ホーム
inNavi Suite
日立メディコ
Technical Note
Strain Histogram計測を用いた Real-time Tissue Elastographyの画像解析技術 ─ 肝臓領域への臨床応用
![]()
2012年4月号
Abdominal Imagingにおけるモダリティ別技術の到達点
“Real-time Tissue Elastography”は,組織の硬さを画像化する技術である。2003年に日立が世界で初めて製品化して以来,多くの領域において臨床応用されている。
特に乳腺領域においては,Tsukuba ElasticityスコアやStrain Ratioから導き出されるFat Lesion Ratio(FLR)の手法に基づき,乳腺腫瘤の良悪性についても高い鑑別能が示され始めてきており,乳がん検診をはじめとした日常検査でも使用されるようになってきている。
本稿では,肝臓領域において肝線維化の進展具合を推定できる可能性が示唆されているStrain Histogram計測を用いたReal-time Tissue Elastographyの画像解析技術について詳細に解説する。
■Real-time Tissue Elastographyとは
Real-time Tissue Elastographyは,組織弾性イメージングと呼ばれ,プローブを生体に接触させ,ゆっくりとわずかに押すだけで組織の硬さを画像化できる機能である。生体内の組織ひずみから相対的な硬さを高速演算する手法により,リアルタイムで組織の硬さ情報をカラー表示する。
■Real-time Tissue Elastographyの原理と映像化手法
まず,プローブを体表に軽く押し当て,関心部位にひずみ(変形率)を生じさせる。この組織のひずみを超音波エコー信号から解析し,そのひずみ分布をリアルタイムで画像化する。
ひずみ分布の解析手法は,一次元ばねモデルを用いて説明することができ,硬いばねと軟らかいばねが一次元的に連結されたモデルを考える。この一次元ばねを圧縮すると,各部の変位は図1のような変位分布となり,硬いばねはほとんど変形しないため,ばねの各部は同等の量だけ変位(平行移動)するが,軟らかいばねは大きく変形するため,軟らかいほど各部の変位の間に大きな差異が生じる。超音波エコー信号を用いて各部の変位の分布を計測し,その変位分布の空間微分(傾き)をとることでひずみ分布を得る。得られたひずみ分布からひずみの平均値を算出し,その平均値をマップの中央に設定した以下のマッピングにより,カラースケーリングされたひずみ画像をグレースケールのBモード画像に半透明化して重畳したElastography画像を構築している。
(1) 平均より大きいひずみ(軟らかい):赤色
(2) 平均的なひずみ:緑色
(3) 平均より小さいひずみ(硬い):青色
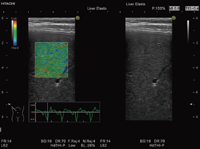
これにより,Bモード画像による病変部の低エコー域とひずみ画像による硬い領域の広がり具合が容易に対比可能となる(図2)。

図1 Real-time Tissue Elastographyの原理

図2 Real-time Tissue Elastography
■Real-time Tissue Elastographyのスキャン方法
肝臓領域でReal-time Tissue Elasto-graphyを施行する際は,プローブによる圧迫は行わずに,心拍動によるひずみを利用する。被検者に息止めをしてもらい,心拍動に合わせて周期的にReal-time Tissue Elastographyが描画されることをStrain Graphにて確認する。Strain Graphは,組織のひずみの時間変化を表示したもので,リアルタイムに圧迫の状態をグラフ表示することにより,より安定したReal-time Tissue Elastographyの描出をサポートするものである。
スキャン方法は,右肋間走査が最適であり,描出される肝右葉のBモード画像を詳細に観察して,横方向の変位が少なく,Real-time Tissue Elastographyの演算に必要な深度方向の変位を検出できる断面で撮像することが望ましい(図2)。また,注意点として,血管壁周辺や肝表面の多重エコー,および肋骨のシャドーなどによるアーチファクトは計測に影響を及ぼす可能性があるため,Real-time Tissue ElastographyのROIからは避けることが望ましい。
■Strain Histogram計測ソフトによる画像解析
Real-time Tissue ElastographyのStrain Histogram計測ソフトによる画像解析について述べる。画像解析を行うために最適なフレームの探索が必要であるが,Strain Graphを用いてフレームを選択することで,1心拍中に一度心臓によって圧迫された肝臓が弛緩する時相を見つけることができる。その時相は,ひずみが最も大きく,安定したElasto-graphyを描出することが可能である。
Strain Histogram計測は,ROI内の任意に指定された領域の相対ひずみ値のヒストグラム(頻度分布のグラフ)を表示するもので,テクスチャー解析によるReal-time Tissue Elastography画像の特徴量の算出も可能である(図3)。
Strain Histogram計測は,「HI VISION Ascendus」,「HI VISION Preirus」および「HI VISION Avius」に搭載されている。

図3 Strain Histogram計測ソフトによる画像解析
■Real-time Tissue Elastographyの今後
肝臓領域においては,肝線維化の進展に伴い,青色に描出される割合が増加し,Elastographyがまだら状に変化することが報告されている。Strain Histo-gram計測を用いてReal-time Tissue Elastographyの画像解析を行うことで,Elastography画像の特徴量の違いを解析することが可能となることから,肝線維化の進展具合を推定できる可能性が示唆されており,注目の技術である。
*Real-time Tissue Elastography,HI VISION Ascendus,Ascendus,HI VISION Preirus,PreirusおよびHI VISION Avius,Aviusは株式会社日立メディコの登録商標です。