日立メディコ

ホーム の中の inNavi Suiteの中の 日立メディコの中の Technical Noteの中の 1.5T MRIにおける体幹部撮像技術の進展

Technical Note

2008年4月号
Abdominal Imagingにおけるモダリティ別技術の到達点

MRI−1.5T MRIにおける体幹部撮像技術の進展

板垣 博幸
MRIシステム本部アプリケーション開発部

1.5T MRI装置「ECHELON Vega」は,静磁場の乱れを高精度に補正するシミングシステム(High Oder Shim System:HOSS)やロングストロークテーブルなどのハードウェアを搭載し,さまざまな高機能アプリケーションに対応している。
本稿では,1.5T MRIの体幹部の撮像技術として,脂肪抑制併用の高速三次元ダイナミック撮像,マルチステーション型全身MRIとImage Stitching1)などについてW.I.P.技術を含めて紹介する。


■ H-sincパルスとTIGRE

体幹部の拡散強調画像(DWI)や造影検査などの画質を向上するためには,均一な脂肪抑制を実現することが重要になる。ECHELON Vegaは,当社オリジナルの技術であるH-sincパルス2)を用いて,脂肪抑制を安定して行える。

1.H-sincパルス
H-sincパルスは,照射RFパルスの空間的な不均一に対しても安定した脂肪抑制効果が得られるとともに,静磁場不均一に対しても安定している。従来の断熱反転型のRFパルスが,180°反転パルスの制約である回復待ち時間を必要とするのに対し,H-sincパルスは励起角度を約90°にすることで実質的に回復待ち時間を不要にしており,撮像が効率的に行える。
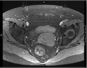
骨盤領域は脂肪組織に富むため,脂肪抑制が難しい部位の1つである。子宮病変検査へのH-sincパルスの適用例を図1に示す。本図から,安定して脂肪が抑制されていることがわかる。

2.TIGRE(W.I.P)
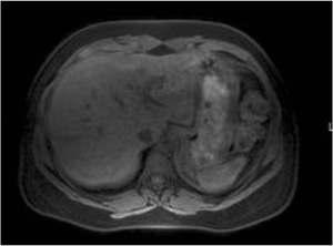
TIGRE(T1 weighted GRadient Echo sequence)は,肝臓および乳房領域における脂肪抑制併用の高速三次元ダイナミック計測を実現する撮像技術である。H-sincパルスで安定した脂肪抑制を行いつつ,短いTR/TEの撮像ができる。また,パラレル撮像(Rapid Acquisition through a Parallel Imaging Design:RAPID)との併用により,高速かつ高精細な三次元撮像も可能である。図2に腹部の撮像結果を示す。内臓脂肪および皮下脂肪が均一に抑制されているのがわかる。
乳房撮像例を図3に示す。7chブレストコイルを使用したRAPID併用・脂肪抑制併用のT1WI,T2WI,DWI,TIGRE画像である。乳房領域においても均一に脂肪抑制されているのがわかる。


図1 骨盤部画像例
a:H-sinc併用T1WI
a:H-sinc併用T1WI
b:T2WIc:H-sin
b:T2WIc:H-sin
c:H-sinc併用DWI(b=50s/mm2)
c:H-sinc併用DWI(b=50s/mm2)
d:H-sinc併用(b=800s/mm2)
d:H-sinc併用(b=800s/mm2)
 
図2 TIGRE腹部撮像例
図2 TIGRE腹部撮像例
3D RSSG,FOV=360mm,TR/TE/FA : 4.7ms/1.7ms/12°,脂肪抑制(H-sinc),撮像時間23秒
   
図3 乳房撮像例
a:T1WI(MIP像)
a:T1WI(MIP像)
b:T2WI
b:T2WI
c:DWI(b=1000s/mm2)
c:DWI(b=1000s/mm2)
d:Gd造影早期相後TIGRE(COR断面)
d:Gd造影早期相後TIGRE(COR断面)

■ マルチステーション型全身MRIとImage Stitching(W.I.P)

体幹部〜下肢などの広範囲の撮像を行うマルチステーション型全身MRIでは,位置決めや撮像条件変更時の操作性,および画像合成処理が特に重要である。ここでは,全身MRIのユーザーインターフェイス(UI)とImage Stitchingを紹介する。

1.UI
全身MRIのUIでは,矩形型ウインドウ上の全身画像を参照し,複数のステーションの位置や撮像条件を同時に決定できる。また,画像の自動レイアウトや後述するImage Stitching機能を用いて,全身MRIの撮像と合成画像の作成を簡単に行える(図4)。

2.Image Stitching
マルチステーション撮像では,ベッドの移動を繰り返して広い範囲を撮像するので,静磁場不均一や傾斜磁場の非線形性に起因する画像の歪み,ステーション間での信号強度の補正が求められる。
今回開発したstitching処理では,動画像解析に用いられるオプティカルフローを発展させたアルゴリズムを採用した。ステーション間で共有する部位の画像データから,画像の歪みと信号強度差を検出して補正処理に反映し,合成画像の高画質化を実現した。図4に示した合成画像は,walking presaturationを併用したBASG(Balanced SARGE)シーケンスで撮像した動脈像である。血管の位置合わせが良好であることから,stitching処理が高精度であることがわかる。
また,本stitching処理は操作卓上で実行でき,合成画像のフィルム出力も可能である。

最近開発した撮像技術のうち,体幹部で特に有用と思われる技術についてW.I.P.を含めて紹介した。拡張性の高いハードウェア性能を活用した撮像技術やアプリケーションが,臨床の場でさらなる貢献を果たすことが期待できる。


図4 マルチステーション撮像のUIと撮像例
2D BASG,FOV=400mm,TR/TE/FA:4.8ms/2.4ms/90°, Matrix=512×1386,撮像時間2分30秒/ステーション
a:合成画像を用いた位置決めUI
a:合成画像を用いた位置決めUI
b:下肢非造影MRA
b:下肢非造影MRA


〈謝辞〉
本技術の開発にあたり臨床面からご指導いただいた,東京慈恵会医科大学附属柏病院放射線部・原田潤太教授に感謝いたします。

●参考文献
1) 西原 崇・他:マルチステーション非造影MRA 画像に対する合成処理の基礎検討. 第15回日本MR Angiography研究会抄録, 16, 2007.
2) 阿部貴之・他:B1 insensitiveな脂肪抑制効果を目的としたMultiple Fatsatパルスの開発. 第63回放射線技術学会抄録, 468, 2007.


【問い合わせ先】 MRIマーケティング本部  TEL 03-3526-8307