ホーム
inNavi Suite
日立メディコ
別冊付録
磁遊空間 Vol.21
ECHELON Vegaを中心にオープンMRIとの2台体制で「患者様第一」の整形外科診療を展開―医療法人社団健陽会 西川整形外科
![]()
ユーザー訪問
医療法人社団健陽会 西川整形外科
ECHELON Vegaを中心にオープンMRIとの2台体制で「患者様第一」の整形外科診療を展開
診断とリハビリテーションを重点にリニューアルオープン
千葉県佐倉市の医療法人社団健陽会 西川整形外科は,2010年1月に移転・リニューアルオープンした。JR佐倉駅から徒歩1分という好立地にある同クリニックは,1996年に西川 悟院長が開設。当初から日立メディコのオープンMRI「AIRIS」をいち早く導入するなど,整形外科領域の診療に積極的にMRIを活用してきた。リニューアルされた診療所では,日立メディコの超電導型1.5T MRI「ECHELON Vega」が導入され,オープンMRIとの2台体制で診療を行っている。「患者様第一」を掲げ,地域に密着した整形外科診療を展開する西川整形外科でのMRIの活用の現状を,西川院長,松下幸男技師長に取材した。
![]() 西川 悟 院長 |
![]() 松下幸男 技師長 |
![]() 左から稲垣友美技師,西川 悟院長,松下幸男技師長,山本由美子事務長,宮沢英宏技師 |
MRS研究の経験を生かし,クリニックでのMRI 2台体制の診療を展開


西川院長は,1984年千葉大学医学部を卒業後,同大整形外科学教室に入局,関連病院への出向を経て大学に戻り,放射線科でMRIの研究を行った経歴を持つ。
「整形外科からの派遣で放射線科に所属して,放射線医学総合研究所(放医研)などと共同でMRスペクトロスコピー(MRS)の研究を行いました。放医研の1.5Tや高磁場動物実験用MRIを使って,MRSによる人体におけるグルコース代謝の研究を行っていました」
開業の際,クリニックではまだ少なかったMRIの導入を意図したのは,西川院長の整形外科の診療にMRIは不可欠だという考えからだったという。
「MRIの初期から,研究や診療に活用してきましたので,その有用性を実感していました。当時,開業医クラスでも導入できる装置として選択したのがオープン型のAIRISです。今でこそ整形外科クリニックにMRIがあるのは珍しくありませんが,当時は予約がすぐにいっぱいとなり,他院からの依頼検査も多く,あっという間に1週間待ちという状態になりました」
旧施設では,その後,さらにオープンMRIの「AIRIS-U」を加え,2台体制での診療となった。
今年1月の移転を機に,1台をECHELON Vegaにリプレイスし,ほかに一般撮影装置,X線CT(日立メディコ社製Pronto)を導入して,より高度な診断が行える体制を整えた。また,2階には機能回復からスポーツ選手のトレーニングまで多様なリハビリテーションが可能な設備を整え,医療法人に開設が認められた医療法42条施設として,運動療法などを提供するメディカルフィットネス「フェニックス」を併設した。診療のポイントを西川院長は次のように語る。
「入院や手術施設を持たない整形外科クリニックとして,痛みを抱えながらも手術の適応にならない多くの患者様に対して,いかに有効な治療を提供するかが重要です。そのために,理学療法士と連携しながら,正確な診断に基づいて痛みをとったり,機能回復のための高度なリハビリテーションを提供しています」
クリニックのリニューアルを機にECHELON Vegaを導入
1日の患者数は,リハビリを含めて400人前後。MRIの検査件数は,1日25件程度。そのうちECHELON Vegaで18件程度,それ以外をAIRIS-Uで行っている。ECHELON Vega選定の理由としては,撮像時間の短縮と画質の向上,ランニングコストやメンテナンスを含めたトータルのコストパフォーマンス,診療所開設当初からのオープンMRIで培われてきた信頼関係などを考慮したと西川院長は語る。「外来患者の多い診療所にとって,撮像時間の短縮は多くの検査が行え,患者様にも短時間で楽な検査が提供でき,得られる臨床情報も多くなります。経済的な条件を抜きにして,次のMRIをどうするかと言われたら間違いなく高磁場を選びます」
松下技師長は,ECHELON Vegaの使い勝手について,「操作性も良く,解像度の高い画像が得られます。これまでオープンタイプで培ってきた整形外科でのノウハウが生かされていて,特に,膝関節および肩関節撮像用のコイルは感度が良く,質の高い画像が得られます」と,整形領域のコイルのラインナップの充実を挙げている。
MRI検査を加えることで迅速で正確な診断を実現
同クリニックでのMRI検査は,腰痛や関節痛などの慢性疾患,スポーツや交通事故の外傷など整形外科全般で,膝,肩,足や股関節,筋肉や腱などの軟部組織,脊椎,腫瘍などの多岐の疾患にわたる。整形外科の画像診断は,基本はX線撮影だが,MRIを加えることでより早く正確な診断が可能になる。
例えば,腰椎の疲労骨折は,若年者の運動選手に多く見られるが,初期の段階では単純X線では診断が難しい。MRIによって関節突起間部の炎症の有無を判断し,その部分に絞ってCTを撮影することで,骨折の程度の診断が可能になる。また,外側ヘルニアは,通常のヘルニアより強い痛みを伴うが,通常のMRIの撮像では診断がつきにくい。同院では,T1強調のコロナル像を撮像するが,撮像する角度に工夫があると松下技師長は話す。
「ルーチンのプロトコールだけでは,なかなか描出できません。神経の走行に撮像の角度を合わせることで描出が可能になります。ECHELON Vegaでは薄いスライスで高精細な画像が得られ,診断に役立っています。患者様の症状から現場で判断して,検査時に追加で行うようにしています」
■症例1:腰椎成長期分離症

12歳,男性。若年性の腰痛では椎間板障害や疲労骨折の診断が重要である。当院ではルーチン検査で,関節突起間部のT1強調サジタル像で低信号,T2強調サジタル像で高信号となる輝度変化を認めた場合(a,b),その部位のT1強調像とFat Sat T2強調のアキシャル像を追加し,疲労骨折を診断している(c,d)。また,CT撮影を行うことにより,骨癒合状況の診断や(e,f),今後の治療方針の決定に役立てている。
a:T1WI,SAG,FOV:300mm,TR/TE:450/11,FA:90°,スライス厚:4mm
b:T2WI,SAG,FOV:300mm,TR/TE:3500/104,FA:90°,スライス厚:4mm
c:T1WI,AX,FOV:180mm,TR/TE:570/10,FA:90°,スライス厚:4mm
d:Fat Sat T2WI,AX,FOV:180mm,TR/TE:2800/110,FA:90°,スライス厚:4mm
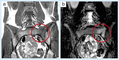
■症例2:仙骨疲労骨折

15歳,男性。若年性腰痛のルーチン検査で特に問題が認められない場合は,T1強調像(a)とFat SatのT2強調像のコロナル像(b)を追加することで,仙骨の疲労骨折が見つかる場合がある。
a:T1WI,COR,FOV:300mm,TR/TE:450/11,FA:90°,スライス厚:3mm
b:Fat Sat T2WI,COR,FOV:300mm,TR/TE:2440/90,FA:90°,スライス厚:3mm
■症例3:腰椎外側ヘルニア

41歳,男性。腰椎ルーチン検査で異常所見がみつからない場合でも(a,b),症状からヘルニアが疑われる場合は,神経根の走行に沿うように椎体後面から5°〜10°傾けたT1強調コロナル像を追加で撮像している(c)。神経根を圧排する外側ヘルニアが判明する症例が時々見られる(○)。
a:T2WI,SAG,FOV:300mm,TR/TE:3500/104,FA:90°,スライス厚:4mm
b:T2WI,AX,FOV:180mm,TR/TE:3300/108,FA:90°,スライス厚:4mm
c:T1WI,COR,FOV:300mm,TR/TE:450/11,FA:90°,スライス厚:3mm
MRIとともに患者様の痛みに真摯に向き合う医療を展開する
新しいクリニックが順調にスタートを切った同院だが,西川院長はクリニックの今後について次のように語る。
「一人ひとりの患者様に全力で向き合って,個々の症状に対してしっかりと診断をつけて,少しでも苦痛を和らげるように診療を行っていくだけです。その中で,MRIは私のライフワークとして,少しでも何か新しい知見を見つけていきたいですね」
同院のホームページのドメイン名はnaoso.comで,西川院長の診療への思いが込められている。ECHELON Vegaをはじめとする2台のMRIは,今後もその診療をサポートしていくことだろう。
(2010年7月16日取材)

医療法人社団健陽会 西川整形外科
〒285-0817 千葉県佐倉市大崎台1-14-2
TEL 043-485-3600 FAX043-485-0600
http://www.naoso.com/
診療科目:整形外科,リハビリテーション科,リウマチ科,放射線科
スタッフ:医師(常勤1名,非常勤8名),看護師10名,診療放射線技師4名,
理学療法士20名,リハビリアシスタント10名ほか