ホーム
inNavi Suite
日立メディコ
別冊付録
磁遊空間 Vol.19
1.5T ECHELON Vegaの使用経験
![]()
USER'S VIEW
1.5T ECHELON Vegaの使用経験
平田洋介 岩手医科大学中央放射線部
第16回岩手MRI研究会(代表世話人:菊地憲一氏・医療法人楽山会せいてつ記念病院)が6月28日(日),岩手県公会堂にて開催された。本研究会は岩手県放射線技師会の主催で行われており,毎回1社のMRIをテーマにさまざまな角度からの検討が行われている。16回目の今回は日立メディコMRIが取り上げられ,施設報告では,岩手医科大学中央放射線部の平田洋介氏が,「1.5T MRI ECHELON Vegaの使用経験」と題して講演を行った。
当院では2007年3月,日立メディコ社の1.5T MRI「ECHELON Vega」を導入した。ECHELON Vegaは,強力な傾斜磁場システム(スリューレート150T/m/s)と各種の高機能アプリケーションを有し,ヘリウムが約5年交換不要なゼロボイルオフを特長としている。当院においては現在,中枢神経および脊椎について,3年間にわたる同社との共同研究が進められており,多くの症例を積み重ねてきている。本日は,中枢神経および脊椎における,ECHELON Vegaの使用経験を報告する。

表1 岩手医科大学病院におけるECHELON Vegaの撮像法
頭部
頭部の撮像法を表1-(1)に,画像を図1に示す。拡散強調画像(DWI)では,パラレルイメージングを使用しているが,これにより,画像の歪みが減り,見た目上は分解能が向上したようになる。
FSE法におけるk-spaceの充填方法だが,例えばCentric k-space orderの場合,k-spaceの中心からエコーを配列していくが,実効TEを変えた場合は,そのまま横にスクロールさせる(図2)。そうすると,いくらスクロールしても,隣り合わせるエコーとエコーの信号差が一定に保たれ,FSE特有のBlurringアーチファクトは減少する。

図1 頭部MRI

図2 FSE法におけるk-spaceの充填方法(Centrik k-space order)
頭部MRA
頭部MRAの撮像法を表1-(2)に,画像を図3に示す。3D TOFは,MTCパルスを付加することにより,末梢までの血管が明瞭に描出できる。また,3-slabで撮像するが,slabとslabの間は信号差がほとんど目立たず,まるで1-slabで撮像したかのように見える。図4の症例では,瘤から出ている細かい血管まで,はっきりと描出されているのがわかる。
当院では,救急における頭部撮像のルーチン検査は,DWI,プロトン密度強調画像,T2強調像,T1強調像を撮像し,頭部MRAは,1-slabの3D TOFと2D PCで撮像している。ここまでを約13分で終了するようにしているが,患者さんの状態によっては途中で検査を止めざるを得ないこともある。しかし,ECHELON Vegaでは,SE法の撮像時にスキャン時間の半分を過ぎたところで中断した場合,そこまでに得られたデータでハーフスキャンの画像再構成が可能である。SNRは若干低下するものの,救急時には非常に便利である。

図3 頭部MRA

図4 3D TOF(脳動脈瘤)
頭部Volume
頭部Volumeの撮像法を表1-(3)に,画像を図5に示す。3D RSSGは,早期アルツハイマー型痴呆診断支援システム“VSRAD”や造影検査時に,3D GEIRは,画像診断による認知症進行の客観的な評価基準の確立などをめざす臨床研究“J-ADNI”に使用している。また,3D BASGは,嚢胞などが疑われる場合に撮像している。

図5 頭部Volume MRI
頸部造影3D MRA
頸部造影3D MRAの撮像法を表1-(4)に,画像を図6に示す。まず,2D RSSGによるMR透視で,造影剤の到達状況を確認しながら3D MRAを撮像する。これは,日立メディコ社の“FLUTE”という撮像法である。図6 aはMR透視のオリジナル画像,図6 bはリアルタイムに処理されたサブトラクション画像である。検査時にはこの2つの画像が表示されているが,誰が見てもわかりやすいという点では,サブトラクション画像は非常に優れている。
この後にフィルム出力処理を行うが,ECHELON Vegaで特徴的なのは,フィルムのフォーマットが自由に決められるということである(図6 c,d)。そのため,臨床医が見やすい画像を提供することができる。

図6 頸部造影3D MRA(FLUTE)
脊椎
脊椎の撮像法を表1-(5)に,画像を図7に示す。当院では脊椎は,あまり時間をかけず,どの検査も15〜20分で終わるようにしている。

図7 脊椎
膝関節
膝関節の撮像法を表1-(6)に,画像を図8に示す。プロトン密度強調コロナル像では脂肪抑制を併用しているが,脂肪がきちんと抑制できているのがわかる。
ところで,脂肪抑制法のCHESS法だが,Regional Shimを使用すると範囲を限定して撮像できる。また,CHESSパルスには波形が3種類あるため,TEによって使い分ける必要がある。図9は,Regional Shimで範囲を絞って撮像した眼窩部の画像だが,脂肪抑制なしのT2強調像,T1強調像では,脂肪が高信号に描出されているものの,病変が認められる。さらに,脂肪抑制併用ガドリニウム造影T1強調像を撮像することで,脂肪が抑制され,腫瘍が明瞭に描出された。

図8 膝関節

図9 眼窩造影
MR Spectroscopy
ECHELON Vegaは,1.5T MRI装置で一般的に求められる検査が行えるのはもちろん,最大の特長はMR Spectroscopy(MRS)であると考えている。MRSは通常,煩雑な操作が求められるため,診療放射線技師にとっては負担の大きい検査である。しかし,ECHELON Vegaは,従来通り位置決めを行い,アイコンを1回クリックするだけで,MRSの命とも言えるシミングは装置が自動で設定してくれる(図10)。
しかも,データ解析は,LC Modelという解析エンジンによって高速に行われ,わずか10秒で,代謝物質の一覧,割合,MRS特有のグラフといった解析結果も自動で表示される。そのため当院では,MRSのほかに造影も行って,検査時間がわずか15分という症例も経験しており,検査ワークフローの向上につながっている。

図10 MRSのデータ解析
ワンクリックでの解析が可能
頸部Plaque Imaging
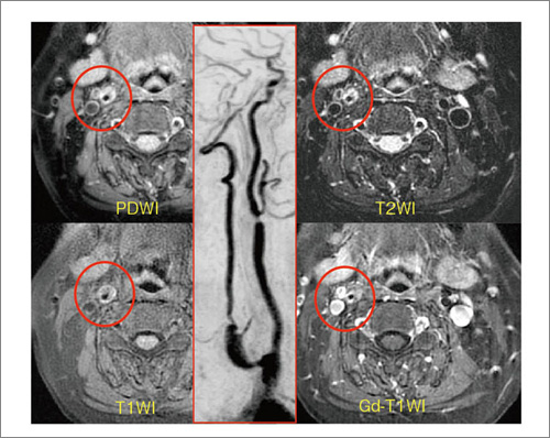
当院では,2009年1月から,“頸部Plaque Imaging”を開始した。撮像法を表1-(7)に示す。図11は総頸動脈を正面から見たMRAだが,欠損像が認められたため,Plaque Imagingを撮像した(図12)。図の○印内にある黒い部分が血管,周囲の白い部分がプラークである。どの撮像法でも,プラークが白く描出されている。
当院で頸部Plaque Imagingが開始されてまだ5か月であり,診断基準もまだ明確ではないが,血管内腔とプラークの両方が評価できるという意味では,非常に期待できると考えている。

図11 頸部MRA(総頸動脈)

図12 頸部Plaque Imaging