フィリップスエレクトロニクスジャパン

ホーム の中の inNavi Suiteの中の フィリップスエレクトロニクスジャパンの中の Technical Noteの中の MRI−Black Blood Imagingの新しい高速化コンセプト:MSDE法 ─血管壁病変およびその他の病変への応用の可能性

Technical Note

2008年9月号
Step up MRI 2008−技術開発最前線

MRI−Black Blood Imagingの新しい高速化コンセプト:MSDE法 ─血管壁病変およびその他の病変への応用の可能性

小原 真/諏訪 亨**/ヴァン・カウテレン・マルク
*(株)フィリップスエレクトロニクスジャパンクリニカルサイエンス
**(株)フィリップスエレクトロニクスジャパンアプリケーション

MRI検査の中で,血液信号を抑制する技術black blood imaging(BBI)は,主に病変部位の描出能を向上する目的で使用される。例えば,(1) 血液と病変がどちらも高信号として描出される場合,(2) 血液の流れに伴うアーチファクトが発生する場合,(3) 血管壁病変のように,解剖学的に血管と病変部位が隣接している場合などに,BBIを併用することの臨床的有用性が高くなる。
一般的に用いられるBBIには,double inversion recovery(DIR)法が使用されている。この手法の臨床的有用性は,すでに多くのアプリケーションにおいて証明されているが,昨今のMRI検査で用いられる撮像と比較すると,撮像時間が長く,設定可能な撮像断面や撮像範囲に制限を伴うことが弱点とされている。具体的には,3D撮像や血管走行に沿った撮像断面の設定は,血液抑制効果を弱めてしまうことである。また,造影剤注入後の検査においても,血液のT1値の変化に伴う,血液抑制のための最適なinversion time(TI)の決定が難しいため,一般的には使用しない。
上述したDIR法の弱点を克服する手法として,近年,motion sensitized driven equilibrium(MSDE)法が発表された1),2)。この手法は,傾斜磁場を用いて血液スピンの位相分散を引き起こし,信号を抑制する手法である。この手法の利点は,撮像断面や撮像範囲に制限がないこと,造影剤使用後でも血液抑制効果が得られること,そして,あらゆる撮像方法と組み合わせて使用できることである。
本稿では,MSDEの基本原理と最適化手法のアイデアを,実験データや臨床応用例を用いて紹介する。

◆MSDE法の基本原理と応用例

図1に,MSDE法のシーケンスデザインを示す。(90°x)−(180°y)−(90°−x)の順番でRFパルスを照射し,180°を挟んで対称に傾斜磁場を印加する。このシーケンスデザインは,一般的なディフュージョン撮像と同じであるが,MSDE法ではこのスキームをプレパレーションパルスとして用いる。また,拡散に伴うスピンの動きのオーダが100μm/s以下なのに対して,血流に伴うスピンの動きのオーダは大体において10cm/s以上であることから,MSDE法では,ディフュージョン撮像よりも低いb値を用いても十分な血液抑制効果を得ることができる。例えば,過去に頸動脈の血管壁描出の発表で用いられたb値は,3軸合成値で11s/mm2である1)
図2に,頸動脈血管壁病変(プラーク)へのMSDE法の臨床応用例を示す。図2 aは,DIR(従来)法によるT1強調BBIで,データ収集には2Dのturbo spin echo法を用いている(2D-DIR-TSE)。図2 bは,MSDE法によるT1強調BBIで,データ収集には3D turbo field echo法を用いている(3D-MSDE-TFE)。両手法ともに同様のコントラストを呈しており,血液抑制効果も良好である。また,矢印(↑)に示すように,両手法ともプラークを高信号として描出している。ただし,2D-DIR-TSEの撮像時間が17s/imageであるのに対して,3D-MSDE-TFEの撮像時間は9s/imageとなり,2倍の撮像時間短縮効果が得られている。図3は,頸動脈の血管走行に沿った撮像断面での2D-MSDE-TSE画像である。撮像面内に血管を含んでいる場合でも,血液は全撮像範囲において抑制されている。
これらの例のように,MSDE法を用いたBBIは,データ収集用の撮像シーケンス,撮像範囲,撮像断面の制限なく,目的に応じてフレキシブルに撮像方法を決定することが可能となる。

図1 MSDE法のシーケンスチャート
図1 MSDE法のシーケンスチャート
(90°x)−(180°y)−(90°−x)の順番でRFパルスを照射し,180°を挟んで対称に傾斜磁場を印加する。このシーケンスデザインは,一般的なディフュージョン撮像と同じであるが,MSDE法ではこのスキームをプレパレーションパルスとして用いる。

図2 頸動脈プラークにおけるDIR法とMSDE法の比較
図2 頸動脈プラークにおけるDIR法とMSDE法の比較
a:2D-DIR-TSE。撮像パラメータは,FOV=12×12cm,matrix=176×176,slice thickness=3mm,TR/TE=1000/13ms,TI=600ms,turbo factor(TF)=7,half scan factor=0.6,NSA=1,SENSE factor(SF)=2.0,over sampling factor(OS)=2.0,scan time=17s/slice(total 5slices)。
b:3D-MSDE-TFE。撮像パラメータは,FOV=12×12cm,matrix=176×176,slice thickness/gap=3/0mm,TR/TE=5.1/2.6ms,flip angle=20°,shot interval=800ms,TF=30,SF=2,NSA=2,OS=2.0,scan time=9s/slice(total 15slices)。
(画像ご提供:東海大学様)


図3 in plane BBI画像
図3 in plane BBI画像
頸動脈の血管走行に沿った撮像断面での2D-MSDE-TSE画像。撮像面内に血管を含んでいる場合でも,血液は全撮像範囲において抑制されている。
(画像ご提供:東北大学様)

◆MSDE法の最適化と応用例

MSDE法で課題となるのが,磁場(B0)の不均一性,RF(B1)の不均一性,そして渦電流の影響をいかに抑えるか,ということである。頸動脈血管壁の撮像のように,撮像範囲が比較的狭い場合はこのような影響はあまり目立つことがないが,対象部位によっては問題となってくる。この問題を解決する方法として,われわれが現在検討しているシーケンスデザイン(improved MSDE:iMSDE)を図4に示す3)
従来法は,単一の180°パルスの前後に傾斜磁場を印加しているのに対して,iMSDE法では180°パルスの位相を逆にして2回照射し,その前後に符号を逆にした傾斜磁場(bipolar gradient)を繰り返し印加している。180°パルスの位相を逆にして2回照射するのは,MLEVパルスと呼ばれるデザインで4),B0やB1の不均一に伴う励起プロファイルの不均一を軽減する効果がある。傾斜磁場をbipolarにする理由は,連続的に符号を逆転させて傾斜磁場を印加することによって,おのおのの傾斜磁場に伴って発生する渦電流の符号も反転するため,相殺効果によって渦電流の影響を軽減できるからである。また,これら一連のプレパレーションスキームの前にもbipolar gradientを挿入している理由は,残存する渦電流の影響を,前半のbipolar gradient印加時と後半のbipolar gradient印加時の間で同一に保つことにより,渦電流の影響を軽減するためである5)
図5に,MSDE法とiMSDE法で撮像した頭部画像の比較を示す。MSDE法で目立っている頭頂部位の信号低下が,iMSDE法で改善していることがわかる。また,iMSDE法を用いた応用例を図6に示す。これは脳転移を確認するための検査で,造影後に撮像されている。図6 aは,3D-TSE法で撮像したT1強調像である。病変部位(▲)と血液信号(↑)が,ともに高信号として描出されており,病変部位の見極めを困難にする可能性がある。図6 bは,3D-MSDE-TSEで撮像した画像である。血液信号の抑制によって,病変部位のみを高信号として描出するため,検出能力の向上が期待できる。

図4 iMSDE法のシーケンスチャート
図4 iMSDE法のシーケンスチャート
180°パルスの位相を逆にして2回照射し,その前後にbipolar gradientを繰り返し印加している。また,プレパレーション前にもbipolar gradientを印加している。これらは,B0,B1および渦電流の影響を抑制するためのシーケンスデザインである。

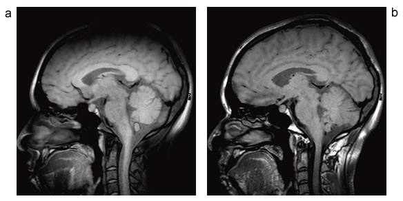
図5 MSDE法とiMSDE法で撮像した頭部画像
図5 MSDE法とiMSDE法で撮像した頭部画像
MSDE法(a)では頭頂部の信号低下が目立つが,iMSDE法(b)によってそれが明らかに改善されていることがわかる。
(画像ご提供:山形大学様)


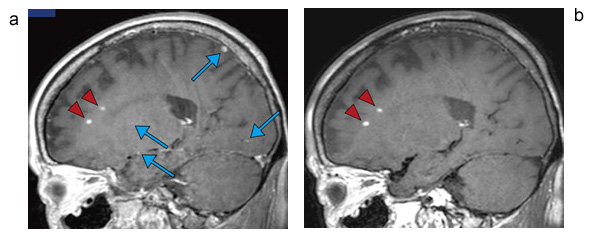
図6 iMSDE法を用いた造影後の脳転移検査
図6 iMSDE法を用いた造影後の脳転移検査
a:3D-TSE法で撮像したT1強調像。病変部位(▲)と血液信号(↑)がともに高信号として描出されており,病変部位の見極めを困難にする可能性がある。
b:3D-MSDE-TSEで撮像した画像。血液信号の抑制によって,病変部位のみを高信号として描出するため,検出能の向上が期待できる。
(画像ご提供:東北大学様)

本稿では,MSDE法の有用性と,その最適化に関して紹介した。撮像範囲,撮像断面,撮像シーケンス,造影剤使用の有無などの制限を受けない新しい血液抑制技術は,今回紹介した応用例以外にも多くの有用性を生み出す可能性がある。ただし,動きに敏感であること,あるいは,マルチスライス法においてはシーケンスデザインが最適化されていないことなど,課題もある。
今後,より“手軽”な血液抑制法をめざして,開発を進めていきたいと考えている。


●参考文献
1) Koktzoglou, I., et al. : JMRI, 25, 815〜823, 2007.
2) Wang, J., et al. : Proc. ISMRM 2007, 442, 2007.
3) Makoto, O,. et al. : Proc. ISMRM 2008, 2842, 2008.
4) Levitt, M., et al. : JMR, 47, 328〜330, 1982.
5) Absil, J., et al. : Proc. ISMRM 2007, 12, 2007.


【問い合わせ先】 フィリップスお客様窓口 フリーダイアル:0120-556-494