GEヘルスケア・ジャパン

ホーム の中の inNavi Suiteの中の GEヘルスケア・ジャパンの中の Technical Noteの中の3T装置の最新ハードウエアとアプリケーション

Technical Note

2010年9月号
Step up MRI 2010−MRI技術開発の最前線

MRI−3T装置の最新ハードウエアとアプリケーション

内海一行
MRセールス&マーケティング部

本稿では,近年の3Tの技術進歩として取り上げられることの多い,体幹部領域での均一性の向上に関してハードウエアの見地で概説する。また,3Tとしてのメリットをより生かすための2つのアプリケーション,3D ASLとFLEX(LAVA-FLEX,VIBRANT-FLEX)について述べる。


●3T装置のハードウエアの進歩と“B0+B1”の重要性

頭部領域において圧倒的な存在感を示してきた3T MRIであるが,体幹部領域においては“均一なRF送信を行う”というベーシックな部分で技術的な課題を抱えてきた。体幹部領域の不均一性は,磁化率,誘電率,導電率および浮遊容量と複数の因子が存在し,これらの影響は1.5Tではほとんど問題にならなかったが,3Tでは顕在化している。
まず,磁化率に関しては装置の静磁場均一性(B0)が重要である。静磁場均一性は,画像の均一性のみならず,脂肪抑制の均一性など装置全般のベースとして働く。GEでは,3T装置は1.5T装置よりも高い静磁場均一性が必要と考えており,現在0.25ppm(40cmDSV/VRMS測定)の高い均一性を達成した自社製マグネットを採用している。優れたB0がベースにあって,後述するB1の改善が効いてくる(図1)。
次に誘電率,導電率に関して,近年の3T装置ではRF Shimmingが開発された。これはボディコイルへの給電点に位相,振幅の一方もしくは両者を制御して,楕円状の磁場を発生させる技術である。楕円状の磁場は人体の横断像に近い形状を示し,結果として,体幹部の送信均一性(B1)を向上させる。GEが採用するelliptical drive“EllipTx”は,位相の最適化により人体に合わせた楕円送信を行っている(図1)。

図1 超伝導シムとEllipTXのコンセプト図
図1 超伝導シムとEllipTXのコンセプト図
高いB0均一性と高いB1均一性の両方が均一な送信のために必要である。

また,新機種「Discovery MR 750」に搭載した4 Point Driveは,送信用ボディコイルへの給電点を従来の2点から4点に増やした技術であり,浮遊容量による影響を低減している(図2)。送信用ボディコイルの各エレメントは,給電点から離れるほど,また,撮像対象に近いほど浮遊容量による電気的結合が起こり,理想的な電流分布との間にズレが生じてしまう。4 Point Driveはこれを是正し,理想的な電流分布をキープするための機構である。上記のとおり,体幹部での均一性を向上させるためには,いかに優れた“B0+B1”をハードウエアレベルで実現できるかがキーとなる。

また,受信側のハードウエアに関しては,32チャンネルのRFコイルが登場している(図3)。特に体幹部用の32チャンネルコイルでは,広範囲(Z方向48cm),高SNR,パラレルイメージングの高リダクションファクタを使用して,より短い時間で高画質なボリュームデータの取得が可能である(図4)。
次に頭部領域,体幹部領域の最新のアプリケーションについて述べる。

  図2 4 Point Driveのコンセプト図
図2 4 Point Driveのコンセプト図
給電点を2点から4点へ増やしたことで,浮遊容量による影響の低減を図り,均一で安定したRF送信を可能としている。

図3 体幹部用32チャンネルコイル
図3 体幹部用32チャンネルコイル
上下2ピース構造で,Z軸方向に48cmの感度を有している。
図4 体幹部用32チャンネルコイルを用いた画像例
図4 体幹部用32チャンネルコイルを用いた画像例
前立腺がん,T2強調FSE,FOV 20cm,4mm,4min22s
(画像ご提供:聖隷浜松病院様)

●3D ASL

GEでは,3T装置を中心に非造影での灌流画像撮像手法を国内外の多くの施設と共同研究を行ってきた。そのフィードバックを受けて製品化を進めてきたのが“3D ASL”である。
非造影の灌流画像撮像手法の代表的な方法は,ASL(arterial spin labeling)である。ASLは,以下の方法によって非侵襲的に灌流画像を得る。(1)観察したい断面より手前の流入側の動脈に,血流標識のためのプリパレーションパルスを与え,その後,標識された血流が観察したい断面に到達した時点で撮像を行う。(2)標識用のプリパレーションを用いずに撮像を行う。そして,(1)と(2)の差分を取ることで灌流画像を得る。いままでプリパレーションパルスには,技術的な容易さからFAIR(flow-sensitive alternating inversion recovery)など反転パルスを血流標識パルスとして使用する単発パルスタイプのASL(PASL)が中心であった。今回新たに開発された3D ASLでは,RFパルスを連続的に照射することにより,標識した血流が連続的に撮像面に流入するよう設計されたコンティニュアス(連続波)タイプを用いた方法(CASL)である。GEでは本手法をPulsed continuous arterial spin labelingと呼んでいる(図5)。
本法のメリットは,血流標識の効率が良いためSNRに優れた灌流画像が得られることや,3D収集により従来のパルスタイプに比べて広範囲撮像が可能であることが挙げられる。また,リードアウトにFSEを用いているため,脳底部から頭頂部まできわめて低歪みであり,他の画像との重ね合わせなども容易である。図6に,頭部の3D T2強調像(Cube)に重ね合わせを行った,3D ASLによるCBFのカラーマッピングの画像例を示す。


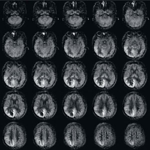
図5 3D ASL(CBFマッピング)による脳膿瘍の画像例
図5 3D ASL(CBFマッピング)による脳膿瘍の画像例
4mm thickness,25slices,5min18s
(画像ご提供:徳島大学様)
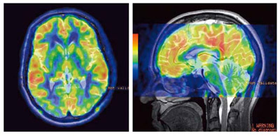
図6 3D ASL(CBFカラーマッピング)
図6 3D ASL(CBFカラーマッピング)
CubeによるT2強調のボリューム撮像との重ね合わせ。
3D ASLはリードアウトをFSEとしているため,比較的容易に他の画像とのフュージョンが可能である。

●FLEX(LAVA-FLEX,VIBRANT-FLEX)

3Tは,静磁場の不均一に対して敏感であり,0.25ppmの高均一マグネットを搭載していても,局所的な静磁場不均一が大きい部位では通常の脂肪抑制だと十分な抑制効果が得られない場合がある。そのような際に有効な手法の1つが,ここ数年GEが力を入れてきた“IDEAL”である。IDEALでは,水と脂肪が非対称となる3つのTEのデータを収集し,得られたデータから局所的な静磁場不均一性をピクセルごとに求める(フィールドマップ)。算出された静磁場不均一性を画像再構成時の位相補正に用いることで,正確な脂肪抑制を可能としている。
新たな脂肪抑制手法であるFLEX(LAVA-FLEX, VIBRANT-FLEX)も,上記のIDEALと似ている。異なるのは,水と脂肪がin-phase,およびout of phaseとなる2つのTEのデータを収集する点である。IDEALに比べてデータ収集が少ない分,撮像時間はFLEXの方が有利であり,3Dの息止め撮像やダイナミック撮像に用いることができる(図7,8)。
ここでFLEXのTEに注目してみると,高分解能マトリックスの設定であっても,最初のout of phase(TE=1.1ms近傍)と隣のin-phase(TE=2.2ms近傍)で収集が可能である。TEが短ければ,その分TRも短く設定できる。実際,LAVA-FLEXのTRは通常のLAVAのTRと大きく変わらないため,脂肪抑制により優れたLAVA-FLEXをダイナミック撮像の常用シーケンスとして選択可能である。これは3Tのメリットと言える。シンスライスかつ高SNRな3Dデータは,体幹部においても高いクオリティの“Volume MR”を提供できる。


図7 LAVA-FLEXの画像例
図7 LAVA-FLEXの画像例
体幹部用32チャンネルコイルによるコロナル撮像。造影後,門脈相のボリュームデータからのボリュームリフォメーションによる門脈の描出。大きなFOVでも均一な脂肪抑制を実現。
(画像ご提供:聖隷浜松病院様)
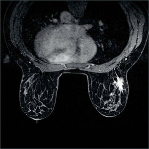
  図8 VIBBRANT-FLEXの画像例
図8 VIBBRANT-FLEXの画像例
浸潤性小葉癌のVIBRANT-FLEXによる造影後アキシャル像。
心臓からのアーチファクトも非常に少ない。
(画像ご提供:聖隷浜松病院様)

3T MRIは,問題点を技術的に克服し,利点を臨床アプリケーションとして形にすることでその活用範囲と有用性は広がっていく。今後も優れた画質を得るためのハード・ソフト開発を行っていく所存である。

モダリティEXPOへ

【問い合わせ先】 MRセールス&マーケティング部  TEL 042-585-9360