日立メディコ

ホーム の中の inNavi Suiteの中の 日立メディコの中の Technical Noteの中の HI VISION 900, EUB-8500, EUB-7500

Technical Note

2008年5月号
Contrast-Enhanced US Imaging

US−HI VISION 900, EUB-8500, EUB-7500

杉山 隆司
USマーケティング本部

当社は,「EUB-8500」およびその8500で培った高画質ならびに高機能アプリケーションをさらに高性能・高機能化した最上位機種「HI VISION 900」,HI VISION 900をコンパクト化した「EUB-7500」の3機種において,ソナゾイド造影超音波検査に対応している(図1)。さらに,これらの機種の特徴としては,(1) コンパウンド機能“HI Compound”,画像適応フィルタ“HI REZ”等による高画質化,(2) 低周波結合波も画像化した新しいTissue Harmonic Imagingである“HdTHI”,(3) 基本操作をGUI化してブラインド操作にも対応した“Ultrasound Cockpit”,(4) 世界で初めて超音波による硬さ情報を画像化した“Real-time Tissue Elastography”,超音波像と位置・方向の一致したCT等のMPR像をリアルタイムで表示する“Real-timeVirtual Sonography(RVS)”などがある。


図1 ソナゾイド造影対応装置
EUB-7500
EUB-7500
EUB-8500
EUB-8500
HI VISION 900
HI VISION 900

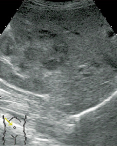
■ Wideband Pulse Inversion(WPI)(図2)

気泡である超音波造影剤ソナゾイドは,送波音圧を低めに設定することで超音波による気泡の破壊を極力低減し,気泡からの反射波に含まれるハーモニック成分を画像化する。WPIは,従来のPulse Inversion法より低周波成分を強調しつつ,効率良くハーモニック成分を抽出する手法で,これにより高感度とペネトレーションの改善を図っている。


図2 オルタネートモード (画像ご提供:三重大学 田中秀明先生)
a:WPI像
a:WPI像
図2 オフセットオープンスタイル
b:LowMIでのFundamental像

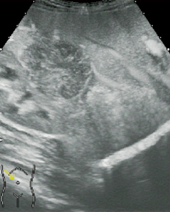
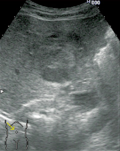
■ Flash機能とMicrobubble Trace Imaging(MTI)(図3)

体内に貯まったソナゾイドは,高音圧送信することで破壊することができる。
Flash機能は高音圧送信でソナゾイドを破壊し,再環流を観察する機能である。また,MTIは,造影剤による高輝度部を重ね合わせる画像で,血管像の観察に適している。


図3 HCCのMTI像 (画像ご提供:三重大学 田中秀明先生)
a:MTI像
a:MTI像
b:LowMIでのFundamental像
b:LowMIでのFundamental像

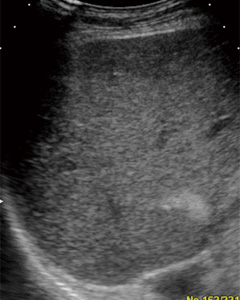
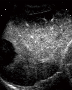
■ Real-time Virtual Sonography(RVS)と超音波造影(図4,5)

CT・MRI・超音波のボリュームデータから,探触子と同一方向のMPR像をリアルタイムに描出する機能である。これにより,造影CTと造影超音波像,造影超音波前後の画像を任意の方向から比較観察が可能となり,治療効果判定等に有効である。


図4 HCCのRFA後のPVS (画像ご提供:島根大学 佐藤秀一先生)
a:焼灼後のCT像
a:焼灼後のCT像
b:contrast像
b:contrast像

図5 US contrast像を取り込んだRVS (画像ご提供:岡山大学 小林功幸先生)
a:焼灼後のUS contrast像 (バーチャル像)
a:焼灼後のUS contrast像 (バーチャル像)
b:B像 (リアルタイム像)
b:B像 (リアルタイム像)

■ コントラスト対応探触子(図6)

コントラスト対応の探触子には,標準腹部コンベックス“EUP-C715,C514”以外に穿刺専用探触子“EUP-B514”,穿刺専用マイクロコンベックス“EUP-B512”があり,診断だけではなく,造影超音波のRFA治療への応用にも対応している。


図6 コントラスト対応穿刺プローブの例
a:腹部穿刺用コンベックス “EUP-B514”
a:腹部穿刺用コンベックス “EUP-B514”
b:腹部穿刺用マイクロコンベックス“EUP-B512”
b:腹部穿刺用マイクロコンベックス“EUP-B512”


【問い合わせ先】 USマーケティング本部  TEL 03-3526-8309