ホーム
inNavi Suite
日立メディコ
Technical Note
HI VISION Ascendusによる超音波診断の新到達点
![]()
2011年12月号
US Today 2011—先進技術で極める超音波の未来
■デジタル超音波診断装置 HI VISION Ascendus

1.高画質化技術
新開発のUltra BEU(Ultrasound Broadband Engine 2nd Generation)による信号処理回路の高速化により,より進化したHI REZ(High Resolution Imaging)を搭載した(図1)。HI REZは,超高速アルゴリズムを用いて,リアルタイムに数万回の空間画像処理を実施する高精細画像適応型フィルタ技術である。構造物の抽出,組織の強調を行い,超音波画像に特有なアーチファクトであるスペックルノイズを低減させることで,コントラスト分解能を向上させ,より明瞭に組織構造を描出する。また,全素子送受信技術やLow Noise Amplifier,Adaptive Enhanceなどの技術と合わせることで,クリアで美しい画像を追究している。

2.4D Elasto
Real-time Tissue Elastographyは,組織の硬さの違いを画像化する技術で,2003年に日立が世界で初めて製品化した。現在では,乳がん検診をはじめとした日常検査でも使用されるようになってきている。「HI VISION Ascendus」には,リアルタイムでElastographyを3D表示する機能を搭載した(図2)。この機能は,リニア探触子を機械的に揺動させることでボリュームデータをリアルタイムに取得し,組織の硬さ情報を画像化する。この機能の実現には高速の信号処理能力が要求され,Ultra BEUにより初めて実現した。

3.Contrast Harmonic Imaging
通常の断層像と造影画像を同時表示するオルタネートモードに加え,高音圧送信を行って超音波造影剤を破壊(flash)することで,その再環流を観察するためのフラッシュモードを搭載した。
さらに,各画素の最大輝度値をフレームごとに重畳表示することで,造影剤の走行の視認性を改善するMTI(Microbubble Trace Imaging)モードを備えている。MTIモードでは,観察中,体動補正機能によってリアルタイムに体動アーチファクトを軽減することが可能である。
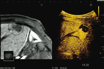
また,組織成分からの反射エコーを抑制し,造影剤からの反射エコーを高感度にて選択的にカラーマッピング表示する,Color Wideband Pulse Inversion機能も搭載した。これらの機能は,超音波画像と同一断面のCT/MR/USのスライス断面をリアルタイムに並列表示するReal-time Virtual Sonography(RVS)と併用可能である(図3)。

4.Inflow Time Mapping
Inflow Time Mapping(ITM)は,輝度解析機能の1つで,Contrast Harmonic Imagingによる造影剤の流入時間差に着目して,各画素の時間的な輝度変化を色付け表示する(図4)。解析画像はさまざまなカスタマイズが可能で,色付けが変化していく様子を連続的に確認したい場合には,グラデーション表示も可能である。また,解析画像上の不要なノイズ成分を除去する機能も搭載している。

5.EyeballEF
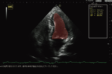
循環器エコーにおいて,心尖部四腔断層像と二腔断層像との識別,およびその左室内膜の認識をリアルタイム画像解析することで,EF(ejection fraction)計測を行うことが可能な技術である(図5)。フレーム選択やトレース操作が半自動化されているため,ワークフローの向上が期待できる。
*HI VISION Ascendus,Ascendus,UltraBE,Ultra BE/Ultrasound Broadband Engine,HI REZ,Real-time Tissue Elastography,Real-time Virtual Sonographyは株式会社日立メディコの登録商標です。