ホーム
inNavi Suite
日立メディコ
別冊付録
磁遊空間 Vol.19
超電導MRIの最先端アプリケーション ECHELON Vegaにおける新技術の開発
![]()
CURRENT TECHNOLOGY
超電導MRIの最先端アプリケーション
ECHELON Vegaにおける新技術の開発

日立の超電導型MRI装置「ECHELON Vega」は,被検者にやさしい検査環境の提供,高機能アプリケーションのサポート,将来の高い拡張性,機能と良好な操作性の両立,充実したリモートメンテナンスを特長とした最新のMRIシステムです。
ガントリ長160cmのショートボア,強力な傾斜磁場システム(33mT/m,150T/m/s)を備え,高機能撮像シーケンスが実現できる基本性能となっています。また,超電導型MRI装置の高い撮像機能を実現するために,多くの新技術が搭載されています。本稿では,ECHELON Vegaに搭載された最新のアプリケーションをご紹介します。
高画質化技術
■New FITT MRA
FITT(FIne Tune Technology)は,MRAの画質向上を実現した日立の総合技術です。永久磁石型MRIにおいて,MRAの画質向上のために開発された,さまざまな技術の総称です。今回,高磁場MRI装置のMRA画質をさらに向上するために,RFパルスの最適化,画像フィルタ形状の最適化,リフェーズ機能(傾斜磁場印加方法)の強化といった技術をさらに開発し,末梢血管,血管屈曲部の描出能を大幅に改善しました。
図1に,画像例を示します。広い撮像領域において,スラブ間の継ぎ目のない良好なMRA画像が得られています。

図1 New FITTによる頭部MRA画像
a:広範囲頭頸部MRA
b:全脳MRA
高速撮像技術
■Multi-Shot RSSG EPI(高分解能BOLD効果による高速撮像)
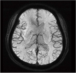
Multi-Shot RSSG EPIでは,磁化率効果による信号減衰だけでなく,磁化率の違う組織間のコントラストを強調した画像を得ることが可能です。高分解能なBOLD効果による静脈撮像として,脳静脈奇形や微小出血のスクリーニングへの応用が期待できる機能です。従来検討されているGRE撮像法ではなく,撮像時間が短いEPI撮像法を採用しました(図2)。

図2 Multi-Shot RSSG EPI MinIP画像
高機能撮像技術
■クリニカルMRS(MRSの進化)
MRSはケミカルシフト現象を利用して,生体内の分子(化合物)ごとの代謝物質を計測する機能です。MRS Dual Voxelは,同時に2領域のボクセルを設定してMRSを計測し,健側と患側の比較を容易に行うことができます(図3)。
CSI(Chemical Shift Imaging)は,この計測領域を画像に拡張し,生体内の代謝物質密度分布情報をカラーマップで表示できます(図4)。日立の特長は,これらの高機能な撮像,解析を,ワンボタンで簡単に利用することができることです。
![]() 図3 MRS Dual Voxel |
![]() 図4 CSI(Chemical Shift Imaging) |
μTE(TE短縮の新しいコントラスト画像)
■μTE(TE短縮の新しいコントラスト画像)
μTE計測機能は,T2値が非常に短い組織(1ms以下)を撮像する機能です。パルスシーケンスには2D GREをベースとしたハーフエコーのRADAR(ラジアル)計測を用います。
図5に,撮像原理を示します。TEを限界まで短縮するために,k空間の充填を中心から行うようにシーケンスを制御します。このため,RADARと同様の画像再構成技術が適用されます。
μTEでは,きわめて短いTE(第1エコー)で計測した画像と長いTE(第2エコー)で計測した画像を差分し,長いT2成分のみを除去した画像を出力できます(図6)。これにより,非常に短いT2組織の検出や画像化を実現し,軟骨粗鬆症の初期評価などに期待されています。また,高速な撮像切替えに対応した専用の高速受信コイルも新開発しました。
![]() 図5 μTEの撮像原理 |
![]() 図6 アキレス腱画像 |
VASC-ASL(Veins and Arteries Sans Contrast-Arterial Spin Labeling)
■VASC-ASL(Veins and Arteries Sans Contrast-Arterial Spin Labeling)
IRパルスによってラベリングした血流を描出する機能です。VASC-ASLは,非造影MRA撮像を目的としたシーケンスで,特に血流が速い腎動脈などの撮像に有用です。3D BASGシーケンスを採用し,心電,脈波同期は不要です。
図7は,VASC-ASLの原理です。IRパルスを,描出目的とする血管の上流部に空間選択的に印加し,血流がNullとなるタイミングで撮像を行うと,IRパルスを受けて流入した血流がBlack Bloodとして黒く描出されます。したがって,空間的IRパルスのON/OFFによる2回の撮像を行い,その差分画像を作成することにより,IRパルスでラベリングされた血流のみを高信号として描出できます。
図8に,門脈と腎動脈でのVASC-ASL画像例を示します。
![]() 図7 VASC-ASLの撮像原理 |
![]() 図8 VASC-ASL画像 |
(注)本稿でご紹介している最新技術は,一部に薬事申請中の内容が含まれておりますので,販売については個別にご確認ください。