ホーム
inNavi Suite
日立メディコ
Technical Note
日立のオープンMRIと治療対応
![]()
2011年9月号
Step up MRI 2011−MRI技術開発の最前線
オープンMRIはガントリー周囲の開放性が高いMRI装置であり,0.2〜0.4TのオープンMRIは,一般臨床を中心に広く普及している。オープンMRIでも多くの先進の撮像機能や臨床アプリケーションが利用可能となり,また,高磁場化に伴い基本画質も向上した。このため,MRI下で治療を行うインターベンショナルMRI(interventional MRI)は,オープンMRIの被検者へのアクセスが容易な特徴を最大限に活用し,オープンMRIの普及とともに広く検討されてきた。
●オープンMRI

オープンMRI(図1)は,ガントリー周りが開放的なことから,術中利用において,以下のような特長を持つ。
(1) 被検者へのアクセスが容易で,小児などの付き添い撮像が可能。
(2)被検者の体位が比較的自由で,足や腰を曲げても撮像できる。
(3) 周囲の空間を活用して,手術具や体位固定用具をつけたままでの撮像が容易である。
(4) テーブルを左右に移動でき,肩や上腕部でも磁場中心に移動して撮像できる。
(5) 漏洩磁場範囲が狭いため,(十分な注意のもとで)手術室での運用も行われている。
オープンMRIには,大きく分けて永久磁石方式と超電導方式がある。永久磁石方式は0.2〜0.4Tが実用化されており,0.2Tは主に整形外科用のコンパクトな装置である。0.3Tと0.4Tは一般臨床用が主で,中枢神経系のクリニックや中小病院に広く普及している。また,超電導磁石方式は0.7〜1.2Tが実用化されている。
●インターベンショナルMRI
オープンMRI装置を使ったインターベンションや手術支援のMRIは,当初インターベンション専用のMRI装置が提案されたが,その後,一般臨床も可能な中低磁場の永久磁石方式のオープンMRIにおおむね集約した。MRIガイドによるインターベンション,すなわちインターベンショナルMRIは,オープンMRI,高速撮像法によるMRI透視,MRI対応周辺機器の開発によって可能になった。
MRIはもともと組織コントラストが高く,撮像条件によって異なるコントラストが得られ,さらに,骨のアーチファクトがない,治療中のモニタができる,任意の方向の断面が得られる,X線被ばくがないなどの多くの特長がある。そのため,画像診断以外の穿刺・生検・低侵襲治療に応用でき,インターベンショナルMRIは,オープンMRIの性能向上とともに臨床研究が精力的に行われた。MRフルオロスコピーを使った穿刺ガイド,レーザ治療時の温度モニタ,冷凍治療のモニタ,動静脈奇形治療のモニタなどである。
穿刺ガイドでは,RFスポイル型定常状態グラディエントエコー(RSSG)シーケンスを使ったフルオロスコピーで数秒ごとに画像を更新し,穿刺部位をモニタした。対象は,例えば肝臓腫瘍や子宮筋腫である。冷凍治療では,経皮的にクライオプローブを使って,腫瘍や筋腫の凍結を行う際の凍結領域が描出された。描出の原理は,MRIが固体では緩和時間が非常に短く,信号がほぼ消失することを用い,この結果,凍結部位は明瞭な低信号として時々刻々と描出される。
●オープン受信コイル
垂直磁場方式のオープンMRIでは,シンプルなリング状のソレノイド型受信コイルを利用して高い画像SN比を得ることができる。ソレノイド型コイルは開放性が高く,穿刺時のアプローチ範囲も広く得ることができるメリットがある。オープン腹部用受信コイルの例を図2に,また,オープン頭部用受信コイルの例を図3に示す。オープン腹部用受信コイルはフレキシブルな素材で構成された,巻き付け型の受信コイルでコネクタにより分割できるため,被検者に容易に装着できる。コイル側面には広い範囲にスリットを設けてあり,また,洗浄剤にてコイル表面を清潔に運用できる構造となっている。
オープン頭部用受信コイルは,リング形状のコイルであり,垂直磁場方式では体軸方向での使用以外に体側位置に配置した撮像も可能であり,頭部のみならず広い部位で活用することができる。さらに,中継コネクタを設けることで清潔な運用に対応している。
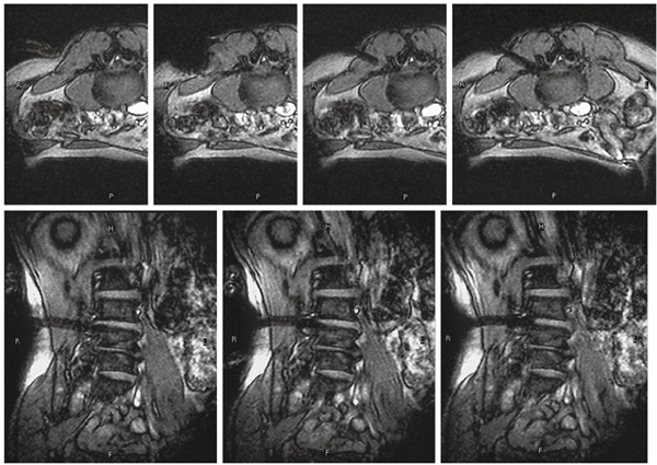
オープン腹部用受信コイルによる穿刺時のフルオロスコピー画像例を図4に示す。
![]() 図2 オープン腹部用受信コイル |
![]() 図3 オープン頭部用受信コイル |
![]() 図4 MRフルオロスコピー画像例 |
|
●術中MRI
MRIの治療面への展開として,術前計画への適用と術中モニタへの適用がある。図5に示す手術室MRIのコンセプトは,以下のとおりである。
(1) MRIを備える手術室でデータをアップデートするナビゲーション
(2) オープンMRIにより,従来の手技・術具をそのまま適用できる
(3) 高い完治率の期待
(4) エビデンスベースの治療を実現し,医療過誤や訴訟リスクの低減

図5 手術室MRIのイメージ
手術室MRIの研究として,術中の残存腫瘍のモニタや,神経線維と疾患の関連を調べることへの応用,MRI画像誘導下ロボット手術の研究などがある。
MRIの撮像手法であるDWI (拡散強調画像)を使って,脳神経の拡散異方性を非侵襲に画像化できるため,この方法によって,手術前に腫瘍などの病変周囲の脳神経線維の走行を把握できるようになった。この結果,脳神経を傷つけることを最小限にして,開頭手術を行うことが期待されている。
脳腫瘍摘出術では,5年生存率を高めるために腫瘍摘出率を最大化するとともに,術後合併症を最小化するために機能領域を温存することが求められる。腫瘍と正常組織の位置関係を知るには,MRIの画像が有効である。また,術者が手術操作している位置を正確に把握するには,術具の位置を別途計測し,これらの画像上に術具の位置を表示する手術ナビゲーションシステムが効果的である。
機能領域のうち,特に重要な運動にかかわる神経線維である錐体路を描出するため,DWI やDTI (拡散テンソル画像)を用いた方法が試みられてきたが,術中では手術操作に伴い脳実質が変形(ブレインシフト)するため,術中撮像により画像を更新することが望ましい。術中DWIを用いた手術ナビゲーションにより,術中の錐体路を含む白質神経束の位置の確認,術中の錐体路のシフトの定量的評価,描出された錐体路の電気刺激による妥当性検証が可能となり,患者の運動機能の保護に役立っている。
| ●参考文献 | |
| 1) | 高橋哲彦・他 : オープンMRIとインターベンショナルMRI. MEDICAL IMAGING TECHNOLOGY, 27・2, 2009. |