日立メディコ

ホーム の中の inNavi Suiteの中の 日立メディコの中の 別冊付録の中の 磁遊空間 Vol.22の中の ECHELON Vegaを2台導入し年間8000件のMRI検査をめざす 高知赤十字病院

別冊付録

ユーザー訪問

高知赤十字病院
ECHELON Vegaを2台導入し年間8000件のMRI検査をめざす
新しい撮像への展開を見据え,最新コイルを導入

高知赤十字病院は2010年,日立製作所製0.5T MRIと他社製1.5T MRIが更新時期を迎えたことに伴い,日立メディコ社製の超電導型1.5T MRI「ECHELON Vega」を2台導入した。また,MRIの更新に加えて,今年4月からは診療放射線技師の人員増加も予定しており,撮像件数の大幅な増加と,より高度な撮像への対応をめざしている。ECHELON Vegaによる撮像の現状と将来展望について,放射線科の山本洋一部長,放射線科部の田原梃嚥Z師長を中心にお話をうかがった。

右から中谷貴美子医師,田原梃嚥Z師長,山本洋一部長,川附K治技師,久保克泰技師,高橋健次郎技師,伊藤悟志部長,三好裕司技師
右から中谷貴美子医師,田原梃嚥Z師長,山本洋一部長,川附K治技師,
久保克泰技師,高橋健次郎技師,伊藤悟志部長,三好裕司技師

検査数と検査精度の向上をめざしMRIを2台同時に更新

山本洋一 部長
山本洋一 部長
田原梃 技師長
田原梃 技師長
川附K治 技師
川附K治 技師
高橋健次郎 技師
高橋健次郎 技師

高知赤十字病院は,1928年に日本赤十字社高知県支部療院として開設以来,長年にわたり,地域医療の中核を担ってきた。94年には救命救急センターを開設し,24時間体制で三次救急を担うほか,2008年には地域がん診療拠点病院に指定され,院内がん登録件数も年々増加傾向にあるという。それに伴い,画像診断の重要性も増しており,さらなる検査スピードおよび精度の向上と,検査件数の増加が求められていた。そこで,放射線科では2007年に,まずは2台稼働していたMDCTのうち1台を,64列MDCTに更新した。
一方,MRIついては,87年に導入された0.5T装置と97年に導入された1.5T装置の2台が稼働していたが,検査依頼のほとんどが1.5T装置に集中してしまうことが問題となっていた。検査待ちも約2か月に及んでいたことから,1.5T装置が更新時期を迎えた2009年,MRIを2台同時に更新することが決定された。

総合的なバランスに優れたECHELON Vegaを導入

MRIの選定は競争入札で行われたが,仕様書の作成にあたり,同院では川附K治技師をはじめ,数名の診療放射線技師が,国内でMRIを販売している各社の装置の稼働施設を実際に見学に訪れ,撮像時間や画質の安定性,操作性などについて詳細な確認を行った。山本部長は,特に重視したポイントについて,「近年ニーズが増加しているMRマンモグラフィが撮像できること,また将来,導入予定の心臓MRIにも対応していることが最低条件でした。さらに,当院では夜間救急でMRI撮像を行うため,操作性を考慮し,2台とも同じ装置を導入することにしました」と述べている。
これらを踏まえ,価格や保守なども含めて検討した結果,最終的に,総合的なバランスに優れたECHELON Vegaが選定された。

直感的な操作を可能にするコンソールを評価

コンソール
コンソール

MRIの導入は2回に分けて行われ,1台は2010年9月に,もう1台は12月に稼働を開始した。同院では夜間救急に対応するため,16名の技師全員が,どのモダリティについても基本的な操作法を身につけている。特に,MRIについては,急性期脳梗塞症例などへの対応として,T1強調画像,T2強調画像,FLAIR,拡散強調画像,頭頸部MRAを一連の検査とする“救急Brainプロトコール”が決められており,30分以内に画像を救急外来に転送することが求められる。
一方,あらゆるMRI撮像に対応できる技師は5名いるが,夜勤などのローテーションの関係で全員がそろうことは難しいため,現状では2台のMRIをフルに稼働させることは難しい。そのため,いまは1日の検査枠を20件に限定しているが,2011年度には,目標とする2台で年間8000件の撮像を達成するため,MRI専任の技師を1名増員し,1日30件以上の撮像を行っていく予定だという。
こうした状況の中で検査数を増やすためには,操作性が非常に重要となる。高橋健次郎技師は,「ECHELON Vegaのコンソールには,スキャンパラメータが一覧表示される機能が搭載されています。条件を変える際に,候補となる撮像枚数や撮像時間,TRやTEなど,さまざまな数値の候補が自動的に表示されるので,誰でも簡単に操作できると思います」と評価しており,スムーズな検査に貢献している様子がうかがえる。

16ch Headコイルの導入で頭頸部領域の画質が飛躍的に向上

新たに開発された16ch Head attachment NVコイル
新たに開発された16ch Head attachment NVコイル

ECHELON Vegaの画質について田原技師長は,「以前の1.5T装置に比べると,頭部領域や整形外科領域の画質が格段に向上しています。中でも,拡散強調画像の画質はとても良くなっており,頭蓋底の歪みが少なくなりました。MRAについても,総頸動脈のソフトプラークが明瞭に描出されており,脳神経外科の評価も高いです」と述べている。特に,頭部領域については,新たに開発された16ch Headコイルが2010年12月,同院のECHELON Vegaに初めて搭載され,導入時よりもさらに画質が向上しているという。画質の変化について山本部長は,「8chコイルと16chコイルでは,画質がまったく違います。血管などが非常にシャープに描出されるようになり,空間分解能,組織分解能ともに確実に向上しています」と評価している。
さらに,MRマンモグラフィについても画質が向上していると高橋技師は話す。
「以前は乳房の間の空気の影響で脂肪抑制が均一にならず,濃度ムラがありました。しかし,ECHELON Vegaでは,HOSSやNATURALを使用し,感度ムラや磁場の不均一を補正してくれるので,濃度ムラのない均一な画像が得られています」
このほか,腹部領域については,転移性肝がんの検索などを目的に,造影CT後の精査として,体幹部造影MRIのためのアプリケーションである“TIGRE(T1 weighted GRadient Echo nature of the sequence)”を使用し,Gd-EOB-DTPA造影MRIの撮像を行っている。今春にはTIGREのバージョンアップが予定されており,さらなる画質向上が期待されている。

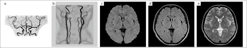
■症例1:16ch RAPID Head attachment NVコイルを使用したMRI/MRA(正常例)
■症例1:16ch RAPID Head attachment NVコイルを使用したMRI/MRA(正常例)
a:頭部MRA,3D TOF,TR/TE/FA:23/6.9/20°,マトリックス:320×192,FOV:200mm,スライス厚:1.2mm(0.6mm),撮像時間:3分13秒
b:頸部MRA,3D TOF,TR/TE/FA:20/6.9/30°,マトリックス:256×160,FOV:230mm,スライス厚:2.0mm(1.0mm),撮像時間:3分17秒
c:DWI,DWI-EPI,TR/TE:3300/87,マトリックス:136×192,FOV:230mm,スライス厚:5mm,撮像時間:56秒
d:FLAIR,FIR,TR/TE:10000/94.4,マトリックス:256×224,FOV:230mm,スライス厚:5mm,撮像時間:2分40秒
e:T2WI,FSE,TR/TE:4500/104.0,マトリックス:288×256,FOV,230mm,スライス厚:5mm,撮像時間:1分35秒

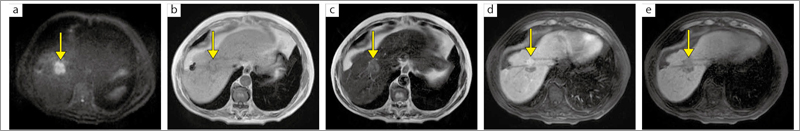
■症例2:TAE(肝動脈塞栓療法),RFA(ラジオ波焼灼療法)施行後の残存病変(肝細胞がん)検索
■症例2:TAE(肝動脈塞栓療法),RFA(ラジオ波焼灼療法)施行後の残存病変(肝細胞がん)検索
肝S8に拡散強調画像で高信号域(a),T1強調in-phase画像で低信号域(b),T2強調画像で約30mmの淡い高信号域を認める(c)。Gd-EOB-DTPA造影MRIを施行し,動脈相で残存病変の濃染区域を認める(d)。肝細胞造影相では,肝S8の残存病変は低信号域として描出されている(e)。後日CTガイド下で肝S8の残存病変に対しRFAを再度施行した。
a:DWI,DWI-EPI,TR/TE:5500/70,マトリックス:128×128,FOV:400mm,スライス厚:5mm,撮像時間:3分00秒
b:T1W1 in-phase,GE,TR/TE:165/4.6,マトリックス:320×192,FOV:350mm,スライス厚:8mm,撮像時間:21秒
c:T2WI,FSE,TR/TE:5500/120,マトリックス:288×244,FOV:350mm,スライス厚:8mm,撮像時間:17秒
d:TIGER(3D),RSSG(delay 30sec),TR/TE/FA:4.0/1.7/15°,マトリックス:256×224,FOV:380mm,スライス厚:5mm(2.5mm)
e:TIGER(3D),RSSG(delay 20min),TR/TE/FA:4.0/1.7/15°,マトリックス:256×224,FOV:380mm,スライス厚:5mm(2.5mm)

新しい撮像法に取り組みECHELON Vegaの可能性に挑戦

高橋技師は,ECHELON Vegaを活用した将来展望について,「ボランティアで撮像した非造影MRAが非常に高画質なので,今後症例を重ねて学会等で発表したいと考えています。また,フルオロスコピー画像で造影剤の様子を見ながら造影MRAが撮像できる機能や,指先などの小さな領域に対応するマイクロコイルを使った撮像にも,挑戦していきたいです」と述べている。
さらに,山本部長も,スタッフなどの体制が整い次第,心臓MRIに取り組んでいきたいと述べており,早ければ年内にも検討を始める予定だという。
まもなく本格稼働を開始する2台のECHELON Vegaが,同院の期待に応え,一日も早く真価を発揮する日が来ることが待たれる。

(2011年1月19日取材)

高知赤十字病院
高知赤十字病院
〒780-8562 高知県高知市新本町2-13-51
TEL 088-822-1201 FAX 088-822-1056
http://www.krch.jp/

▲ページトップへ

目次に戻る