日立メディコ

ホーム の中の inNavi Suiteの中の 日立メディコの中の 別冊付録の中の 磁遊空間 Vol.22の中の 中・低磁場オープンMRIを用いた脳ドック720例の病変検出能の考察 赤石江太郎(あかいし脳神経外科クリニック)ほか

別冊付録

PICK UP

中・低磁場オープンMRIを用いた脳ドック720例の病変検出能の考察
720 Cases of Brain Health Care using low-power MRI

赤石江太郎(あかいし脳神経外科クリニック)
興山 勲(日立メディコ首都圏第二サービス部千葉サービス課)
船造 寿光(日立メディコマーケティング戦略本部アプリケーション部)

●目的

画像診断装置は進化を続け,特に,最近の高磁場MRIの解析能力の進歩には目をみはるものがある。functional MRI (fMRI)やMR Spectroscopy (MRS)などは,一昔前なら想像さえ難しかったであろう。他方,永久磁石型の中・低磁場オープンMRIは,よりコンパクトになる一方で,MR Angiography (MRA)をはじめ,高磁場MRIに劣らない診断能が高く評価されており,国際的に普及が始まっている。手軽になった中・低磁場オープンMRIが,従来,脳疾患に関するスクリーニング検査の第一選択とされてきたCTに,どれほど取って代われるものかどうか考察した。

●使用機器

当院の脳ドック検査は,中・低磁場0.4TオープンMRI「APERTO Eterna」を使用して実施した(図1)。脳ドックは,日本脳ドック学会推奨メニューを基本とし,近隣の総合病院にて行っている採血項目や心電図など,「人間ドック」として受診ずみの項目をはずしたメニューも用意し,経済的に余裕はないが,脳卒中の罹患率が高くなる高齢者の脳卒中予備群を,一人でも多く救済できるように工夫している。最低限のメニューとして,頭部MRAと脳MRI (T2強調画像)を撮像し,そのほかに頸部エコーや頸部MRAを追加できるように設定している。スクリーニングにて病変が疑われた症例に関しては,追加の検査を実施している。

図1 当院のMRI室とAPERTO Eterna もともと明るい色調の装置だが,壁の色や照明も明るくして,圧迫感がないように工夫している。子供の撮像時にも容易に同意を得られやすい。
図1 当院のMRI室とAPERTO Eterna
もともと明るい色調の装置だが,壁の色や照明も明るくして,圧迫感がないように工夫している。子供の撮像時にも容易に同意を得られやすい。

●対象

2009年10月1日から2010年5月26日までに当院脳ドックを受診した720例(男性286例,女性435例)を対象とした。平均年齢は62.7歳(22〜89歳,女性62.7歳,男性62.6歳)であった。

●結果

男性38例,女性54例(計92例,12.8%)にMRI/MRA上なんらかの陽性所見を認めた。内訳は無症候性脳梗塞が65例(9.0%)で最も多く,次いで動脈狭窄所見13例(1.8%),未破裂脳動脈瘤9例(1.3%),内頸動脈閉塞2例(0.3%),中大脳動脈閉塞1例(0.1%),脳腫瘍1例(0.1%),無症候性脳出血1例(0.1%)であった(表1図2〜4)。
参考のために,脳ドック以外の症例も併せて示す(図5,6)。

表1 陽性所見の92例の内訳
表1 陽性所見の92例の内訳

図2 脳動脈瘤(右内頸動脈瘤) 64歳,女性。クモ膜下出血の家族歴がある。本人,ご家族が根治術を希望され,紹介となった。MRA,3D TOF,VR像(脳ドック症例)
図2 脳動脈瘤(右内頸動脈瘤)
64歳,女性。クモ膜下出血の家族歴がある。
本人,ご家族が根治術を希望され,紹介となった。
MRA,3D TOF,VR像(脳ドック症例)
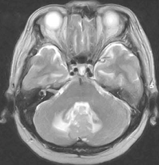
図3 第四脳室内髄膜種 67歳,女性。手術加療となった。 T2WI(脳ドック症例)
図3 第四脳室内髄膜種
67歳,女性。手術加療となった。
T2WI(脳ドック症例)

図4 右中大脳動脈閉塞 47歳,女性。SPECTの結果,Stage-Iでこのまま経過観察となった。 MRA,3D TOF,MIP像(脳ドック症例)
図4 右中大脳動脈閉塞
47歳,女性。SPECTの結果,Stage-Iでこのまま経過観察となった。
MRA,3D TOF,MIP像(脳ドック症例)

図5 左側頭葉AVM 42歳,男性。頭痛で来院し,経過観察中。 a:T2WI,b:FLAIR,c:MRA,3D TOF,MIP像(axial),d:MRA,3D TOF,MIP像(coronal)
図5 左側頭葉AVM
42歳,男性。頭痛で来院し,経過観察中
a:T2WI,b:FLAIR,c:MRA,3D TOF,MIP像(axial),d:MRA,3D TOF,MIP像(coronal)

図6 右中大脳動脈瘤破裂によるクモ膜下出血例 72歳,女性。頭痛を主訴に独歩来院。 a,b:FLAIR c:MRA,3D TOF,MIP像
図6 右中大脳動脈瘤破裂によるクモ膜下出血例
72歳,女性。頭痛を主訴に独歩来院。
a,b:FLAIR c:MRA,3D TOF,MIP像

●考察

「脳ドック」という健診方法が海外にはなく,そもそも健常者に対するMRIによる病変検出のまとまった報告は少ない。中・低磁場オープンMRIは,消費電力が少ないこと,比較的コンパクトであること,開放型のものも多く,閉所恐怖症の症例でも検査可能であること,などの利点が多い。またCTとの比較では,出血の判断が難しい,ペースメーカーなどの体内金属例には対応できない,特に小児例では体動に弱い,などの欠点もある。今後,脳疾患のスクリーニングの手段として確立するためには,さらに出血性病変に対する撮像・診断法の進歩や,撮像時間の短縮などが待たれるところである。今後も症例を重ね,検討を続けて行きたい。
また,中・低磁場オープンMRIゆえのウィークポイントもある。すなわち,拡散強調画像(DWI)やT2*強調画像といった画像の質も,まだまだ改良の余地があるものと思われる。これらは脳卒中の診断や予後予測には大変重要な意味があり,今後の改善が待たれるところである。
当院は大変交通量の多いバス通りに面している住宅街にあり,周囲の影響や振動の影響があるため,決して良好な環境とは言えないが,日立メディコの全面的な協力により,画質の改善が進行中である。

●結論

中・低磁場オープンMRIを使った脳ドックのデータの中間報告を行った。今後も症例を重ね,また一つひとつの症例についても比較検討し,脳疾患のスクリーニングとしての中・低磁場オープンMRIの有用性や可能性を高めて行きたいと考えている。

(本稿は日本脳神経外科学会第69回学術総会にてその一部を発表した。)

●参考文献
1) Yoo, S.H., Kwon, S.U., Lee, D.H., et al.: Comparison between MRI screening and CT-plus-MRI screening for thrombolysis within 3h of ischemic stroke. J. Neurol. Sci., 294・1, 119〜123, 2010.
2) Sasaki, M.: Pitfalls in the interpretation of central nervous system disorders from structural magnetic resonance images. Brain. Nerve., 62・5, 469〜475, 2010.
3) Meyer, J.E., Rohling, M.L.: CT and MRI correlations with neuropsychological tests. Appl. Neuropsychol., 16・4, 237〜253, 2009.
4) Butcher, K., Emery, D.:Acute stroke imaging. Part I ; Fundamentals. Can. J. Neurol. Sci., 37・1, 4〜16, 2010.
5) Butcher, K., Emery, D.: Acute stroke imaging. Part II ; Fundamentals. Can. J. Neurol. Sci., 37・1, 17〜27, 2010.

▲ページトップへ

目次に戻る