ホーム
inNavi Suite
日立メディコ
別冊付録
磁遊空間 Vol.19
ECHELON Vegaによる新たな救急体制の構築で急性期医療に特化した病院改革に挑む
![]()
ユーザー訪問
ECHELON Vegaによる新たな救急体制の構築で急性期医療に特化した病院改革に挑む
臨床適応の広がりによりMRI撮像件数が大幅に増加
医療法人厚生会 小原病院
高まる医療ニーズや現在の医療情勢に対応するため,病院の新築や電子カルテの導入など,病院改革に次々と取り組んできた医療法人厚生会 小原病院。2008年10月には,急性期医療のさらなる充実をめざして,MRIを日立メディコの永久磁石型0.4TオープンMRI「APERTO」から超電導型1.5T MRI「ECHELON Vega」へと更新した。同時に,救急時の体制を一新して,24時間いつでもMRI撮像が可能になり,これまで以上に地域に大きく貢献している。MRI更新に伴う診療の変化と現状について,小原壮一院長,放射線科の庭月野 浩医師,白澤清英技師長にお話をうかがった。
![]() 小原壮一 院長 |
![]() 庭月野 浩 医師 |
![]() 白澤清英 技師長 |
関連病院との役割分担を明確にしより高度な医療の提供を開始
1918(大正7)年に,鹿児島県枕崎市に開院した医療法人厚生会 小原病院は,90年以上の長きにわたり,地域医療の中核を担い続けてきた。“枕崎を医療の過疎地にしてはならない”という理念のもと,系列病院である「立神リハビリテーション温泉病院」とともに,一次医療から三次医療まで幅広く対応している。
小原病院では,早くからCT,MRIなどの高度医療機器を導入し,最先端医療の提供に力を注いできた。しかし,現在の医療情勢に対応するためには,施設の方向性をより明確化する必要がある。そこで,医療法人厚生会では,立神リハビリテーション温泉病院の療養病床を医療型とし,一方,小原病院は急性期医療にシフトするという新たな方針を打ち出すとともに,2004年9月には,小原病院の建て替え新築工事に着手。工事がほぼ終了した2007年4月には,新院長に脳神経外科の小原壮一氏が就任した。
小原院長は,脳神経および循環器領域を中心とした急性期医療の提供という,具体的な方針を打ち出した上で,電子カルテの導入やMRIの更新,救急体制の強化,地域連携室の機能強化などを推進した。その結果,入院患者の在院日数が従来よりも約10日短縮したほか,入院患者数が約1.5倍に増加するなど,大きな成果を上げている。
![]() 手前左から小原院長,庭月野医師,白澤技師長, 奥左から岩崎 茜技師,押立知也技師 |
![]() ECHELON Vega |
診断能向上と撮像時間短縮をめざしECHELON Vegaを導入

「病院改革の流れの中で,特にMRIの更新と救急体制の強化は重要な課題でした」と小原院長は振り返る。
同院では,2003年からAPERTOが稼働しており,日常診療においては十分な役割を果たしてきた(磁遊空間Vol.7,6〜8P参照)。しかし,小原院長は,「その日のうちにMRI検査を行ってほしいという患者さんの要望に応え,かつ救急患者を多く受け入れてより高度な治療を行うためには,できるだけ早く,正確に診断しなければなりません。同時に,脳神経外科においては,拡散強調画像やMRAで,より高精細な画像が得られることを第一条件と考えると,1.5T以上の高磁場MRIが必須でした」と述べている。
そこで同院では,2007年5月から,使い勝手の良い1.5T MRIに絞って選定が開始された。各社の多数の1.5T装置の中から,ECHELON Vegaが選定された理由について,小原院長は,「選定の第一条件だった拡散強調画像とMRAの画質および撮像時間は申し分なく,装置の価格や,保守点検などのランニングコストについても納得できました」と述べている。白澤技師長も,「APERTOで高画質が得られていたので,同じメーカーのECHELON Vegaについても,性能への信頼と期待がありました」と述べており,総合的な評価の高さとこれまでの実績が決め手となった。
脂肪抑制と磁場の均一性に優れたECHELON Vegaの高画質を評価
2008年10月にECHELON Vegaが稼働を開始すると,すぐに通常通りの検査を開始したため,画質の調整にはやや苦労もあったというが,一方で庭月野医師は,「ECHELON Vegaは,診断する上で重要な脂肪抑制と磁場の均一性に優れていたので,非常にポテンシャルの高い装置であるという実感を持ちました」と述べている。そこで,地元の大学病院の協力を得ながら調整を重ね,1〜2か月程度で安定稼働させるに至った。
実際の画質について,小原院長は,「拡散強調画像やFLAIRについては,3T MRIにも遜色のない,予想以上の高画質が得られています」と高く評価している。また,庭月野医師も,「膝および肩関節の画質が格段に向上し,腹部領域についても,より診断に有用な画像が得られるようになりました」と評価しており,MRIで診断する楽しみが大きくなったという。
ECHELON Vegaの導入で夜間救急でのMRIファーストを実現
同院におけるMRI検査の割合は現在,頭頸部が80%以上を占め,整形領域が約15%,腹部領域が約2%となっている。MRIの画質向上と撮像時間の短縮を受けて,特に頭頸部の撮像が大幅に増加した。またこのほかにも,診療にはさまざまな変化が見られるようになった。
小原院長は,同院に赴任直後からこれまでに,血栓溶解剤“t-PA”(組織プラスミノゲン活性因子)を約20例の急性期脳梗塞症例に対して使用しているが,画像診断については,以前はCTで行っていた。しかしECHELON Vegaでは,FLAIRや拡散強調画像が10〜15分で撮像できるため,夜間救急でもMRI撮像を開始した。これにより,脳梗塞疑い症例については,いつでもMRIファーストの診断を行うことが可能となった。
また,通常の診療においては,2〜3mmの脳動脈瘤もはっきりと見えるようになり,脳動脈瘤の手術件数がECHELON Vega導入前と比べて約5倍に増加した。頸動脈狭窄の手術件数も約3倍に増加し,脳梗塞発症前の早い段階で治療につなげられるなど,患者さんに大きなメリットをもたらしている。
さらに,検査枠に余裕が生まれたため,今年3月からは早期アルツハイマー診断支援ソフトウエア“VSRAD”(エーザイ提供)を取り入れ,アルツハイマーの診断にも以前より力を注げるようになった。他院からの紹介も増加し,1か月の撮像件数は,以前の200件前後から260件以上へと大幅に増加した。
腹部においても,肝特異性造影剤Gd-EOB-DTPAを用いた造影MRIを施行するようになり,肝臓がんや転移性肝腫瘍の診断にECHELON Vegaが大きく貢献している。
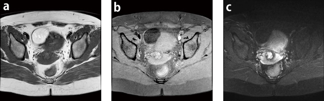
症例1:右卵巣delmoid cyst

子宮がん検診の超音波で指摘され,MRI精査を施行。
最大5cm弱の単房性の脂肪性分の腫瘤を認める。
a:T1WI,AX,FOV:250mm,TR/TE:400/10,FA:90°,スライス厚:7mm
b:T1WI,AX,fatsat,FOV:250mm,TR/TE:580/10,FA:90°,スライス厚:7mm
c:T2WI,AX,fatsat,Rader,FOV:250mm,TR/TE:2500/80,FA:90°,スライス厚:7mm
症例2:右内側半月板損傷右膝疼痛と軽度の関節腫脹があり,MRIを撮像。

右内側半月板後角損傷と関節液貯留を認める。
a:PDWI,COR,fatsat,TR/TE:1800/12,FA:90°,スライス厚:3mm
b:T2*WI,SAG,FOV:150mm,TR/TE:3600/80,FA:90°,スライス厚:3mm
症例3:未破裂動脈瘤右頸部から頭部にかけて痛みがあり,MRIを撮像。

右MCAに7mm大の動脈瘤を認める。
a:MRA,MIP,AP,FOV:170mm,TR/TE:23/6.9,FA:35°
b:VR R-CAG
c:T2WI,AX,FOV:220mm,TR/TE:4800/117,FA:90°,スライス厚:5mm
ECHELON Vegaによる質的診断でさらなる地域への貢献をめざす
小原院長は,ECHELON Vegaへのさらなる期待を込めて,次のように語る。
「今後は質的な診断,例えば,パーフュージョンMRIによる脳血流動態評価を行うことで,脳血管バイパス手術の術前の適応決定につなげたり,あるいはMRSを脳腫瘍等の診断につなげるための検討を行っていきたい」
この言葉の背景には,一人でも多くの患者さんに,地元で安心して高度な診療を受けていただきたいという,小原院長の熱い想いがある。地域の強い期待に応えるために,同院の挑戦はこれからも続いていく。
(2009年7月22日取材)

医療法人厚生会 小原病院
〒898-0003 鹿児島県枕崎市折口町109
TEL 0993-72-2226 FAX 0993-72-2225
http://www.synapse.ne.jp/koseikai/index.html
診療科目:外科,整形外科,脳神経外科,消化器内科,消化器外科,内科,循環器内科,循環器外科,呼吸器外科,婦人科,放射線科など13科
病床数:118床
スタッフ:医師37名(常勤9名),診療放射線技師6名ほか,計204名