日立メディコ

ホーム の中の inNavi Suiteの中の 日立メディコの中の Technical Noteの中の デジタル超音波診断装置Apron EUB-7000HV

Technical Note

2008年8月号
特 集−Women's Imaging 2008−Vol. 3 Breast Imaging

US−デジタル超音波診断装置Apron EUB-7000HV

「Apron*1 EUB-7000HV」は,血流表示を観察するドプラ,カラーフローマッピング機能などを備え,画質にかかわる回路をすべてデジタル化した,コンパクトで多機能の超音波診断装置です。
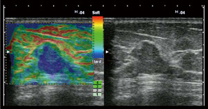
また,組織の硬さの情報を得ることができる,組織弾性イメージング機能“Real-time Tissue Elastography”*2が搭載可能となりました。

●Real-time Tissue Elastography(エラストグラフィ)
組織の硬さ情報を,画像としてリアルタイムに表示する画期的な技術で,当社が世界に先駆け実用化した技術です。
乳腺の悪性腫瘍の多くは硬いことが知られていますので,超音波検査の際にエラストグラフィを併用することにより,良性悪性の鑑別の一助となるとされています。

*(株)日立メディコ製のデジタル超音波診断装置のすべてにおいて,Real-time Tissue Elastographyをお使いいただけます。

●HdTHI(High definition dynamic Tissue Harmonic Imaging)*3
ハイエンド装置と同じ方式のハーモニックイメージ技術を採用しました。
ハーモニック信号を広帯域化し,これまでほとんど利用できなかった低周波結合波をも画像化しました。これにより,多重エコーなどのアーチファクトを飛躍的に低減し,空間分解能,コントラスト分解能をさらに向上した「鮮明な画像」を提供します。

●Digital Filing System
DVD-RAMドライブを標準装備し,またUSBメモリに記録した画像をPC等で使用できます。また,個人情報漏洩防止のために,被検者情報をマスキングして出力することも可能です。

*1〜3は(株)日立メディコの登録商標です。


Apron EUB-7000HV
Apron EUB-7000HV
エラストグラフィ:粘液癌(乳腺)
エラストグラフィ:粘液癌(乳腺)


【問い合わせ先】 USマーケティング本部  TEL 03-3526-8309