日立メディコ

ホーム の中の inNavi Suiteの中の 日立メディコの中の Technical Noteの中の 1.5T ECHELON Vegaの認知症診断向けシーケンス

Technical Note

2011年1月号
高次脳機能障害の画像診断:特に認知症,ADの早期発見に向けて

MRI−1.5T ECHELON Vegaの認知症診断向けシーケンス

1.5T MRI装置「ECHELON Vega」には,認知症診断向けシーケンスとして,T1強調3D撮像シーケンス“RSSG(Rf-Spoiled Steady state Gradient echo)”と“GEIR(Gradient Echo with Inversion Recovery)”が搭載されています。また,高速3D-RSSG-EPIシーケンスも搭載されています。

●RSSG

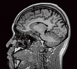
RSSGは,ステディステート型GrEシーケンスであり,高速3D撮像が可能です(図1)。RSSGは,早期アルツハイマー型認知症診断支援システム「VSRAD」(株式会社エーザイ)の推奨パルスシーケンスになっています。

図1 3D-RSSG頭部画像(TR/TE/FA=10.4/2.3/15°)
図1 3D-RSSG頭部画像(TR/TE/FA=10.4/2.3/15°)

●3D-GEIR

3D-GEIRは,IRパルスを併用したセグメンテッド型RSSGシーケンスであり,k空間の位相方向とスライス方向のエコー配列を高周波数領域から計測するSequentialと,低周波数領域から計測するCentricを組み合わせて選択でき,用途に応じた使い分けが可能です。RSSGよりも高い灰白質と白質のコントラストが得られます(図2)。3D-GEIRは,アルツハイマー病大規模多施設臨床研究“J-ADNI”用撮像シーケンスに対応しています。

図2 3D-GEIR頭部画像(TR/TE/FA/TI=9.2/4.0/8°/1000)
図2 3D-GEIR頭部画像(TR/TE/FA/TI=9.2/4.0/8°/1000)

●3D-RSSG-EPI

3D-RSSG-EPIは,T2*や磁化率の変化に敏感な撮像シーケンスであり,VASC(Veins and Artery Sans Contrast)-EPIとして,髄質静脈などの描出や,微小出血の検出やびまん性軸索損傷の診断に役立っています。

モダリティEXPOへ

【問い合わせ先】 MRマーケティング本部  TEL 03-3526-8307