日立メディコ

ホーム の中の inNavi Suiteの中の 日立メディコの中の 別冊付録の中の 磁遊空間 Vol.22の中の APERTO Eternaを活用し高い専門性を生かした診療を開始 はちのへ西脳神経クリニック

別冊付録

ユーザー訪問

はちのへ西脳神経クリニック
APERTO Eternaを活用し高い専門性を生かした診療を開始
幅広い層に対応可能なオープンMRIを導入

はちのへ西脳神経クリニックは,2010年11月の開設と同時に日立メディコの0.4TオープンMRI「APERTO Eterna」と,同社のモバイル型超音波診断装置「MyLab Five」を導入した。同クリニックでは,これらを効果的に活用し,真鍋 宏院長を中心に,高い専門性を生かした脳神経外科診療を行うことで,真に患者さんの健康維持に役立つ医療の提供に努めている。APERTO Eternaを活用した診療の実際について,真鍋院長,加藤孝顕副院長,臨床検査技師の小林千栄子技師にお話をうかがった。

はちのへ西脳神経クリニック

医療相談と予防医学を柱に脳神経専門クリニックを開設

真鍋 宏 院長
真鍋 宏 院長
 
加藤孝顕 副院長
加藤孝顕 副院長
小林千栄子 技師
小林千栄子 技師

JR八戸駅から徒歩5分の好立地に開設された,はちのへ西脳神経クリニックは,真鍋院長を中心に10名のスタッフで運営されており,脳神経外科,神経内科の診療はもとより,2011年1月からは脳卒中後の機能回復・維持などを目的としたリハビリテーションを開始した。患者さんのニーズに最大限に応えることをめざしているが,その根底にある診療理念として真鍋院長は,「患者さんが専門に特化した医師に気軽に医療相談が行える場とすること,豊富な治療経験を生かした予防医学を行うこと」という2点を挙げている。
真鍋院長と加藤副院長は,ともに日本脳神経外科学会認定専門医,日本脳卒中学会認定専門医であり,大学病院をはじめとする地域基幹病院において,脳動脈瘤の開頭手術や,脳虚血症例などに対する血管吻合術など,1500例以上の外科手術の執刀経験を重ねてきた。また,真鍋院長は,青森県で唯一,日本脳神経血管内治療学会指導医に認定されているほか,2006年度から3年間にわたり行われた厚生労働省の循環器病研究委託費による「脳血管解離の病態と治療法の開発」では,分担研究員を務めた。
一方,専門性が高まるほど,高度な治療を必要とする患者さんに対象が限定されてしまい,その予備軍である,はるかに多くの患者さんの相談を受ける機会はどんどん失われていった。こうした現状に疑問を感じた真鍋院長は,同じ思いを抱えていた加藤副院長とともに,クリニックの開業を決断した。

画質や設置性,開放性に優れたAPERTO Eternaを選定

コンソール
コンソール

脳神経外科の開設にあたり,真鍋院長は迷うことなく,日立メディコ社の永久磁石型オープンMRIを導入すると決めていた。その理由について真鍋院長は,「MRIは,質の高い脳神経外科診療を行うために必要な装置です。CTと違って被ばくもなく,造影剤も不要で非常に低侵襲なため,クリニックに適しています。唯一気になったのは,CTよりも撮像時間がかかり小児の検査が困難な点でしたが,親御さんがすぐ側に付き添えるオープンMRIなら,撮像できない症例を最小限にできると判断しました」と述べている。
ただ,真鍋院長と加藤副院長は,前勤務先では3T MRIで診断を行っていたため,中・低磁場装置との画質の違いが懸念された。しかし,真鍋院長は,「実際に0.4T装置の画像を見たとき,以前使用していた1.5T装置より高画質だと思いました。3T装置では1mmの動脈瘤も描出できますが,日本脳ドック学会のガイドラインでは,治療の適応となる無症候性未破裂脳動脈瘤のサイズを5〜7mm以上としており,その大きさなら0.4T装置で十分に見えます」と説明している。
最終的には,コストパフォーマンスや設置性,ガントリの開放性などについても詳細な検討を行った上で,永久磁石型オープンMRIでもっとも磁場強度の高い,0.4TのAPERTO Eternaが選定された。

1.5T装置の技術を継承し,さらに高機能となったAPERTO Eterna

APERTO Eternaは,APERTOシリーズの特長を受け継ぎつつ,同社の超電導型1.5T MRI「ECHELON Vega」と同じシステムソフトウエアが採用されたことで,コンソールにパラメータのサジェッション機能などが搭載され,より直感的な操作が可能となった。また,新設計のMRIユニットによって画像処理の高速化が図られたほか,primeFSE計測などの高磁場装置と同じ高機能アプリケーションが搭載された。
APERTO Eternaの実際の操作性について,約10年前から同社オープンMRIを使用している小林技師は,「MIP処理のスピードが以前よりもかなり高速化していますし,撮像条件を変更する際には,推奨のパラメータが自動表示されるので,緊急時には非常に助かっています。また,フットペダルで寝台の上げ下げや位置決めを行いながら,両手を使ってコイルのセッティングができるので,検査時間が短くなり,長時間の静止が困難な認知症の患者さんでも,問題なく撮像できました」と述べている。
さらに,ガントリ開口径が広いため,患者さんを見守る際に安心感があるほか,患者さんにもオープンデザインやスマイルイエローの明るい配色が好評だという。

MRIを診療で適切に活用し患者さんのQOL向上に貢献

開院から約3か月が経過した現在,同クリニックには1日に約25名が来院し,最近では近隣だけでなく,弘前市や青森市,三沢市などからの患者さんも増えてきている。MRI検査は予約はもとより,即時対応も行っており,超音波で頸動脈に異常が認められれば,すぐにMRI検査に回すなど,スピーディな診療が実現できている。
また,APERTO Eternaでの撮像は,FLAIRとT2強調画像を基本とし,急性期の脳梗塞が疑われた症例では拡散強調画像を,脳動脈瘤疑いの場合はMRAを,脳出血疑いの場合はT2*強調画像をそれぞれ追加している。実際の画質について加藤副院長は,「高磁場装置で見つかる病変はAPERTO Eternaでもわかりますので,必要十分な診断ができています。当クリニックでも,すでに約2mmの未破裂脳動脈瘤や脊髄空洞症のほか,急性期の微小な脳梗塞が3例ほど見つかっています」と評価している。
同クリニックでは,外科的治療の必要な症例については地域基幹病院に紹介しているが,これまでの臨床経験を踏まえてMRIを適切に活用することで,治療の必要性の有無がきわめて的確に評価できている。そのため,通常なら紹介となるような,微小な視床出血症例や脳幹梗塞症例でも,外来での血圧コントロールや点滴治療,リハビリなどによって,順調に回復しているという。入院せずにすむことで,患者さんの精神的・身体的負担の軽減など,QOLの向上にも貢献している。

■症例1:未破裂右中大脳動脈瘤
■症例1:未破裂右中大脳動脈瘤
70歳,女性。ときどき感じる手のしびれを訴えて来院。MRAにて径5mmの未破裂右中大脳動脈瘤を認める(↑)。 MRA,3D TOF(MIP),FOV:160mm, TR/TE:37/6.5,FA:30°,スライス厚:1.2mm
  ■症例2:未破裂前交通動脈瘤
■症例2:未破裂前交通動脈瘤
67歳,男性。頭痛を主訴に来院。MRAにて径3mmの未破裂前交通動脈瘤(↑)を認める。 a:MRA,3D TOF(MIP),FOV:160mm,TR/TE:37/6.5,FA:30°,スライス厚:1.2mm b:MRA,3D TOF(VR),FOV:160mm,TR/TE:37/6.5,FA:30°,スライス厚:1.2mm
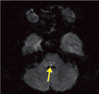
■症例3:脳幹梗塞
■症例3:脳幹梗塞
70歳,女性。複視を訴えて来院。他覚的に左眼球の内転障害,右眼球の水平方向の運動障害,輻輳正常,軽度の右顔面神経麻痺を認めた。拡散強調画像にて橋脳背側,第四脳室に接するやや右側にhigh intensity spot(↑)を認める。 DWI,FOV:280mm,TR/TE:11295/126.6,FA:90°,スライス厚:5.0mm
  ■症例4:脳動静脈奇形
■症例4:脳動静脈奇形
74歳,男性。物忘れを訴えて来院。T2*強調画像(a)にて右シルビウス裂に異常な血管を認め,MRA(b)にて皮質静脈の拡張を認める。脳動静脈奇形と診断された。 a:T2*WI,FOV:220mm,TR/TE:1000/45,FA:30°,スライス厚:7.0mm b:MRA,3D TOF(MIP),FOV:160mm,TR/TE:37/6.5,FA:30°,スライス厚:1.2mm

APERTO Eternaの活用の場を広げ地域医療へのさらなる貢献を

真鍋院長は,同クリニックの今後の展望について,「現在は頭頸部の撮像しか行っていませんので,近隣のクリニックと連携し,整形外科領域などの他科からの検査依頼もどんどん受けていきたいと考えています」と述べている。いずれはCTも導入し,より詳細な検査が行える体制を整えることも検討しているという。
また,加藤副院長は,「脳ドックの受診者には,将来的にはMRIの画像をプリントアウトするなどしてお渡しし,繰り返し受診した場合は,以前の画像と比較できるようにしたい」と述べている。
小児から高齢者まで幅広く対応できるAPERTO Eternaは,今後ますます活躍の場を広げ,地域のさらなる健康維持に貢献していくことだろう。

(2011年2月16日取材)

はちのへ西脳神経クリニック
はちのへ西脳神経クリニック
〒039-1101 青森県八戸市尻内町鴨ヶ池15-1
TEL 0178-20-8122 FAX 0178-20-8123
http://www.hn-brain.jp/index.html

▲ページトップへ

目次に戻る