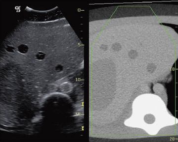
図1にImage Fusionの一例を示す。画面の左側には超音波のリアルタイム画像が表示され,右側には超音波画像の断面位置に対応したCT画像が同期表示され,両者の画像が容易に比較参照できるようになっていることが理解される。参照画像として表示されるCT画像は,あらかじめDICOMで保存されたデータを記録媒体もしくはネットワーク経由で,超音波診断装置上にダウンロードされている必要がある。


図1 超音波とCT,MRIのフュージョン表示
図1 超音波とCT,MRIのフュージョン表示

■ 超音波画像の位置検出

超音波画像の位置検出は,磁気センサーを用いて行われている。図2は,超音波プローブの位置検出システムを示している。ベッドサイドに磁気トランスミッタが配置され,プローブには磁気センサーが2個取り付けられている。磁気トランスミッタからは,X,Y,Z方向の磁場が時間的に切り替えられて放射され,それに同期してセンサーがX,Y,Zの位置とそれぞれの軸に対する回転を検知することで,プローブの空間的な位置と向きを検出している。磁気センサーは位置検出のみを目的とするのであれば,1つで十分である。しかし,磁場に何らかの干渉が加わって磁場歪が生じてしまったり,磁場強度が十分でないような場合,位置検出精度が著しく劣化する。このような状況に備え,位置検出精度を評価するため,磁気センサーを2つ実装し,両者の位置検出結果を比較して誤差を確認している。評価された位置精度は画面上に棒グラフ表示され,位置検出システムが正常に動作できているかを操作者に知らせている。


図2 プローブの位置検出システム
図2 プローブの位置検出システム

■ 画像の位置合わせ

複数モダリティの画像をフュージョン表示するためには,画像間の位置合わせを行う必要がある。図3には,画像間の位置合わせの概念が示されている。本機能を搭載する弊社超音波診断装置「LOGIQ E9」ではいくつかの位置合わせの手法を持っているが,ここでは最も簡単な方法について説明する。まず,超音波画像の断面が,他モダリティの断面とほぼ平行となるようプローブを操作する。超音波画像上で目印となるような特徴のある部位を探し,その部位をマーキングする。マーキングした時点で超音波側の画像はフリーズ状態になるので,その画像を参照しながら他モダリティで同じ特徴を持つ部位が現れるまでプローブを走査する。同一部位と思われる断層画像が得られた所で,超音波画像上の目印位置と思われる部位にマーキングを行う。
以上の作業により,超音波画像と他モダリティ画像の位置合わせに必要なパラメータが得られる。これ以降は,装置の中で両画像を一致させるための座標変換が自動的に行われ,超音波のリアルタイム画像に追従して,それに対応した他モダリティの断層画像が表示される。位置合わせされた画像は左右に並べて表示したり,一方の画像をカラーコード化し,他方のグレイスケール画像に重畳表示したりすることができる。


図3 2モダリティ間の位置合わせの概念
図3 2モダリティ間の位置合わせの概念

■ GPS機能

超音波画像の位置検出システムによれば,空間上の特定の点と現在のスキャン断面との位置関係を正確に検出することができる。この特徴を利用して,マーキングされた部位と現在のスキャン断面との位置関係を断層画像上に示す機能が“GPS”である。
図4にGPSの一例を示す。断層画像上に表示されるの大きさは,あらかじめマーキングされた関心部位との距離を示している。距離が離れればは大きくなり,近づくに従って小さくなる。マーキングされた部位と一致した場合は+マークに変わる。また,の色はどちらの方向にずれているのかを示している。したがって,の色と大きさを確認することによって,現在の断面が関心部位に対しどのようなズレを持っているか,簡単に認識することができる。この機能を用いると,プローブの走査部位を変えたり,検査者が変わったりしても簡単に関心部位を探すことができる。また,画像上でGPSマーカーを複数設定することができるので,腫瘍の数を数えたりするような使い方もできる。


図4 GPSマーカーの表示例
図4 GPSマーカーの表示例

■ 応用例

Volume Navigationのいくつかの応用例を示す。図5はCTで検出され,超音波では明瞭に描出されない病変をVolume Navigationを用いて,CT画像を参照しながら超音波断層上で腫瘍の位置を再確認し,超音波ガイド下穿刺を行っている例である。
図6は肺への適用である。臓器としての肺は中空であり,超音波にとって適用が難しい領域の1つである。体表から肺へ穿刺を行う場合,気胸が伴うために非常に慎重な対応が必要になる。このような場合でも,もし,腫瘍が肺の体表近傍にあれば,CT画像を参照としたVolume Navigation機能を用いることにより,超音波ガイド下でより安全に穿刺が可能となる。
現在,前記の領域以外でも体表臓器,整形などで種々の応用が試みられている。


図5 腹部消化器領域での適用例
図5 腹部消化器領域での適用例

図6 肺への適用例
図6 肺への適用例

Volume Navigationを用いることで,超音波の欠点と言われていた客観性を向上させることができた。また,超音波だけでは確認が難しいような病変であっても,他モダリティの画像とのフュージョン表示を行うことにより,超音波画像上で検出が可能となった。こうした特性を生かし,穿刺や治療の補助,治療効果の判定などで有効性が確認されている。また,GPSマーカーによれば,検査効率の改善も期待できる。さらに,CTやMRIの画像と対比しながら超音波の画像が確認できるため,教育的上の用途も期待される。


●参考文献
1) 小笠原正文 : マルチモダリティによるFusion Imaging技術について. 超音波検査技術, 34,・4, 482〜487.
2) http://www.medical.siemens.com/siemens/en_US/gg_nm_FBAs/files/brochures/rebranding2005/Fusion7D_Insert.pdf
3) Trobaugh, J.W. et al. : Frameless Stereotactic Ultrasonography ; Method and Applications. Computerized Medical Imaging and Graphics, 18・4, 235〜246, 1994.
4) Holupka, E.J., et al. : Ultrasound Image Fusion for External Beam Radiotherapy for Prostate Cancer. Int. J. Radiation Oncology. Biol. Phys., 35・5, 975〜984, 1996.


【問い合わせ先】 超音波本部ジェネラルイメージングMK部  TEL 0120-202-021