ホーム
inNavi Suite
GEヘルスケア・ジャパン
Technical Note
Discovery MR750w 3.0T─Insightful Technology, Caring Design
2012年9月号
Step up MRI 2012−MRI技術開発の最前線

「Discovery MR750w 3.0T」(図1)は,大学病院を中心に定評のある「Discovery MR750 3.0T」のハードウエア技術を継承したGE製3T MRIのプレミアム機種である。また,弊社では,RSNA 2011において,“Needle-Free”というコンセプトをMRの方向性の1つとして提示した。これは,さまざまな方面における非侵襲的なアプローチの結集であり,造影剤を使用せずに得る血流情報・灌流情報,前処置なしでの被写体の動きの抑制,あるいは針生検の回数を低減するための技術といった内容である。本稿では,Discovery MR750w 3.0Tに搭載された最新ハードウエア技術,特に3Tシステムにおける躯幹部領域の画質向上技術として発表されたRF送信技術“Multi Drive”と,新型RFコイル“GEM(Geometry Embracing Method)”を中心に述べた後,躯幹部領域におけるNeedle-Freeアプリケーションを紹介する。
●Multi Drive(RF送信技術)
3Tの躯幹部領域の撮像において,ムラのない画像を取得するために,さまざまなRF送信技術が発表されている。GEでは,前述のDiscovery MR750 3.0Tにおいて,人体の4方向からRF送信を行う“4point DRIVE”を開発した。今回Disocvery MR750w 3.0Tでは,4point DRIVEに加え,対角間のRFにおいて位相比と振幅比の異なるRFを照射するMulti Driveを採用し,撮像部位の形状だけでなく,体内の組成に合わせた理想的なRF送信が可能となった(図2)。

図2 RF送信技術の概念図
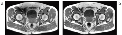
被検体ごとの最適なRF送信を行うため,B1 mapを作成する際にBloch-Siegert shiftを採用している。従来の方法などでは,T1値の影響を受けやすいため,TRを延長しないとその影響を除くことができず,B1 mapの撮像時間が延長してしまっていた。一方で,Bloch-Siegert shiftを用いたB1 mapは,原理的にT1値の影響を受けにくいため,撮像時間の延長はない。また,この手法では,被検体の形状と体組成の両方を考慮し,より正確なB1 mapの作成が可能である。図3に示すように,従来法と比較すると,より均一なRF送信を行うことが可能になる。Discovery MR750w 3.0Tでは“QD” “Preset” “Optimized”の3つのRF送信モードを有している。Optimizedモードでは,Bloch-Siegert shiftを用いたB1 mapにより,自動的に求められた位相比,振幅比に加えて,さらにマニュアル“RF Drive Settings”で微調整が可能であり,さまざまな状況に対応できるシステムになっている。また,均一性という観点からは,RF均一性はもちろんのこと,静磁場の均一性も必須である。優れた磁場均一(0.27ppm@40cmDSV, typical値)とこのMulti Driveの効果により,図4に示すように均一な脂肪抑制効果,および歪みの少ないhigh b-value DWIが可能となる。
![]() 図3 骨盤領域における比較 a:従来法 b:Multi Drive |
![]() 図4 Discovery MR750w 3.0Tの躯幹部領域の撮像例 a:乳腺領域DWI(上:b=1000s/mm2,下:b=2000s/mm2) b:前立腺DWI(上:b=1000s/mm2,下:b=2000s/mm2) |
●新開発RFコイルGEM
MRIのRF受信コイルは,部位別に最適設計された専用コイルと,患者テーブルとコイルが一体化した埋め込み式の2種類が現在の主流である。専用コイルは高画質撮像が可能だが撮像ごとにコイルを替える必要があり,一方埋め込み式コイルは利便性は高いものの専用コイルと比較すると,SNRが悪くなる傾向があった。Discovery MR750w 3.0Tでは,専用設計コイルの思想を受け継いだ新開発のRFコイルGEMを搭載,3種類の異なる形状のコイル素子を患者テーブル内に配列することで,局所専用コイルの高画質と埋め込み式コイルの高いスループットを同時に達成した。特に,脊髄領域においては,脊椎領域に適したコイルが中心部に配列されており,スループットを高めるだけでなく,高画質を実現できる設計となっている(図5)。
続いて,針生検によらない生体検査として,鉄沈着の影響を受けない肝臓の正確な脂肪含有率マッピング“IDEAL-IQ”,ならびに肝臓の相対的な硬さを画像化するアプリケーション“MR Touch”を紹介する。

図5 GEM Posterior Array(左)と従来の埋め込み式コイル(右)の構造比較
●IDEAL-IQ (脂肪含有率マッピング)
IDEAL-IQ開発の基礎技術となった3-point Dixon法の“IDEAL”,および2-point Dixon法の“FLEX”は,得られた信号から局所的な磁場不均一を算出(フィールドマップ計算)し,この情報を画像再構成の位相補正に用いることで,水・脂肪信号の分離を行っている。IDEALおよびFLEXのいずれにおいても,水・脂肪の分離を行っているが,肝臓領域において,ボクセル内の脂肪含有率(fat fraction)マッピングを正確に計算するには,もうひと工夫が必要である。これは肝臓内の生理的な鉄沈着によるT2*減衰の影響が無視できないためである。さらに,生体内の脂肪は,メインピークとは別の幾つかのケミカルシフトを有しており,これらも考慮する必要がある。そこで,新たに開発されたIDEAL-IQでは,6つ以上の異なるTEからエコー信号を受信し,増えた情報量からT2*の計算,ならびにマルチピークの脂肪量を計算する。これにより,1回の息止め撮像でIDEAL同様の水・脂肪の分離画像,さらにはボクセル内のR2*(T2*の逆数)マッピング,脂肪含有率マッピングを得ることができる(図6)。撮像は3Dでの撮像で,実際に作成したマッピング例を図7に示す。左は脂肪肝,右は正常肝の例であり,ROIを計測すると,明らかに異なる値が表示されている。
![]() 図6 IDEAL-IQの原理概念図 |
![]() 図7 IDEAL-IQの脂肪含有率マッピング例 a:fat fraction=31%(脂肪肝) b:fat fraction=2%(正常肝) |
●MR Touch(エムアール タッチ:「硬さ」の画像化)
次に,MR Touchの概略を述べる。MR Touchは,MRエラストグラフィ(MRE)と呼ばれている技術を製品化したものである。肝内の線維化が進行するにつれて増していくとされる,肝臓の硬さ(弾性率)を評価する手法である。機械室に置かれた“Active Driver”と呼ばれる振動発生装置で生まれた振動波は,空気チューブを伝わってMRIガントリーへ運ばれる。空気チューブの終端には,直径15cm程度の“Passive Driver”と呼ばれるトランスデューサーがついており,これを被写体の腹部に装着することで振動を与え,その波の生体内の伝播をMRIで画像化する方法である。波の性質として,軟らかい媒体を通過するときと,硬い媒体を通過する時では,伝播する波長が異なる。この波長の違いをMRIでキャッチし,最終的に物理量としての硬さに変換する。MR Touchにおいて使用するデバイスを図8に示す。最初に得られるのが,wave imageと呼ばれる位相画像である。ここからあるアルゴリズムを使用して,せん断応力(shear stiffness)を求め,硬さの指標として表している。このMR Touchは,前述のIDEAL-IQと組み合わせて,肝臓のびまん性疾患の評価のための新たなアプローチとして期待されている。

図8 MRエラストグラフィ(MRE)において使用するデバイスと出力データ
a:振動を発生させるActive Driver b:振動を患者へ伝えるPassive Driver
c:wave image d:せん断応力マッピング
以上,本稿ではDiscovery MR750w 3.0Tの最新ハードウエア技術,および“Needle-Free”コンセプトの中から,IDEAL-IQ,MR Touchを取り上げた。非侵襲性はMRIの大きな利点であり,この方向でのアプリケーション開発は,MRIの進んでいく方向性の1つであろう。また,従来のMRIではカバーできなかった領域が新たな開発で範疇に入ってくる可能性をまだまだ秘めたモダリティである。
*Discovery MR750w 3.0T
薬事認証上の販売名:ディスカバリーMR750w 医療機器認証番号:223ACBZX00061000
*Discovery MR750 3.0T
薬事認証上の販売名:ディスカバリーMR750
医療機器認証番号:221ACBZX00095000
(図1〜8 画像ご提供:聖路加国際病院様)