
2010年8月号
Women's Imaging 2010最新技術
US−超音波診断装置のアプリケーション ─ 乳腺領域
●はじめに
超音波診断装置は,技術革新が進み,形態学的情報はもとより,さまざまなデータが診断に供与されています。
本稿では,日立メディコのアプリケーションである“Real-time Tissue Elastography”についてご紹介します。
●Real-time Tissue Elastography
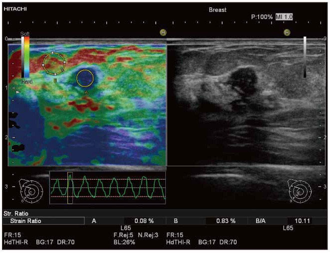
組織の硬さ情報を,画像としてリアルタイムに表示する組織弾性イメージング機能です。日立メディコが世界に先駆けて実用化した技術で,現在では日常検査でも使用されるようになってきています。
力を加えたときに柔らかいものであれば大きな変形を生じ,硬いものであればほとんど変形しないという特性を応用し,その変形の程度を色で表します。目的部位に探触子を軽く圧迫させるだけの簡単な操作で行えます。
生体内の組織歪みから相対的な硬さを高速演算し,硬さ(変形)の程度をリアルタイムにカラー表示を行うことで,周囲よりも硬い部分は青く表示されます。
・Strain Graph
リアルタイムに圧迫の状態をグラフ表示します。フリーズ後にはグラフを見ながらフレーム選択ができます。
・Strain Ratio
Elastography画像において,任意の2か所の弾性比率を数値化します。例えば,乳腺領域では脂肪組織と関心領域の比(FLR:fat lesion ratio)を求めることができ,組織性状の研究などへの応用が可能です。
今後,Elastography機能の普及により,マンモグラフィ検査と併せて乳がん検診の質の向上や病院の検査効率の向上,何よりも患者さまの負担軽減が期待されています。 |

Real-time Tissue Elastography |
【問い合わせ先】
マーケティング統括本部 US戦略本部 TEL 03-3526-8309