
2008年4月号
Abdominal Imagingにおけるモダリティ別技術の到達点
US−超音波診断装置の高画質化技術,アプリケーション
香西 和久
USマーケティング本部
超音波検査における腹部の描出に不可欠なコンベックス型探触子の歴史は,日立メディコから始まった。
1983(昭和58)年に完成した超音波診断装置「EUB-40」は,コンベックス型探触子を世界で初めて実用化し,当時としては画期的な並列受信方式を採用したことにより,高いフレームレートを実現した。EUB-40は,このコンベックス型探触子の画質の良さが功を奏し,ベストセラー商品となった。
この装置が登場する以前の腹部の描出では腹部リニア探触子が主流であったが,肋間からの肝臓の描出能力,肋弓下での圧迫効果,剣状突起下での膵臓の描出能力の向上などが評価され,この装置以降,各社でコンベックス型探触子が世界標準となっていった。
EUB-40の登場から四半世紀が過ぎた現在,鮮明な画像を得るためさまざまな最先端技術が投入されている。本稿では,腹部領域における日立メディコの最新の高画質化技術およびアプリケーションについてご紹介する。
|
■ 高画質化技術
1.HdTHI(High definition dynamic Tissue Harmonic Imaging)
ハーモニック信号を広帯域化し,これまでほとんど利用できなかった低周波結合波をプローブ帯域内にシフトし,画像化した(図1,2)。これにより,従来のdTHIよりさらに空間分解能と深部感度の向上が図られている。
|

図1 HdTHI ON |
| |

図2 HdTHI |
|
2.HI Com(High Compound)
超音波ビームを多方向に送受信し(図3),それぞれの画像をリアルタイムに重ね合わせることにより,電子的に空間コンパウンドを実現しコントラスト分解能,組織辺縁の描出能を改善する。 |
| 図3 HI Com |

a:ON |

b:OFF |
3.HI REZ(High Resolution Imaging)
専用の高速ASIC(特定用途向けIC)演算器と超高速アルゴリズムを用いて,リアルタイムに数万回の空間画像処理を実施する高精細画像適応型フィルタ技術である(図4)。超音波画像特有のアーチファクトであったスペックルノイズを低減し,より明瞭な組織構造を表示してコントラスト分解能を向上させる。 |

図4 HI REZ |
4.HI Zoom
拡大時にROI内部のみのスキャンとし,フォーカスなどの画質パラメータや音線密度の最適化を行うことにより,フレームレートの高い,高精細な画像が得られる(図5)。
|

図5 HI Zoom |
■ アプリケーション
1.Real-time Virtual Sonography(RVS)
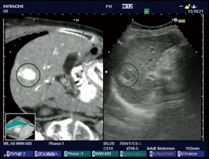
CT,MRから,観察中の超音波画面に対応するMPR像をリアルタイムに同時表示する世界初の機能である(図6)。この技術は,超音波ガイド下の治療支援,超音波検査の教育支援などで使用され,高い評価を得ている。
さらに,USボリュームデータと,観察中の US画像との同時表示が可能となった(図7)。USボリュームデータの取得時に,磁気センサを使用するので,位置合わせの手間がなく容易に使用でき,治療直前のUSボリュームデータでのMPR像を治療時や治療後に参照可能である。 |

図6 RVS |

図7 肝がん治療後のRVS
岡山大学消化器内科小林功幸先生・中村進一郎先生 ご提供 |
2.Real-time Tissue Elastography(Elastography)
超音波検査で組織の硬さを画像化する,世界初の技術である。力を加えたときに,柔らかいものであれば大きな変形を生じるが,硬いものであればほとんど変形しないという特性を応用し,その変形の程度を色で表している。
目的部位に探触子を軽く圧迫させるだけの簡単な走査で行える。生体内の組織歪みから相対的な硬さを高速演算し,硬さ(変形)の程度をリアルタイムにカラー表示することにより,周囲よりも硬い部分は青く表示される(図8)。
乳腺領域で始まったElastographyは,肝臓などの腹部領域を対象とした研究へと広がっており,その有用性が期待されている。 |

図8 Elastography(正常肝) |
3.Strain Ratio
Elastography画像において,任意の2か所の比を数値で表示ことができる。例えば,乳腺領域では脂肪組織と関心領域の比(Fat Lesion Ratio:FLR)を求めることができ,組織性状の研究などへの応用が期待されている(図9)。 |

図9 FLR(乳腺) |
図10 デジタル超音波診断装置EUB-7500 |
■ EUB-7500
コンパクトでありながらハイエンドクラスの装置である「EUB-7500」(図10)は,これらの高画質化技術,アプリケーションを搭載している。 |
【問い合わせ先】 USマーケティング本部 TEL 03-3526-8309